共2页/21条首页上一页12下一页尾页
回复:21 阅读:5946
各位老师,会诊一下,49岁卵巢肿物,到底是什么呢?

samool 离线

帖子:250
粉蓝豆:11
经验:389
注册时间:2006-11-29
加关注  |  发消息
楼主 发表于 2011-12-09 17:16|举报|关注(1)
浏览排序[ 顺序 逆序 楼主 支持 精彩 ]  快捷回复

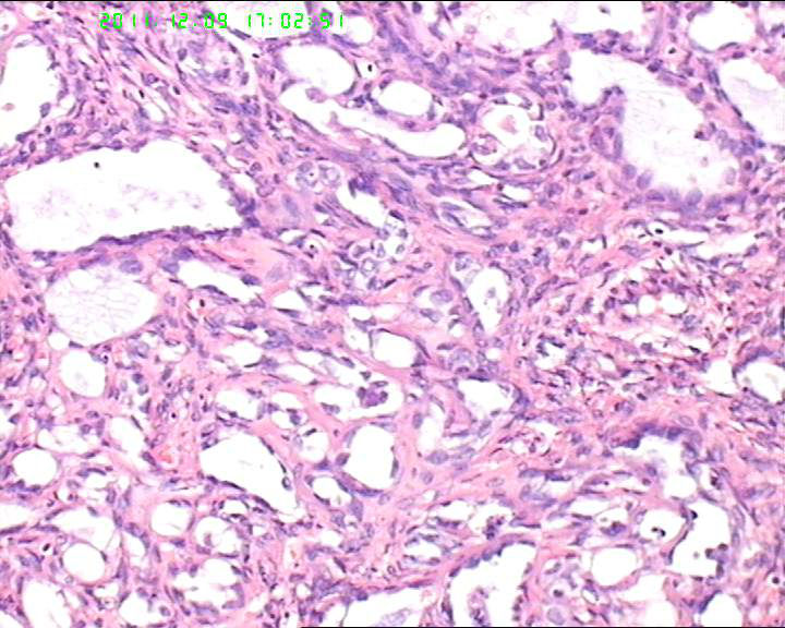
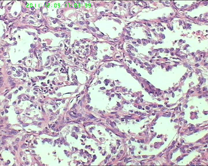
 盆腔包块4个月,13*8*7cm 大小,囊实性,实性区菜花状、灰白质脆,局部半透明。

  • 各位老师,会诊一下,49岁卵巢肿物,到底是什么呢?图1
    图1
  • 各位老师,会诊一下,49岁卵巢肿物,到底是什么呢?图2
    图2
  • 各位老师,会诊一下,49岁卵巢肿物,到底是什么呢?图3
    图3
  • 各位老师,会诊一下,49岁卵巢肿物,到底是什么呢?图4
    图4
  • 各位老师,会诊一下,49岁卵巢肿物,到底是什么呢?图5
    图5
  • 各位老师,会诊一下,49岁卵巢肿物,到底是什么呢?图6
    图6
  • 各位老师,会诊一下,49岁卵巢肿物,到底是什么呢?图7
    图7
  • 各位老师,会诊一下,49岁卵巢肿物,到底是什么呢?图8
    图8
  • 各位老师,会诊一下,49岁卵巢肿物,到底是什么呢?图9
    图9
  • 各位老师,会诊一下,49岁卵巢肿物,到底是什么呢?图10
    图10
  • 各位老师,会诊一下,49岁卵巢肿物,到底是什么呢?图11
    图11
  • 各位老师,会诊一下,49岁卵巢肿物,到底是什么呢?图12
    图12
  • 各位老师,会诊一下,49岁卵巢肿物,到底是什么呢?图13
    图13
  • 各位老师,会诊一下,49岁卵巢肿物,到底是什么呢?图14
    图14
  • 各位老师,会诊一下,49岁卵巢肿物,到底是什么呢?图15
    图15
  • 各位老师,会诊一下,49岁卵巢肿物,到底是什么呢?图16
    图16
  • 各位老师,会诊一下,49岁卵巢肿物,到底是什么呢?图17
    图17
  • 各位老师,会诊一下,49岁卵巢肿物,到底是什么呢?图18
    图18
  • 各位老师,会诊一下,49岁卵巢肿物,到底是什么呢?图19
    图19
  • 各位老师,会诊一下,49岁卵巢肿物,到底是什么呢?图20
    图20
  • 各位老师,会诊一下,49岁卵巢肿物,到底是什么呢?图21
    图21
  • 各位老师,会诊一下,49岁卵巢肿物,到底是什么呢?图22
    图22
  • 各位老师,会诊一下,49岁卵巢肿物,到底是什么呢?图23
    图23
  • 各位老师,会诊一下,49岁卵巢肿物,到底是什么呢?图24
    图24
  • 各位老师,会诊一下,49岁卵巢肿物,到底是什么呢?图25
    图25
  • 各位老师,会诊一下,49岁卵巢肿物,到底是什么呢?图26
    图26
  • 各位老师,会诊一下,49岁卵巢肿物,到底是什么呢?图27
    图27
  • 各位老师,会诊一下,49岁卵巢肿物,到底是什么呢?图28
    图28
  • 各位老师,会诊一下,49岁卵巢肿物,到底是什么呢?图29
    图29
  • 各位老师,会诊一下,49岁卵巢肿物,到底是什么呢?图30
    图30
  • 各位老师,会诊一下,49岁卵巢肿物,到底是什么呢?图31
    图31
  • 各位老师,会诊一下,49岁卵巢肿物,到底是什么呢?图32
    图32
标签:
0
添加参考诊断
×参考诊断
  

