共1页/14条首页上一页1下一页尾页
回复:14 阅读:2383
卵巢肿物

molly011 在线

帖子:938
粉蓝豆:244
经验:1818
注册时间:2007-07-19
加关注  |  发消息
楼主 发表于 2011-12-07 18:47|举报|关注(0)
浏览排序[ 顺序 逆序 楼主 支持 精彩 ]  快捷回复

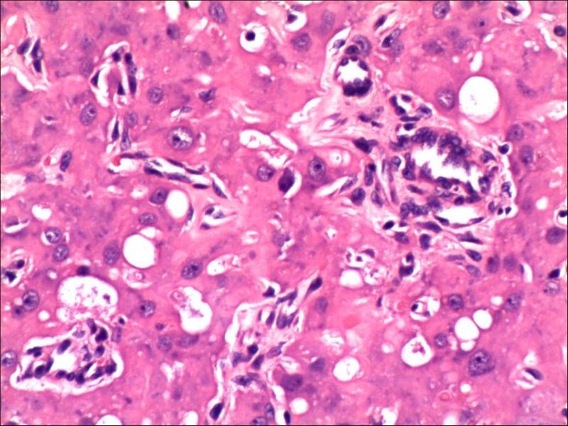
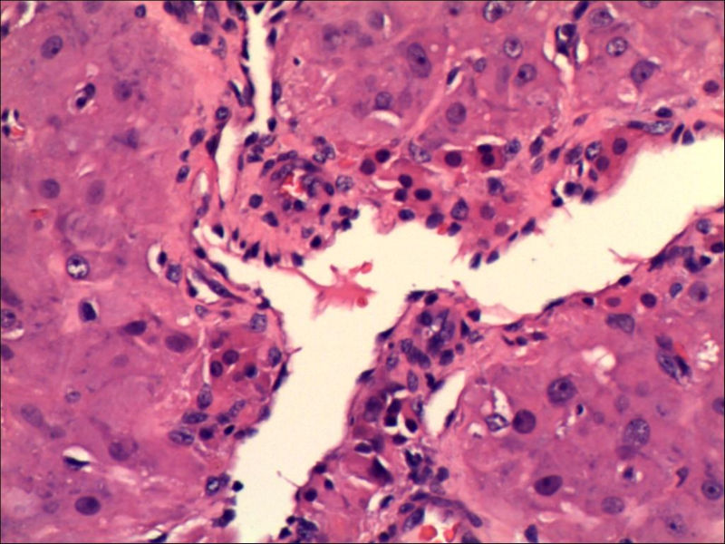
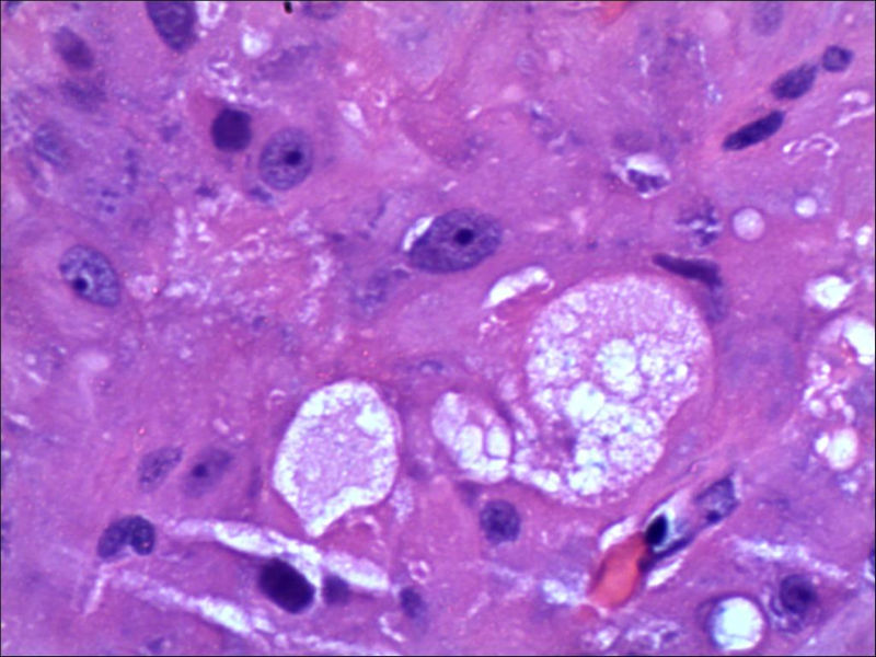
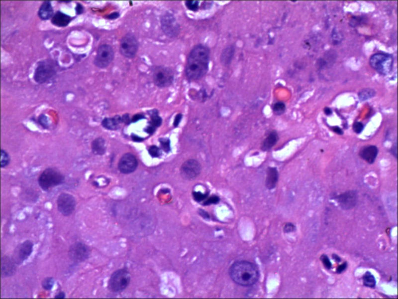
