共1页/20条首页上一页1下一页尾页
回复:22 阅读:4062
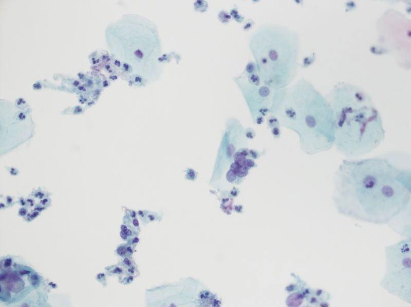
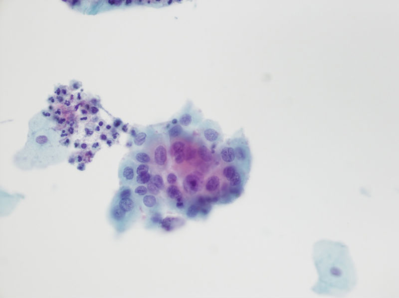
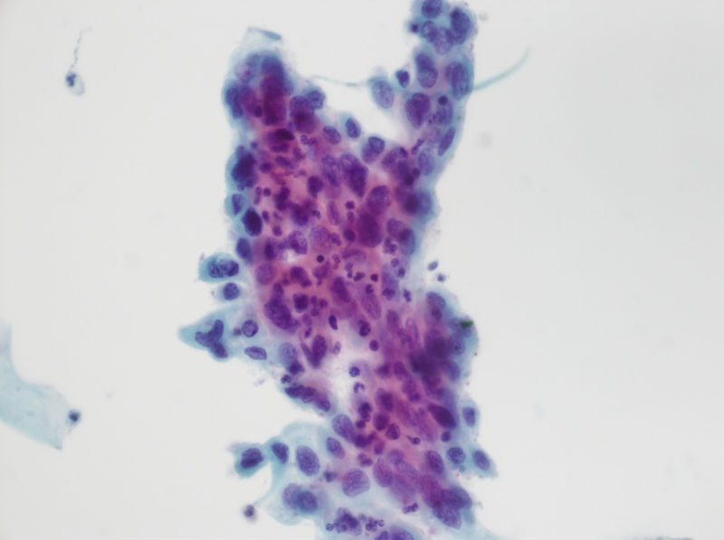
47岁,宫颈光滑

老油 离线

帖子:236
粉蓝豆:525
经验:247
注册时间:2010-11-16
加关注  |  发消息
楼主 发表于 2011-12-11 19:44|举报|关注(0)
浏览排序[ 顺序 逆序 楼主 支持 精彩 ]  快捷回复
47岁,宫颈光滑图1
名称:图1
描述:400-1
47岁,宫颈光滑图2
名称:图2
描述:400-2
47岁,宫颈光滑图3
名称:图3
描述:400-3
47岁,宫颈光滑图4
名称:图4
描述:400-4
47岁,宫颈光滑图5
名称:图5
描述:400-5
47岁,宫颈光滑图6
名称:图6
描述:400-6
47岁,宫颈光滑图7
名称:图7
描述:400-7
47岁,宫颈光滑图8
名称:图8
描述:400-8
47岁,宫颈光滑图9
名称:图9
描述:400-9
47岁,宫颈光滑图10
名称:图10
描述:400-10
47岁,宫颈光滑图11
名称:图11
描述:400-11
47岁,宫颈光滑图12
名称:图12
描述:400-12
47岁,宫颈光滑图13
名称:图13
描述:400-13
47岁,宫颈光滑图14
名称:图14
描述:400-14
47岁,宫颈光滑图15
名称:图15

描述:400-15 

标签:
0
添加参考诊断
×参考诊断
  

阿娇 离线

帖子:2054
粉蓝豆:3320
经验:2384
注册时间:2008-05-31
加关注  |  发消息
1 楼    发表于2011-12-11 19:54:04举报|引用
返回顶部 | 快捷回复

至少 是AGC,建议活检。

0
回复

清香情浓 离线

帖子:1101
粉蓝豆:2839
经验:1371
注册时间:2009-09-24
加关注  |  发消息
2 楼    发表于2011-12-11 20:35:46举报|引用
返回顶部 | 快捷回复

片状的胞浆,考虑鳞的来源,HSIL。

3

xiaogang

隼龙

shenying
回复
signature
清香淡淡,情深为浓。

zhangyuying 离线

帖子:207
粉蓝豆:18
经验:418
注册时间:2011-07-03
加关注  |  发消息
3 楼    发表于2011-12-11 20:43:43举报|引用
返回顶部 | 快捷回复

杂乱排列的较碎细胞团块,倾向ASC-H

0
回复
signature
再长的路,一步一步总能走完;再短的路,不迈开双脚就永远不会到达终点。

apple89 离线

帖子:452
粉蓝豆:862
经验:1633
注册时间:2007-07-01
加关注  |  发消息
4 楼    发表于2011-12-11 22:49:25举报|引用
返回顶部 | 快捷回复

 这个片子我会报ASC-H

1

xiaogang
回复
signature

2023心想事成!