zhouquan 离线

帖子:7752
粉蓝豆:302
经验:8263
注册时间:2008-11-09
加关注  |  发消息
4 楼    发表于2011-12-09 19:38:28举报|引用
返回顶部 | 快捷回复

首先考虑透明细胞癌,鉴别卵黄囊瘤

5

liziqian..

haozhaox..

草原

阿斌

mugua
回复
signature
成功不是得到多少东西,而是把身上多余的东西的扔掉多少。   

杨宝军 离线

帖子:1631
粉蓝豆:35
经验:1891
注册时间:2007-02-10
加关注  |  发消息
13 楼    发表于2011-12-12 00:42:53举报|引用
返回顶部 | 快捷回复

透明细胞癌

0
回复

duhua 离线

帖子:1206
粉蓝豆:152
经验:1738
注册时间:2008-08-19
加关注  |  发消息
21 楼    发表于2011-12-15 20:10:25举报|引用
返回顶部 | 快捷回复

1. 透明细胞癌

2. 卵黄囊瘤

0
回复

XWZJ 离线

帖子:116
粉蓝豆:10
经验:334
注册时间:2008-03-23
加关注  |  发消息
18 楼    发表于2011-12-14 20:48:54举报|引用
返回顶部 | 快捷回复

透明细胞癌

0
回复

redsnow007 离线

帖子:329
粉蓝豆:5
经验:999
注册时间:2008-01-01
加关注  |  发消息
14 楼    发表于2011-12-12 10:13:14举报|引用
返回顶部 | 快捷回复

首选透明细胞癌

0
回复

hyl76 离线

帖子:781
粉蓝豆:656
经验:3771
注册时间:2007-06-05
加关注  |  发消息
15 楼    发表于2011-12-12 11:18:34举报|引用
返回顶部 | 快捷回复

倾向卵黄囊瘤。

0
回复
signature
学无止境,不进则退!

夏日 离线

帖子:1057
粉蓝豆:45
经验:1529
注册时间:2011-04-05
加关注  |  发消息
16 楼    发表于2011-12-12 13:08:37举报|引用
返回顶部 | 快捷回复

透明细胞癌

0
回复

yonghongchen 离线

帖子:162
粉蓝豆:2
经验:310
注册时间:2010-01-13
加关注  |  发消息
19 楼    发表于2011-12-14 21:39:21举报|引用
返回顶部 | 快捷回复

 透明细胞癌,做个标记吧

0
回复
signature
山西省汾阳市人,1990年吕梁卫校毕业,2007年山西医科大学病理学硕士研究生毕业,一直从事病理诊断工作,擅长免疫组化技术及诊断,发表论文多篇,完成市级科研4项,省级鉴定一项,获得市级科技进步奖两项,申请国家专利两项。

岁月如梭 离线

帖子:764
粉蓝豆:86
经验:1977
注册时间:2011-12-03
加关注  |  发消息
1 楼    发表于2011-12-09 17:28:15举报|引用
返回顶部 | 快捷回复

