共1页/16条首页上一页1下一页尾页
回复:16 阅读:4664
胰腺肿瘤

weixiao 离线

帖子:90
粉蓝豆:1061
经验:328
注册时间:2011-12-13
加关注  |  发消息
楼主 发表于 2011-12-13 20:42|举报|关注(0)
浏览排序[ 顺序 逆序 楼主 支持 精彩 ]  快捷回复

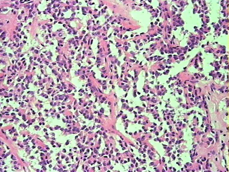
胰腺肿物 大体:灰白色肿物一枚大小:3*2*2cm,切面实性,质中。女,52

  • 胰腺肿瘤图1
    图1
  • 胰腺肿瘤图2
    图2
  • 胰腺肿瘤图3
    图3
  • 胰腺肿瘤图4
    图4
  • 胰腺肿瘤图5
    图5
  • 胰腺肿瘤图6
    图6
  • 胰腺肿瘤图7
    图7
  • 胰腺肿瘤图8
    图8

标签:胰腺
本帖最后由 weixiao 于 2012-02-07 23:40:33 编辑
0
×参考诊断
胰腺实性-假乳头状瘤

病理020 离线

帖子:1344
粉蓝豆:5610
经验:1814
注册时间:2011-10-02
加关注  |  发消息
3 楼    发表于2011-12-13 22:27:12举报|引用
返回顶部 | 快捷回复

胰腺实性-假乳头状肿瘤(低级别恶性肿瘤)

2

wzkxn

hxxtl
回复
signature
邓学田

旅顺病理 离线

帖子:4084
粉蓝豆:144
经验:5113
注册时间:2011-06-04
加关注  |  发消息
7 楼    发表于2011-12-22 16:24:47举报|引用
返回顶部 | 快捷回复

 胰腺实性-假乳头状肿瘤(低级别恶性肿瘤)

1

阿娇
回复

lixiaoyan3580 离线

帖子:43
粉蓝豆:2
经验:83
注册时间:2009-04-27
加关注  |  发消息
16 楼    发表于2015-05-22 21:48:31举报|引用
返回顶部 | 快捷回复

感谢分享。 

0
回复
signature
littlebird

liangjinjun 离线

帖子:2328
粉蓝豆:2
经验:2457
注册时间:2007-08-07
加关注  |  发消息
15 楼    发表于2014-11-05 19:22:48举报|引用
返回顶部 | 快捷回复

胰腺实性假乳头状瘤

0
回复
signature
梁晋军

kangwang2010 离线

帖子:389
粉蓝豆:13
经验:590
注册时间:2010-03-04
加关注  |  发消息
11 楼    发表于2011-12-30 20:44:08举报|引用
返回顶部 | 快捷回复

胰腺实性-假乳头状肿瘤

0
回复
signature
有时候,称赞别人也是一种美德!

Gu23 离线

帖子:211
粉蓝豆:12
经验:311
注册时间:2006-10-16
加关注  |  发消息
8 楼    发表于2011-12-22 17:29:53举报|引用
返回顶部 | 快捷回复
引用 3 楼 病理020 在 2011-12-13 22:27:12 的发言:

胰腺实性-假乳头状肿瘤(低级别恶性肿瘤)


0
回复
signature

潇洒人生

wangyanj 离线

帖子:1170
粉蓝豆:2
经验:1813
注册时间:2010-09-08
加关注  |  发消息
10 楼    发表于2011-12-30 11:14:41举报|引用
返回顶部 | 快捷回复

0
回复

oldlion 离线

帖子:1071
粉蓝豆:1758
经验:1885
注册时间:2008-11-09
加关注  |  发消息
1 楼    发表于2011-12-13 21:01:46举报|引用
返回顶部 | 快捷回复

实性假乳头状瘤

0
回复
signature
心若在,梦就在

病理020 离线

帖子:1344
粉蓝豆:5610
经验:1814
注册时间:2011-10-02
加关注  |  发消息
4 楼    发表于2011-12-14 13:28:36举报|引用
返回顶部 | 快捷回复

要考虑异位脾或副脾的话,在“血窦”里看到红细胞了吗?

0
回复
signature
邓学田

flj20092049 离线

帖子:212
粉蓝豆:9
经验:470
注册时间:2011-11-23
加关注  |  发消息
5 楼    发表于2011-12-14 14:03:32举报|引用
返回顶部 | 快捷回复

实性-假乳头状肿瘤~~~

0
回复
signature

老黄牛 离线

帖子:108
粉蓝豆:6
经验:138
注册时间:2011-02-10
加关注  |  发消息
6 楼    发表于2011-12-14 14:14:06举报|引用
返回顶部 | 快捷回复

标记一下

0
回复
signature
李郝

风铃 离线

帖子:96
粉蓝豆:3
经验:558
注册时间:2008-04-10
加关注  |  发消息
2 楼    发表于2011-12-13 21:24:16举报|引用
返回顶部 | 快捷回复

询问临床肿物的部位和大体再详细描述些,图像更像脾的血窦,排除异位脾或副脾。

0
回复

zcm729868 离线

帖子:200
粉蓝豆:95
经验:210
注册时间:2011-11-27
加关注  |  发消息
13 楼    发表于2012-02-08 20:54:19举报|引用
返回顶部 | 快捷回复

胰腺实性假乳头状瘤

0
回复

202PL 离线

帖子:850
粉蓝豆:127
经验:1050
注册时间:2010-06-19
加关注  |  发消息
12 楼    发表于2011-12-30 23:32:12举报|引用
返回顶部 | 快捷回复

同意楼主意见,不知具体部位在胰体尾吗?肿瘤退变伴未囊性变。

0
回复

weixiao 离线

帖子:90
粉蓝豆:1061
经验:328
注册时间:2011-12-13
加关注  |  发消息
9 楼    发表于2011-12-22 20:35:22举报|引用
返回顶部 | 快捷回复

会诊实性假乳头状瘤

0
回复

JX16 离线

帖子:1079
粉蓝豆:5
经验:3225
注册时间:2008-10-27
加关注  |  发消息
14 楼    发表于2014-08-10 11:55:43举报|引用
返回顶部 | 快捷回复

胰腺实性假乳头状瘤

0
回复
signature
jx16
回复:16 阅读:4664
共1页/16条首页上一页1下一页尾页
【免责声明】讨论内容仅作学术交流之用,不作为诊疗依据,由此而引起的法律问题作者及本站不承担任何责任。
快速回复
进入高级回复
您最多可输入10000个汉字,按 "Ctrl" + "Enter" 直接发送
搜索回复/乘电梯 ×
按内容
按会员
乘电梯
合作伙伴
友情链接