共1页/18条首页上一页1下一页尾页
回复:18 阅读:4055
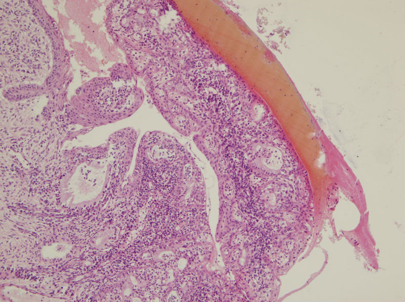
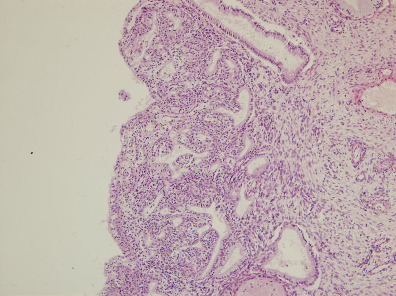
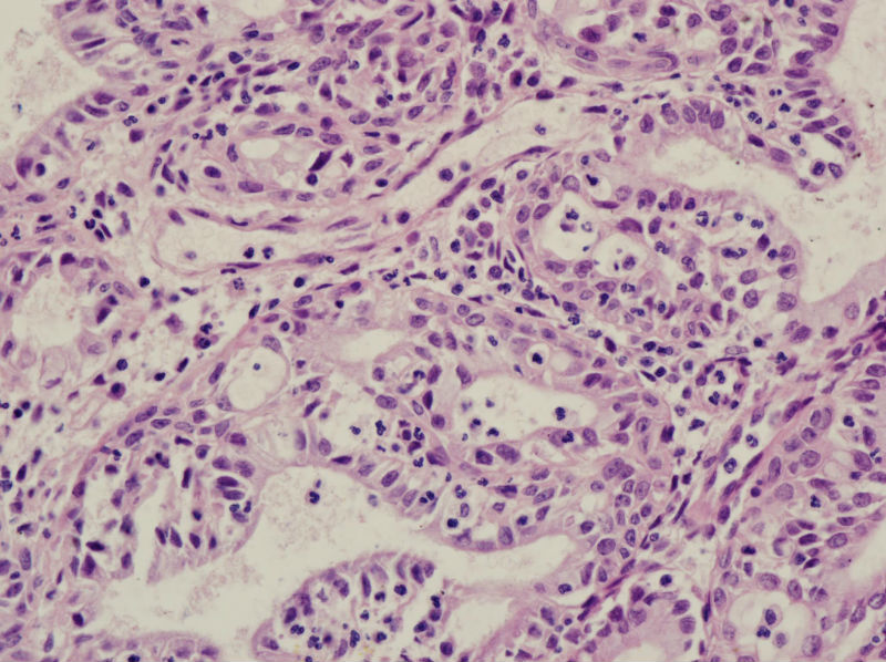
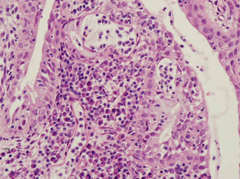
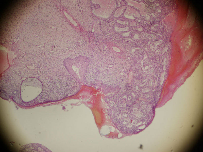
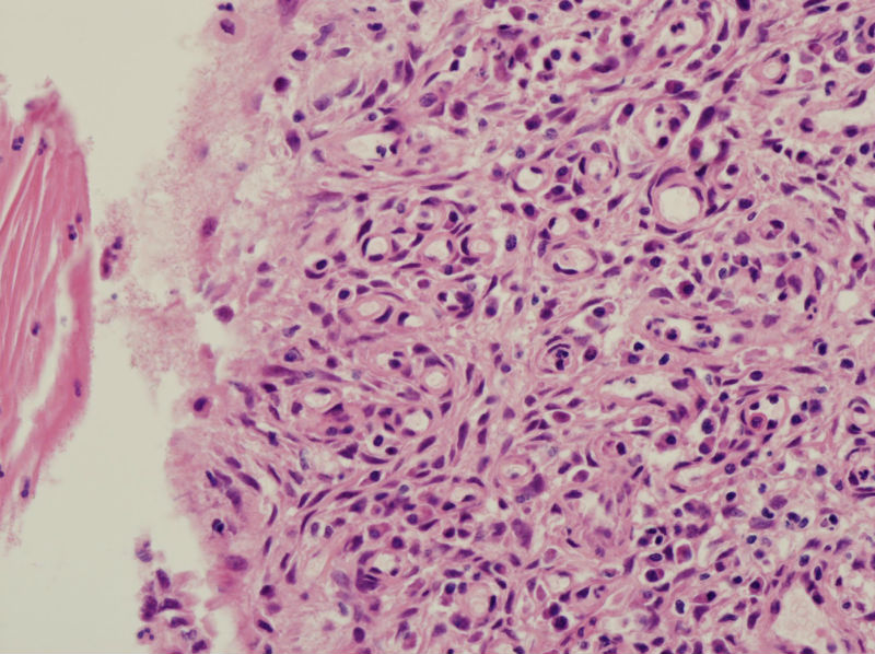
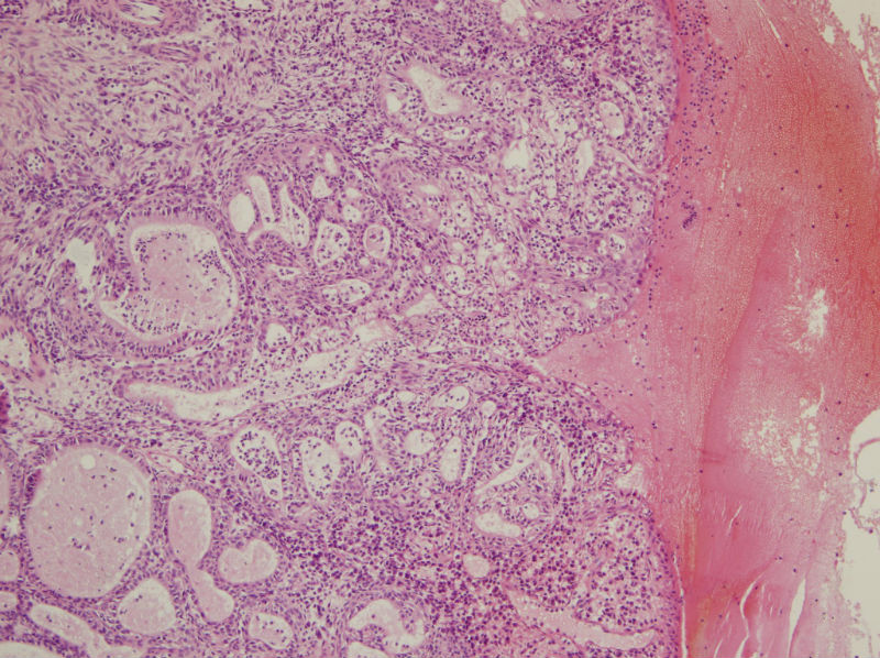
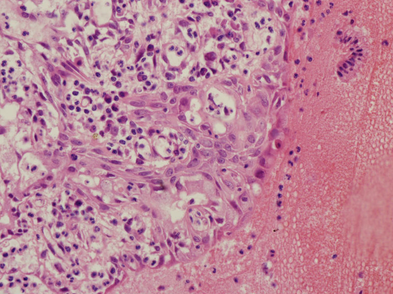
45岁,宫颈息肉?请老师指教

