图1HMB45
图2HMB45
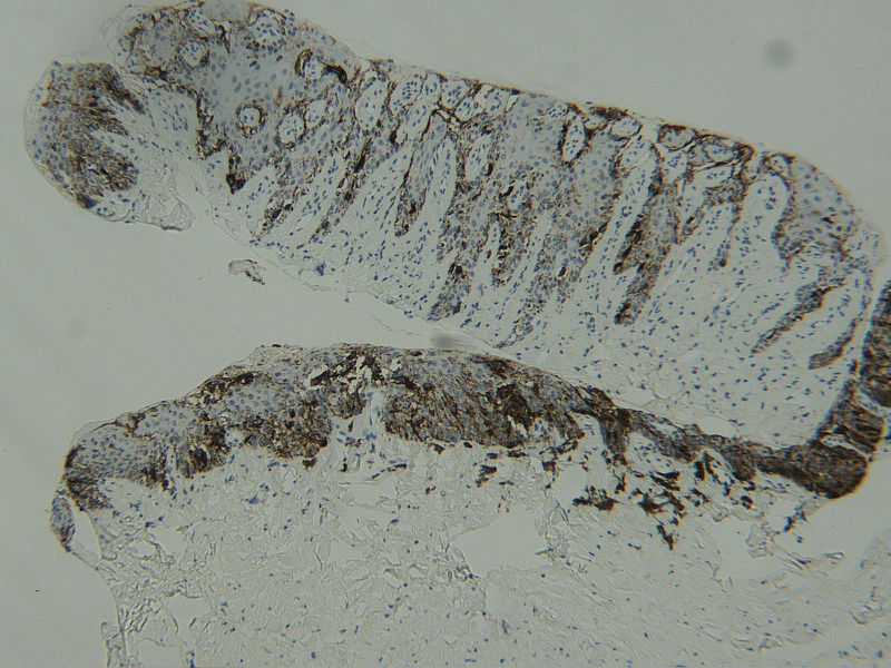
图3HMB45
图4Ki-67
女 68岁 右手拇指甲变黑及扩散2年,无自觉症状,有风湿性关节炎病史数年。

名称:图1
描述:1

名称:图2
描述:2

名称:图3
描述:3

名称:图4
描述:4

名称:图5
描述:5

名称:图6
描述:6

名称:图7
描述:7

名称:图8
描述:8

名称:图9
描述:9

名称:图10
描述:10

名称:图11
描述:11

名称:图12
描述:12

名称:图13
描述:13

名称:图14
描述:14

名称:图15
描述:15

名称:图16
描述:16

名称:图17
描述:17