看热闹的风 离线

帖子:46
粉蓝豆:2
经验:108
注册时间:2011-09-26
加关注  |  发消息
5 楼    发表于2011-12-11 23:07:48举报|引用
返回顶部 | 快捷回复

ASC-H

0
回复

轻羽飞扬 离线

帖子:445
粉蓝豆:13
经验:882
注册时间:2009-08-13
加关注  |  发消息
6 楼    发表于2011-12-11 23:16:12举报|引用
返回顶部 | 快捷回复

ASC-H

0
回复
signature
天道酬勤

新手007 离线

帖子:612
粉蓝豆:5
经验:787
注册时间:2010-08-17
加关注  |  发消息
7 楼    发表于2011-12-11 23:49:01举报|引用
返回顶部 | 快捷回复

片子真漂亮。ASC-H

0
回复

JLRW 离线

帖子:59
粉蓝豆:10
经验:4871
注册时间:2011-02-25
加关注  |  发消息
8 楼    发表于2011-12-12 08:26:03举报|引用
返回顶部 | 快捷回复

ASCUS,期盼楼主公布活检结果.

0
回复
signature
在生活中选择两三件事,尽全力专一心做得极致,必定有很大的收获的...

xiaogang 离线

帖子:5664
粉蓝豆:48
经验:6068
注册时间:2008-12-18
加关注  |  发消息
9 楼    发表于2011-12-12 08:36:28举报|引用
返回顶部 | 快捷回复

AGC-FC,

倾向腺的肿瘤,建议检查宫颈管。

1

贺兰山
回复

老油 离线

帖子:236
粉蓝豆:525
经验:247
注册时间:2010-11-16
加关注  |  发消息
10 楼    发表于2011-12-12 16:17:05举报|引用
返回顶部 | 快捷回复

谢谢各位老师的回答。

这例我个人怀疑是不是有HSIL和AGC混合?

我建议做宫颈活检并分段诊刮!

 

0
回复

lymell 离线

帖子:91
粉蓝豆:16
经验:232
注册时间:2010-09-27
加关注  |  发消息
11 楼    发表于2011-12-12 21:55:09举报|引用
返回顶部 | 快捷回复

感觉还是鳞的,ASC-H

1

清水波心
回复
signature
李玉梅

纽约的雪 离线

帖子:17
粉蓝豆:1
经验:18
注册时间:2011-11-28
加关注  |  发消息
14 楼    发表于2011-12-13 19:50:06举报|引用
返回顶部 | 快捷回复

我觉得应该够HSIL了,请老师指教

0
回复

涢水清- 离线

帖子:2045
粉蓝豆:9
经验:2208
注册时间:2010-04-19
加关注  |  发消息
15 楼    发表于2011-12-13 21:08:26举报|引用
返回顶部 | 快捷回复

HSIL

1

水中鱼儿
回复

时光 离线

帖子:495
粉蓝豆:151
经验:921
注册时间:2011-05-27
加关注  |  发消息
16 楼    发表于2012-02-18 11:45:53举报|引用
返回顶部 | 快捷回复

ASC-H

0
回复

大明湖小荷 离线

帖子:100
粉蓝豆:8
经验:2557
注册时间:2011-08-20
加关注  |  发消息
17 楼    发表于2012-02-18 19:25:03举报|引用
返回顶部 | 快捷回复

HSIL

0
回复

xiaogang 离线

帖子:5664
粉蓝豆:48
经验:6068
注册时间:2008-12-18
加关注  |  发消息
18 楼    发表于2012-02-19 10:35:20举报|引用
返回顶部 | 快捷回复

有累腺的倾向,有活检?

0
回复

清风徐徐 离线

帖子:17
粉蓝豆:1
经验:23
注册时间:2011-11-16
加关注  |  发消息
19 楼    发表于2012-02-23 22:19:07举报|引用
返回顶部 | 快捷回复

HSIL

0
回复

洋洋洒洒 离线

帖子:1445
粉蓝豆:256
经验:2479
注册时间:2010-12-13
加关注  |  发消息
20 楼    发表于2012-03-04 13:32:35举报|引用
返回顶部 | 快捷回复

HSIL。

0
回复

xiaogaofang 离线

帖子:39
粉蓝豆:124
经验:290
注册时间:2011-06-16
加关注  |  发消息
21 楼    发表于2012-03-04 17:12:20举报|引用
返回顶部 | 快捷回复

我觉得是鳞来源的,可以报ASC—H。

0
回复

常乐无限 离线

帖子:768
粉蓝豆:23
经验:833
注册时间:2012-07-02
加关注  |  发消息
22 楼    发表于2012-07-24 10:22:47举报|引用
返回顶部 | 快捷回复

ASC—H,建议活检!

0
回复
signature
从微观世界寻求真理,是一件快乐的事情!
回复:22 阅读:4062
共1页/20条首页上一页1下一页尾页
【免责声明】讨论内容仅作学术交流之用,不作为诊疗依据,由此而引起的法律问题作者及本站不承担任何责任。
快速回复
进入高级回复
您最多可输入10000个汉字,按 "Ctrl" + "Enter" 直接发送
搜索回复/乘电梯 ×
按内容
按会员
乘电梯
合作伙伴
友情链接