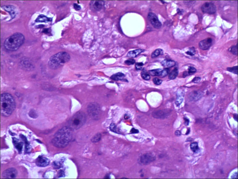
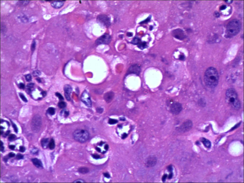
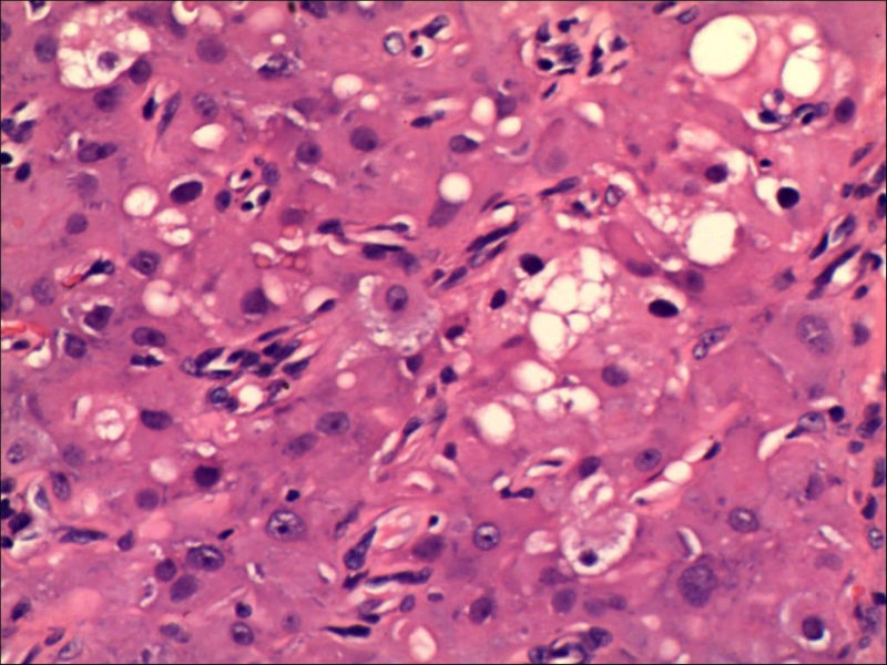
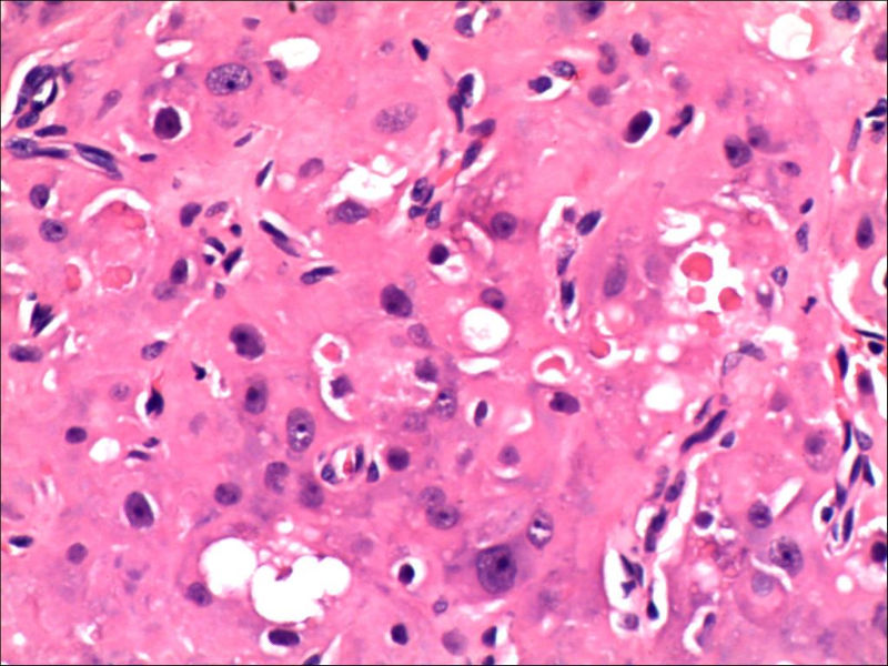
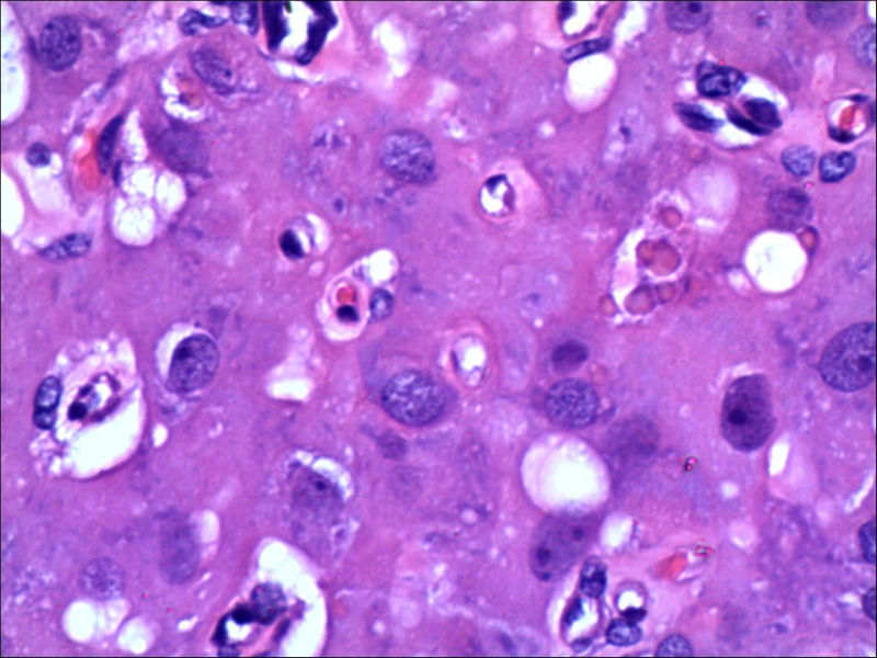
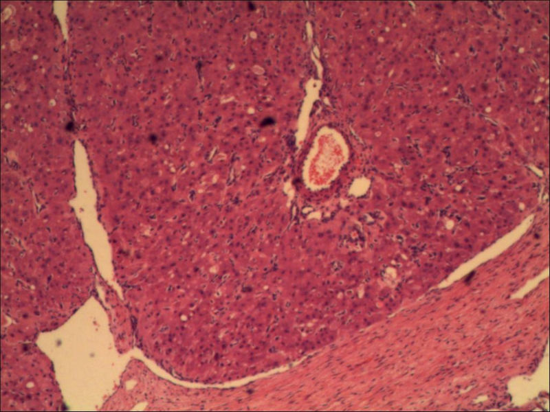
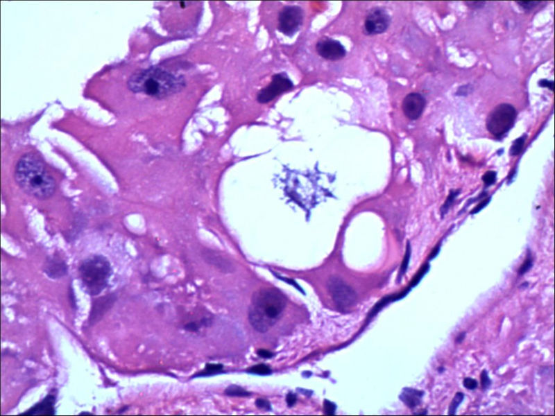
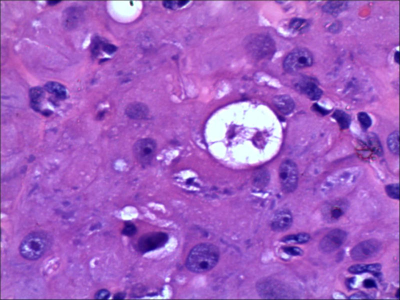
