共1页/9条首页上一页1下一页尾页
回复:9 阅读:3505
TCT 疱疹病毒?

wolflovepig 离线

帖子:675
粉蓝豆:55
经验:9062
注册时间:2007-08-25
加关注  |  发消息
楼主 发表于 2011-12-08 16:53|举报|关注(0)
浏览排序[ 顺序 逆序 楼主 支持 精彩 ]  快捷回复

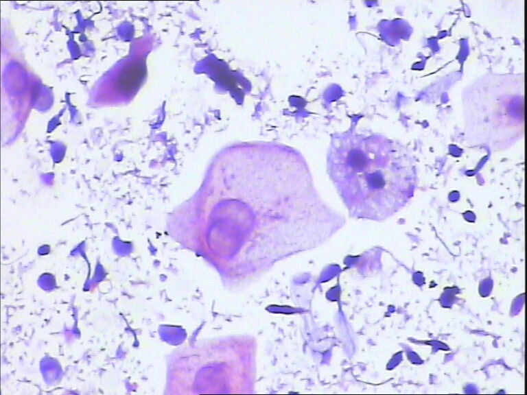
 49y,TCT,HE染色

  • TCT   疱疹病毒?图1
    图1
  • TCT   疱疹病毒?图2
    图2
  • TCT   疱疹病毒?图3
    图3
  • TCT   疱疹病毒?图4
    图4
  • TCT   疱疹病毒?图5
    图5
  • TCT   疱疹病毒?图6
    图6
  • TCT   疱疹病毒?图7
    图7

标签:TCT 疱疹病毒?
0
添加参考诊断
×参考诊断
  

wln 离线

帖子:30
粉蓝豆:10
经验:91
注册时间:2011-11-09
加关注  |  发消息
1 楼    发表于2011-12-08 17:32:18举报|引用
返回顶部 | 快捷回复

刚学习中,全图预览没有镜下疱疹病毒的感觉,不是很典型,呵呵....学习中,请各位老师知道。

0
回复
signature
我的细心,我的用心,我的耐心。

浪漫主义 离线

帖子:918
粉蓝豆:270
经验:1563
注册时间:2007-01-15
加关注  |  发消息
2 楼    发表于2011-12-08 17:45:35举报|引用
返回顶部 | 快捷回复

不典型

0
回复
signature
风雨兼程

gwls0008 离线

帖子:1365
粉蓝豆:5
经验:1465
注册时间:2008-08-24
加关注  |  发消息
3 楼    发表于2011-12-08 17:49:33举报|引用
返回顶部 | 快捷回复

有毛玻璃样核,多核,但是未见核内包涵体。打可疑是可以的。

0
回复

巴山夜雨涨秋池 离线

帖子:12152
粉蓝豆:77
经验:12941
注册时间:2009-01-25
加关注  |  发消息
4 楼    发表于2011-12-08 18:48:33举报|引用
返回顶部 | 快捷回复

是不是染色有问题?

1

abc666
回复
signature

body>h1>span>...................This signature is very handsome.

李艳东 离线

帖子:264
粉蓝豆:4
经验:281
注册时间:2011-03-29
加关注  |  发消息
5 楼    发表于2011-12-08 19:32:23举报|引用
返回顶部 | 快捷回复

不好说,没看过HE的片子

0
回复

abc666 离线

帖子:295
粉蓝豆:5
经验:304
注册时间:2008-04-06
加关注  |  发消息
6 楼    发表于2011-12-08 19:36:05举报|引用
返回顶部 | 快捷回复

不是HSV,虽然有毛玻璃样的核,但无HSV核的排列。

是固定或染色的问题。

0
回复

新手007 离线

帖子:612
粉蓝豆:5
经验:787
注册时间:2010-08-17
加关注  |  发消息
7 楼    发表于2011-12-08 20:11:57举报|引用
返回顶部 | 快捷回复

这种液基不如传统涂片,诊断太危险了。

0
回复

zwgdlr 离线

帖子:92
粉蓝豆:85
经验:169
注册时间:2010-07-03
加关注  |  发消息
8 楼    发表于2011-12-08 20:22:38举报|引用
返回顶部 | 快捷回复

不敢定,没有那种镶嵌的感觉

 

0
回复

魔眼 离线

帖子:381
粉蓝豆:9
经验:451
注册时间:2008-05-06
加关注  |  发消息
9 楼    发表于2011-12-08 21:09:52举报|引用
返回顶部 | 快捷回复

这可能是制片的问题吧,不能定HSV

2

chenyoul..

中山论剑
回复
signature
学习,学习,再学习!
回复:9 阅读:3505
共1页/9条首页上一页1下一页尾页
【免责声明】讨论内容仅作学术交流之用,不作为诊疗依据,由此而引起的法律问题作者及本站不承担任何责任。
快速回复
进入高级回复
您最多可输入10000个汉字,按 "Ctrl" + "Enter" 直接发送
搜索回复/乘电梯 ×
按内容
按会员
乘电梯
合作伙伴
友情链接