共1页/20条首页上一页1下一页尾页
回复:21 阅读:3889
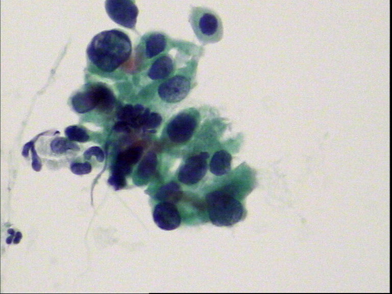
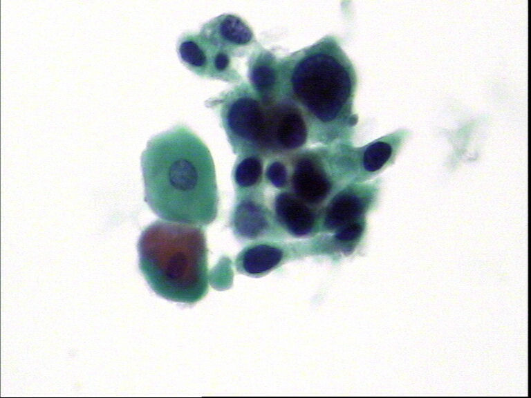
宫颈液基,老年妇女,78岁,临床:宫颈肥大

169991 离线

帖子:542
粉蓝豆:131
经验:1174
注册时间:2006-11-15
加关注  |  发消息
楼主 发表于 2011-12-12 20:30|举报|关注(0)
浏览排序[ 顺序 逆序 楼主 支持 精彩 ]  快捷回复
    • 宫颈液基,老年妇女,78岁,临床:宫颈肥大图1
      图1
    • 宫颈液基,老年妇女,78岁,临床:宫颈肥大图2
      图2
    • 宫颈液基,老年妇女,78岁,临床:宫颈肥大图3
      图3
    • 宫颈液基,老年妇女,78岁,临床:宫颈肥大图4
      图4
    • 宫颈液基,老年妇女,78岁,临床:宫颈肥大图5
      图5
    • 宫颈液基,老年妇女,78岁,临床:宫颈肥大图6
      图6
    • 宫颈液基,老年妇女,78岁,临床:宫颈肥大图7
      图7
    • 宫颈液基,老年妇女,78岁,临床:宫颈肥大图8
      图8
    • 宫颈液基,老年妇女,78岁,临床:宫颈肥大图9
      图9
    • 宫颈液基,老年妇女,78岁,临床:宫颈肥大图10
      图10
    • 宫颈液基,老年妇女,78岁,临床:宫颈肥大图11
      图11
    • 宫颈液基,老年妇女,78岁,临床:宫颈肥大图12
      图12
    • 宫颈液基,老年妇女,78岁,临床:宫颈肥大图13
      图13
    • 宫颈液基,老年妇女,78岁,临床:宫颈肥大图14
      图14
    • 宫颈液基,老年妇女,78岁,临床:宫颈肥大图15
      图15
    • 宫颈液基,老年妇女,78岁,临床:宫颈肥大图16
      图16
    • 宫颈液基,老年妇女,78岁,临床:宫颈肥大图17
      图17
    • 宫颈液基,老年妇女,78岁,临床:宫颈肥大图18
      图18
    • 宫颈液基,老年妇女,78岁,临床:宫颈肥大图19
      图19
标签:
本帖最后由 169991 于 2011-12-12 20:51:13 编辑
0
添加参考诊断
×参考诊断
  

XUEXI2009 离线

帖子:684
粉蓝豆:4
经验:687
注册时间:2009-12-28
加关注  |  发消息
1 楼    发表于2011-12-12 20:54:08举报|引用
返回顶部 | 快捷回复

 

HSIL,建议活检。

1

千百合
回复

追逐太阳 离线

帖子:3880
粉蓝豆:18
经验:3979
注册时间:2009-07-30
加关注  |  发消息
2 楼    发表于2011-12-12 21:24:27举报|引用
返回顶部 | 快捷回复

HSIL,疑SCC。

2

涢水清-

迷糊虫
回复

xiaotao 离线

帖子:71
粉蓝豆:1
经验:85
注册时间:2009-04-18
加关注  |  发消息
3 楼    发表于2011-12-12 21:29:07举报|引用
返回顶部 | 快捷回复

HSIL,不除外SCC建议活检。

3

xymady

chenyoul..

xiangjia..
回复

泉水叮咚响 离线

帖子:2163
粉蓝豆:113
经验:11663
注册时间:2010-12-30
加关注  |  发消息
4 楼    发表于2011-12-12 22:06:45举报|引用
返回顶部 | 快捷回复

 HSIL,疑SCC。

0
回复
signature
刀不磨会生锈,人不学习会落后。

巴山夜雨涨秋池 离线

帖子:12152
粉蓝豆:77
经验:12941
注册时间:2009-01-25
加关注  |  发消息
5 楼    发表于2011-12-13 13:35:52举报|引用
返回顶部 | 快捷回复

有刮片和液基两种产品啊?