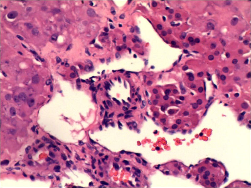
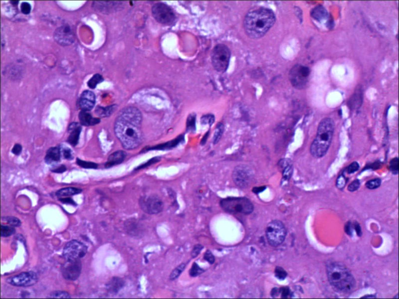
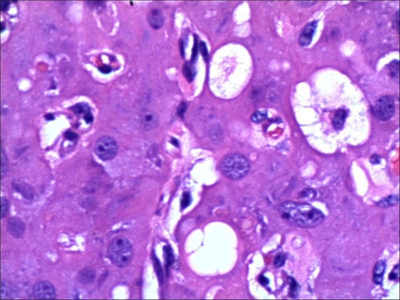
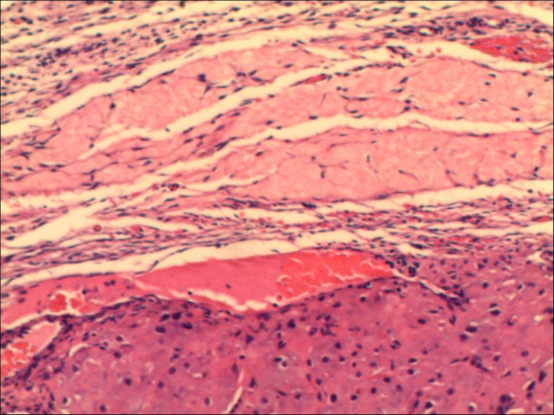
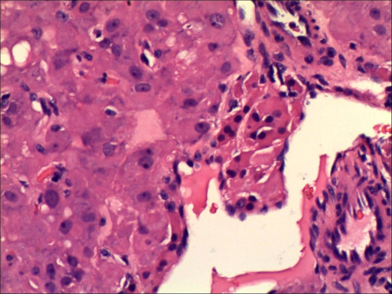
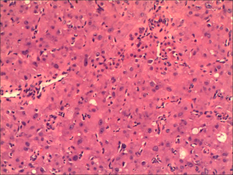
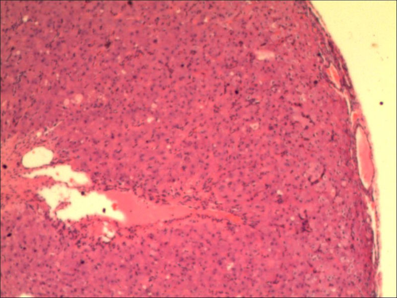
 女,27岁,送检右侧卵巢肿物(另外还送检左侧卵巢肿物,大体及镜下显示为畸胎瘤),卵圆形,大小2×1×1cm,似有包膜。卵巢肿物图1

