共2页/21条首页上一页12下一页尾页
回复:21 阅读:5945
各位老师,会诊一下,49岁卵巢肿物,到底是什么呢?

samool 离线

帖子:250
粉蓝豆:11
经验:389
注册时间:2006-11-29
加关注  |  发消息
楼主 发表于 2011-12-09 17:16|举报|关注(1)
浏览排序[ 顺序 逆序 楼主 支持 精彩 ]  快捷回复

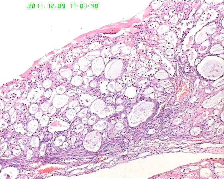
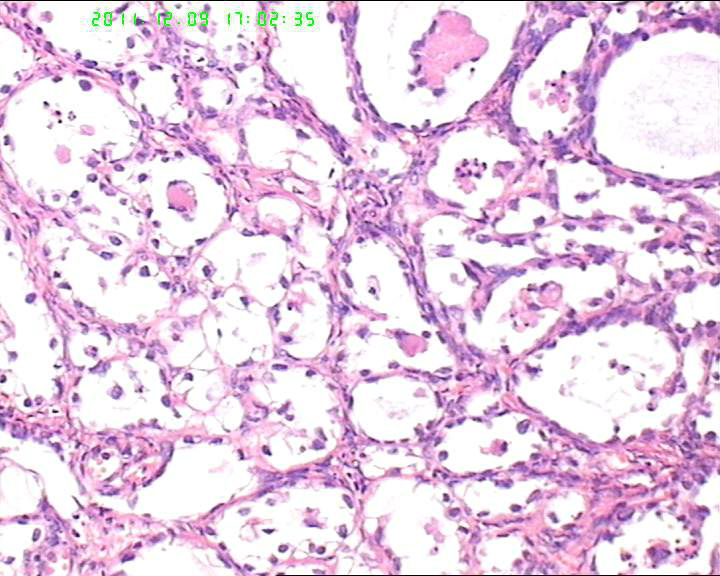
 盆腔包块4个月,13*8*7cm 大小,囊实性,实性区菜花状、灰白质脆,局部半透明。

  • 各位老师,会诊一下,49岁卵巢肿物,到底是什么呢?图1
    图1
  • 各位老师,会诊一下,49岁卵巢肿物,到底是什么呢?图2
    图2
  • 各位老师,会诊一下,49岁卵巢肿物,到底是什么呢?图3
    图3
  • 各位老师,会诊一下,49岁卵巢肿物,到底是什么呢?图4
    图4
  • 各位老师,会诊一下,49岁卵巢肿物,到底是什么呢?图5
    图5
  • 各位老师,会诊一下,49岁卵巢肿物,到底是什么呢?图6
    图6
  • 各位老师,会诊一下,49岁卵巢肿物,到底是什么呢?图7
    图7
  • 各位老师,会诊一下,49岁卵巢肿物,到底是什么呢?图8
    图8
  • 各位老师,会诊一下,49岁卵巢肿物,到底是什么呢?图9
    图9
  • 各位老师,会诊一下,49岁卵巢肿物,到底是什么呢?图10
    图10
  • 各位老师,会诊一下,49岁卵巢肿物,到底是什么呢?图11
    图11
  • 各位老师,会诊一下,49岁卵巢肿物,到底是什么呢?图12
    图12
  • 各位老师,会诊一下,49岁卵巢肿物,到底是什么呢?图13
    图13
  • 各位老师,会诊一下,49岁卵巢肿物,到底是什么呢?图14
    图14
  • 各位老师,会诊一下,49岁卵巢肿物,到底是什么呢?图15
    图15
  • 各位老师,会诊一下,49岁卵巢肿物,到底是什么呢?图16
    图16
  • 各位老师,会诊一下,49岁卵巢肿物,到底是什么呢?图17
    图17
  • 各位老师,会诊一下,49岁卵巢肿物,到底是什么呢?图18
    图18
  • 各位老师,会诊一下,49岁卵巢肿物,到底是什么呢?图19
    图19
  • 各位老师,会诊一下,49岁卵巢肿物,到底是什么呢?图20
    图20
  • 各位老师,会诊一下,49岁卵巢肿物,到底是什么呢?图21
    图21
  • 各位老师,会诊一下,49岁卵巢肿物,到底是什么呢?图22
    图22
  • 各位老师,会诊一下,49岁卵巢肿物,到底是什么呢?图23
    图23
  • 各位老师,会诊一下,49岁卵巢肿物,到底是什么呢?图24
    图24
  • 各位老师,会诊一下,49岁卵巢肿物,到底是什么呢?图25
    图25
  • 各位老师,会诊一下,49岁卵巢肿物,到底是什么呢?图26
    图26
  • 各位老师,会诊一下,49岁卵巢肿物,到底是什么呢?图27
    图27
  • 各位老师,会诊一下,49岁卵巢肿物,到底是什么呢?图28
    图28
  • 各位老师,会诊一下,49岁卵巢肿物,到底是什么呢?图29
    图29
  • 各位老师,会诊一下,49岁卵巢肿物,到底是什么呢?图30
    图30
  • 各位老师,会诊一下,49岁卵巢肿物,到底是什么呢?图31
    图31
  • 各位老师,会诊一下,49岁卵巢肿物,到底是什么呢?图32
    图32
标签:
0
添加参考诊断
×参考诊断
  

阿娇 离线

帖子:2054
粉蓝豆:3320
经验:2384
注册时间:2008-05-31
加关注  |  发消息
2 楼    发表于2011-12-09 17:42:06举报|引用
返回顶部 | 快捷回复

筛状迷路样结构,部分呈乳头状,异型明显,S-D小体不明显,考虑卵黄囊瘤。做CK,AFP,AAT.

0
回复
回复:21 阅读:5945
共2页/21条首页上一页12下一页尾页
【免责声明】讨论内容仅作学术交流之用,不作为诊疗依据,由此而引起的法律问题作者及本站不承担任何责任。
快速回复
进入高级回复
您最多可输入10000个汉字,按 "Ctrl" + "Enter" 直接发送
搜索回复/乘电梯 ×
按内容
按会员
乘电梯
合作伙伴
友情链接