piaoqing 离线

帖子:16
粉蓝豆:1
经验:16
注册时间:2011-07-06
加关注  |  发消息
楼主 发表于 2011-12-09 15:30|举报|关注(0)
浏览排序[ 顺序 逆序 楼主 支持 精彩 ]  快捷回复

 

  • 45岁,宫颈息肉?请老师指教图1
    图1
  • 45岁,宫颈息肉?请老师指教图2
    图2
  • 45岁,宫颈息肉?请老师指教图3
    图3
  • 45岁,宫颈息肉?请老师指教图4
    图4
  • 45岁,宫颈息肉?请老师指教图5
    图5
  • 45岁,宫颈息肉?请老师指教图6
    图6
  • 45岁,宫颈息肉?请老师指教图7
    图7
  • 45岁,宫颈息肉?请老师指教图8
    图8
  • 45岁,宫颈息肉?请老师指教图9
    图9
  • 45岁,宫颈息肉?请老师指教图10
    图10
  • 45岁,宫颈息肉?请老师指教图11
    图11
  • 45岁,宫颈息肉?请老师指教图12
    图12
  • 45岁,宫颈息肉?请老师指教图13
    图13
  • 45岁,宫颈息肉?请老师指教图14
    图14
  • 45岁,宫颈息肉?请老师指教图15
    图15
  • 45岁,宫颈息肉?请老师指教图16
    图16
  • 45岁,宫颈息肉?请老师指教图17
    图17
标签:
0
添加参考诊断
×参考诊断
  

mugua 离线

帖子:262
粉蓝豆:731
经验:506
注册时间:2010-05-11
加关注  |  发消息
1 楼    发表于2011-12-09 15:46:23举报|引用
返回顶部 | 快捷回复

慢性炎,腺体有鳞化

2

yangzhij..

alb19760..
回复

piaoqing 离线

帖子:16
粉蓝豆:1
经验:16
注册时间:2011-07-06
加关注  |  发消息
2 楼    发表于2011-12-09 15:52:40举报|引用
返回顶部 | 快捷回复

 我想请问,息肉的分型.另外患者服用大量妇科中成药物和腺体的鳞化有关吗?

0
回复

长河 离线

帖子:74
粉蓝豆:14
经验:124
注册时间:2010-08-16
加关注  |  发消息
3 楼    发表于2011-12-12 11:48:53举报|引用
返回顶部 | 快捷回复

宫颈息肉!