名称:图1
描述:10503002
卵巢肿物图2
名称:图2
描述:10503003
卵巢肿物图3
名称:图3
描述:10503004
卵巢肿物图4
名称:图4
描述:10503005
卵巢肿物图5
名称:图5
描述:10503006

卵巢肿物图6
名称:图7
描述:10503008
卵巢肿物图7
名称:图8
描述:10503009
卵巢肿物图8
名称:图9
描述:10503010
卵巢肿物图9
名称:图10
描述:10503012
卵巢肿物图10
名称:图11
描述:10503013
卵巢肿物图11
名称:图12
描述:10503014
卵巢肿物图12
名称:图13
描述:10503015
卵巢肿物图13
名称:图14
描述:10503016
卵巢肿物图14
名称:图15
描述:10503017
卵巢肿物图15
名称:图16
描述:10503018
卵巢肿物图16
名称:图17
描述:10503020
卵巢肿物图17
名称:图18
描述:10503021
卵巢肿物图18
名称:图19
描述:10503022
卵巢肿物图19
名称:图20
描述:10503023
卵巢肿物图20
名称:图21
描述:10503024
卵巢肿物图21
名称:图22
描述:10503025
卵巢肿物图22
名称:图23
描述:10503026
卵巢肿物图23
名称:图24
描述:10503027
卵巢肿物图24
名称:图25
描述:10503028
卵巢肿物图25
名称:图26
描述:10503029
卵巢肿物图26
名称:图27
描述:10503030
卵巢肿物图27
名称:图28
描述:10503031
标签:
0
signature
稳扎稳打,稳中求胜
添加参考诊断
×参考诊断
  