0
回复
signature

body>h1>span>...................This signature is very handsome.

白桦林 离线

帖子:523
粉蓝豆:414
经验:1411
注册时间:2007-06-21
加关注  |  发消息
7 楼    发表于2011-12-13 15:01:55举报|引用
返回顶部 | 快捷回复

HSIL,建议活检!

0
回复

涢水清- 离线

帖子:2045
粉蓝豆:9
经验:2208
注册时间:2010-04-19
加关注  |  发消息
8 楼    发表于2011-12-13 18:24:21举报|引用
返回顶部 | 快捷回复

HSIL,疑SCC。

0
回复

魔眼 离线

帖子:381
粉蓝豆:9
经验:451
注册时间:2008-05-06
加关注  |  发消息
9 楼    发表于2011-12-13 19:01:08举报|引用
返回顶部 | 快捷回复

SCC

0
回复
signature
学习,学习,再学习!

病理020 离线

帖子:1344
粉蓝豆:5580
经验:1814
注册时间:2011-10-02
加关注  |  发消息
10 楼    发表于2011-12-13 19:02:28举报|引用
返回顶部 | 快捷回复

宫颈高级别上皮内病变,不除外鳞状细胞癌(建议活检)。

0
回复
signature
邓学田

春光无限 离线

帖子:559
粉蓝豆:45
经验:632
注册时间:2010-03-27
加关注  |  发消息
11 楼    发表于2011-12-13 19:04:58举报|引用
返回顶部 | 快捷回复

HSIL

0
回复

zhenshijian 离线

帖子:1069
粉蓝豆:91
经验:1364
注册时间:2008-04-20
加关注  |  发消息
12 楼    发表于2011-12-13 19:06:12举报|引用
返回顶部 | 快捷回复
引用 2 楼 追逐太阳 在 2011-12-12 21:24:27 的发言:

HSIL,疑SCC。


0
回复

老陈酒 离线

帖子:220
粉蓝豆:1673
经验:945
注册时间:2010-07-06
加关注  |  发消息
13 楼    发表于2011-12-13 19:08:34举报|引用
返回顶部 | 快捷回复

HSIL,疑SCC。

0
回复
signature
老陈酒

169991 离线

帖子:542
粉蓝豆:131
经验:1174
注册时间:2006-11-15
加关注  |  发消息
14 楼    发表于2011-12-13 19:49:18举报|引用
返回顶部 | 快捷回复
引用 5 楼 巴山夜雨涨秋池 在 2011-12-13 13:35:52 的发言:

有刮片和液基两种产品啊?

呵呵,最后三张就是普通的刮片

0
回复

新手007 离线

帖子:612
粉蓝豆:5
经验:787
注册时间:2010-08-17
加关注  |  发消息
15 楼    发表于2011-12-13 21:14:50举报|引用
返回顶部 | 快捷回复

HSIL

0
回复

492152171 离线

帖子:78
粉蓝豆:94
经验:87
注册时间:2009-05-05
加关注  |  发消息
16 楼    发表于2011-12-13 21:35:50举报|引用
返回顶部 | 快捷回复

HSIL,建议活检。

0
回复

JB18751536976 离线

帖子:787
粉蓝豆:841
经验:1026
注册时间:2011-12-12
加关注  |  发消息
17 楼    发表于2011-12-14 09:39:38举报|引用
返回顶部 | 快捷回复

很漂亮的片子,赞一个。我考虑够报原位癌的了。

0
回复

时光 离线

帖子:495
粉蓝豆:151
经验:921
注册时间:2011-05-27
加关注  |  发消息
18 楼    发表于2011-12-14 21:15:43举报|引用
返回顶部 | 快捷回复

ASC-H。倍数太高。

0
回复

少公主 离线

帖子:11
粉蓝豆:1
经验:11
注册时间:2011-11-30
加关注  |  发消息
19 楼    发表于2011-12-14 21:22:59举报|引用
返回顶部 | 快捷回复

HSIL

0
回复

hushi123 离线

帖子:41
粉蓝豆:1
经验:135
注册时间:2008-05-29
加关注  |  发消息
20 楼    发表于2011-12-15 11:35:32举报|引用
返回顶部 | 快捷回复

 HSIL,疑SCC建议活检。

0
回复

竹子 离线

帖子:56
粉蓝豆:33
经验:643
注册时间:2009-03-09
加关注  |  发消息
21 楼    发表于2011-12-15 20:17:49举报|引用
返回顶部 | 快捷回复

HSIL

0
回复
回复:21 阅读:3889
共1页/20条首页上一页1下一页尾页
【免责声明】讨论内容仅作学术交流之用,不作为诊疗依据,由此而引起的法律问题作者及本站不承担任何责任。
快速回复
进入高级回复
您最多可输入10000个汉字,按 "Ctrl" + "Enter" 直接发送
搜索回复/乘电梯 ×
按内容
按会员
乘电梯
合作伙伴
友情链接