0
回复

珠江人家 离线

帖子:356
粉蓝豆:1856
经验:887
注册时间:2008-03-19
加关注  |  发消息
4 楼    发表于2011-12-14 21:57:55举报|引用
返回顶部 | 快捷回复

宫颈及宫颈内膜息肉,腺体增生及鳞化,鳞化跟中药没有关系,跟炎症刺激有关系。

0
回复

duhua 离线

帖子:1206
粉蓝豆:152
经验:1738
注册时间:2008-08-19
加关注  |  发消息
5 楼    发表于2011-12-15 19:59:15举报|引用
返回顶部 | 快捷回复

宫颈息肉伴腺体鳞化,微腺体增生

1

yonghong..
回复

759926400 离线

帖子:250
粉蓝豆:137
经验:495
注册时间:2011-08-07
加关注  |  发消息
6 楼    发表于2011-12-15 22:27:31举报|引用
返回顶部 | 快捷回复

宫颈及宫颈内膜息肉,腺体增生及鳞化

0
回复

next 离线

帖子:111
粉蓝豆:12
经验:452
注册时间:2006-12-11
加关注  |  发消息
7 楼    发表于2011-12-15 22:32:20举报|引用
返回顶部 | 快捷回复
引用 3 楼 长河 在 2011-12-12 11:48:53 的发言:

宫颈息肉!


0
回复

夏日 离线

帖子:1057
粉蓝豆:45
经验:1529
注册时间:2011-04-05
加关注  |  发消息
8 楼    发表于2011-12-16 09:18:06举报|引用
返回顶部 | 快捷回复

宫颈息肉

0
回复

lala130 离线

帖子:22
粉蓝豆:11
经验:84
注册时间:2010-07-26
加关注  |  发消息
9 楼    发表于2011-12-16 14:16:53举报|引用
返回顶部 | 快捷回复

宫颈息肉,伴有微小腺体增生。

0
回复

redsnow007 离线

帖子:329
粉蓝豆:5
经验:999
注册时间:2008-01-01
加关注  |  发消息
10 楼    发表于2011-12-25 14:16:02举报|引用
返回顶部 | 快捷回复

宫颈息肉,伴微腺体增生

0
回复

sl风 离线

帖子:243
粉蓝豆:38
经验:897
注册时间:2009-11-05
加关注  |  发消息
11 楼    发表于2011-12-25 16:03:06举报|引用
返回顶部 | 快捷回复

宫颈息肉伴腺体磷化。

0
回复

wangdingding 离线

帖子:1474
粉蓝豆:98
经验:6042
注册时间:2006-10-19
加关注  |  发消息
12 楼    发表于2011-12-26 12:03:45举报|引用
返回顶部 | 快捷回复

宫颈息肉伴腺体磷化

0
回复

wanxiaojuan 离线

帖子:72
粉蓝豆:3
经验:307
注册时间:2011-03-24
加关注  |  发消息
13 楼    发表于2012-01-02 15:53:03举报|引用
返回顶部 | 快捷回复

宫颈息肉伴腺体的鳞化,我个人感觉息肉的分型比较复杂,有的地方存在宫颈腺体增生型,有些地方血管型,还有纤维型也可见。

0
回复

xuanxuan 离线

帖子:266
粉蓝豆:1
经验:547
注册时间:2010-08-22
加关注  |  发消息
14 楼    发表于2012-01-02 19:44:56举报|引用
返回顶部 | 快捷回复

宫颈息肉伴鳞化和微腺体增生

0
回复

黄果树 离线

帖子:143
粉蓝豆:335
经验:262
注册时间:2009-02-15
加关注  |  发消息
15 楼    发表于2012-01-03 12:51:46举报|引用
返回顶部 | 快捷回复

宫颈息肉

0
回复

乌之语 离线

帖子:268
粉蓝豆:473
经验:290
注册时间:2011-08-04
加关注  |  发消息
16 楼    发表于2012-01-03 12:59:13举报|引用
返回顶部 | 快捷回复

宫颈息肉伴糜烂,局部腺体及黏膜上皮鳞状上皮化生。至于说具体分型,与临床治疗和预后都没有关系,可以不分。

0
回复

zhangyajing 离线

帖子:500
粉蓝豆:4
经验:610
注册时间:2008-03-23
加关注  |  发消息
17 楼    发表于2012-01-03 14:00:01举报|引用
返回顶部 | 快捷回复

宫颈息肉伴腺体磷化

0
回复

杨斌 离线

帖子:370
粉蓝豆:6
经验:423
注册时间:2007-06-22
加关注  |  发消息
18 楼    发表于2012-01-04 06:57:00举报|引用
返回顶部 | 快捷回复
Benign endocervical polyp with SM and MGH. You do not need classify benign endocervical polyp because it has no impact on clinical management.
0
回复
signature
不坠青云之志,长怀赤子之心
回复:18 阅读:4055
共1页/18条首页上一页1下一页尾页
【免责声明】讨论内容仅作学术交流之用,不作为诊疗依据,由此而引起的法律问题作者及本站不承担任何责任。
快速回复
进入高级回复
您最多可输入10000个汉字,按 "Ctrl" + "Enter" 直接发送
搜索回复/乘电梯 ×
按内容
按会员
乘电梯
合作伙伴
友情链接