cklas 离线

帖子:880
粉蓝豆:0
经验:1016
注册时间:2011-05-19
加关注  |  发消息
1 楼    发表于2011-12-07 20:00:07举报|引用
返回顶部 | 快捷回复

间质细胞瘤或门细胞瘤?

0
回复
signature
从事病理需要付出更多!并非人人都适合本专业!

一了 离线

帖子:2138
粉蓝豆:64
经验:2288
注册时间:2009-03-31
加关注  |  发消息
2 楼    发表于2011-12-07 20:02:49举报|引用
返回顶部 | 快捷回复

黄体

1

水中央
回复

大海一栗 离线

帖子:1258
粉蓝豆:9
经验:1596
注册时间:2010-07-09
加关注  |  发消息
3 楼    发表于2011-12-07 21:05:59举报|引用
返回顶部 | 快捷回复

卵巢黄体

1

千百合
回复

浪漫主义 离线

帖子:918
粉蓝豆:270
经验:1563
注册时间:2007-01-15
加关注  |  发消息
4 楼    发表于2011-12-07 21:08:35举报|引用
返回顶部 | 快捷回复

卵巢黄体

0
回复
signature
风雨兼程

珠江人家 离线

帖子:356
粉蓝豆:1856
经验:887
注册时间:2008-03-19
加关注  |  发消息
5 楼    发表于2011-12-07 22:44:31举报|引用
返回顶部 | 快捷回复

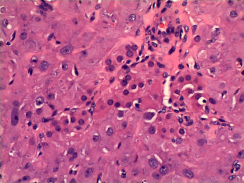
卵巢畸胎瘤中正常卵巢的黄体组织,铺砖样排列,胞浆宽大,较典型。

0
回复

molly011 在线

帖子:938
粉蓝豆:244
经验:1818
注册时间:2007-07-19
加关注  |  发消息
6 楼    发表于2011-12-08 07:37:40举报|引用
返回顶部 | 快捷回复

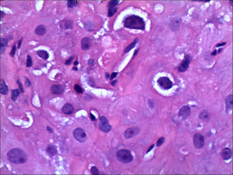
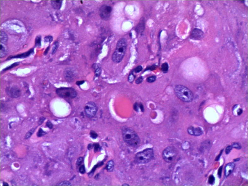
不好意思,可能是我没说清楚,患者对侧卵巢是畸胎瘤,不是同一侧的,我初步考虑门细胞瘤,图21,22,24,25,26中央的一些细胞是不是很像门细胞