倾向内胚窦瘤

0
回复
signature
如履薄冰

王姐 离线

帖子:30
粉蓝豆:13
经验:49
注册时间:2009-02-02
加关注  |  发消息
20 楼    发表于2011-12-14 21:55:03举报|引用
返回顶部 | 快捷回复

 有鞋钉样细胞,首先考虑透明细胞癌。要除外卵黄囊瘤,浆乳癌。

0
回复
signature
孔雀热带鱼

陈奕君 离线

帖子:124
粉蓝豆:39
经验:364
注册时间:2009-11-10
加关注  |  发消息
9 楼    发表于2011-12-11 17:56:15举报|引用
返回顶部 | 快捷回复

 首先考虑透明细胞癌,鉴别卵黄囊瘤

0
回复

xclbljys 离线

帖子:5253
粉蓝豆:224
经验:7005
注册时间:2008-11-21
加关注  |  发消息
3 楼    发表于2011-12-09 19:32:19举报|引用
返回顶部 | 快捷回复

卵黄囊瘤

0
回复
signature
许春雷

wdctop 离线

帖子:150
粉蓝豆:125
经验:278
注册时间:2008-11-04
加关注  |  发消息
10 楼    发表于2011-12-11 19:28:19举报|引用
返回顶部 | 快捷回复

多考虑透明细胞癌,期待免疫组化结果……

0
回复

无神时代 离线

帖子:164
粉蓝豆:114
经验:1510
注册时间:2009-11-03
加关注  |  发消息
17 楼    发表于2011-12-13 21:46:28举报|引用
返回顶部 | 快捷回复

倾向透明细胞癌

0
回复
signature
无神时代

xuanxuan 离线

帖子:266
粉蓝豆:1
经验:547
注册时间:2010-08-22
加关注  |  发消息
6 楼    发表于2011-12-10 18:18:33举报|引用
返回顶部 | 快捷回复

中肾管来源的癌

0
回复

quyibl 离线

帖子:361
粉蓝豆:9
经验:1876
注册时间:2006-10-23
加关注  |  发消息
5 楼    发表于2011-12-09 20:13:38举报|引用
返回顶部 | 快捷回复
本帖最后由 quyibl 于 2011-12-09 20:36:49 编辑

有腺腔样结构,内衬靴钉样细胞,还可见透明细胞,首先考虑透明细胞癌,鉴别诊断:内胚窦瘤。内胚窦瘤的网状结构内衬是扁平的上皮。


名称:图1
描述:123.

名称:图1
描述:12
 
0
回复
signature
我思故我在! know something about everything,know everything about something.

fuyong 离线

帖子:6879
粉蓝豆:2873
经验:12692
注册时间:2008-03-10
加关注  |  发消息
7 楼    发表于2011-12-10 18:22:02举报|引用
返回顶部 | 快捷回复

透明细胞癌

0
回复
signature
多读书,读好书

未知陨石 离线

帖子:479
粉蓝豆:13
经验:559
注册时间:2010-09-11
加关注  |  发消息
8 楼    发表于2011-12-10 18:30:52举报|引用
返回顶部 | 快捷回复

 肿瘤细胞弥漫性生长,细胞排列成腺样、腺泡状,细胞异型明显。突向腔内。

卵巢生殖细胞肿瘤,卵黄囊瘤;

性索间质肿瘤,颗粒细胞瘤;

转移性的癌

0
回复
signature

西吉彗星 离线

帖子:272
粉蓝豆:3375
经验:468
注册时间:2008-02-03
加关注  |  发消息
11 楼    发表于2011-12-11 20:29:53举报|引用
返回顶部 | 快捷回复

学习!

0
回复

大海一栗 离线

帖子:1258
粉蓝豆:9
经验:1596
注册时间:2010-07-09
加关注  |  发消息
12 楼    发表于2011-12-11 21:45:52举报|引用
返回顶部 | 快捷回复

考虑透明细胞癌,鉴别卵黄囊瘤

0
回复
回复:21 阅读:5946
共2页/21条首页上一页12下一页尾页
【免责声明】讨论内容仅作学术交流之用,不作为诊疗依据,由此而引起的法律问题作者及本站不承担任何责任。
快速回复
进入高级回复
您最多可输入10000个汉字,按 "Ctrl" + "Enter" 直接发送
搜索回复/乘电梯 ×
按内容
按会员
乘电梯
合作伙伴
友情链接