0
回复
signature
稳扎稳打,稳中求胜

阿娇 离线

帖子:2054
粉蓝豆:3318
经验:2384
注册时间:2008-05-31
加关注  |  发消息
7 楼    发表于2011-12-08 08:45:50举报|引用
返回顶部 | 快捷回复

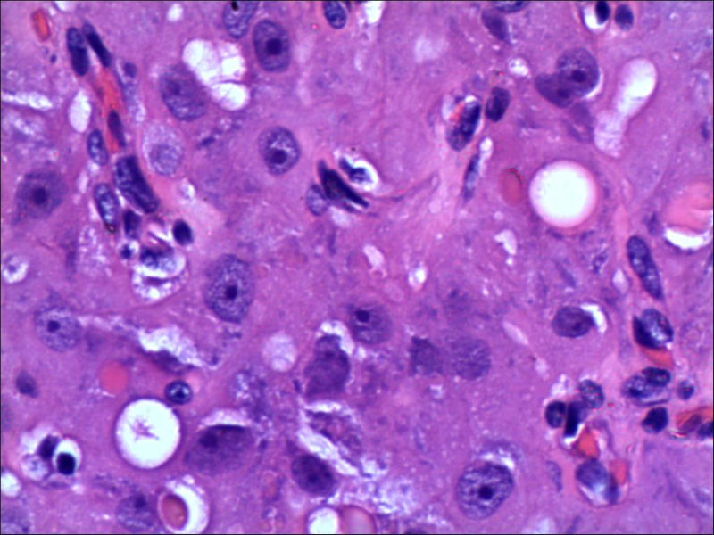
其中一些大细胞怎么解释,建议在传一些中倍的图,图片有些暗了。

 

0
回复

shandongzhang 离线

帖子:804
粉蓝豆:506
经验:1510
注册时间:2006-09-24
加关注  |  发消息
8 楼    发表于2011-12-08 10:34:50举报|引用
返回顶部 | 快捷回复

可能为黄体结节

0
回复

水中央 离线

帖子:2698
粉蓝豆:1119
经验:7190
注册时间:2009-10-07
加关注  |  发消息
9 楼    发表于2011-12-08 12:13:17举报|引用
返回顶部 | 快捷回复
引用 8 楼 shandongzhang 在 2011-12-08 10:34:50 的发言:

可能为黄体结节

感谢张老师对女生版块的关注,请多多给网友答疑解惑。

0
回复
signature
刀锋上的蚂蚁

200406 离线

帖子:1385
粉蓝豆:145
经验:2735
注册时间:2011-08-08
加关注  |  发消息
10 楼    发表于2011-12-08 12:20:03举报|引用
返回顶部 | 快捷回复

考虑黄体结节

0
回复

molly011 在线

帖子:938
粉蓝豆:244
经验:1818
注册时间:2007-07-19
加关注  |  发消息
11 楼    发表于2011-12-08 17:49:25举报|引用
返回顶部 | 快捷回复
本帖最后由 molly011 于 2011-12-08 17:51:51 编辑

谢谢大家的回答和解疑,忘记一个重要的病史,就是该女性为产妇。但是妊娠黄体瘤与类固醇细胞瘤怎么鉴别呢

0
回复
signature
稳扎稳打,稳中求胜

珠江人家 离线

帖子:356
粉蓝豆:1856
经验:887
注册时间:2008-03-19
加关注  |  发消息
12 楼    发表于2011-12-08 20:20:45举报|引用
返回顶部 | 快捷回复

那应该是妊娠黄体/黄体瘤,类固醇细胞瘤有嗜酸细胞和组织细胞样细胞两种,此例显然不是。

0
回复

molly011 在线

帖子:938
粉蓝豆:244
经验:1818
注册时间:2007-07-19
加关注  |  发消息
13 楼    发表于2011-12-08 21:46:21举报|引用
返回顶部 | 快捷回复
引用 12 楼 珠江人家 在 2011-12-08 20:20:45 的发言:

那应该是妊娠黄体/黄体瘤,类固醇细胞瘤有嗜酸细胞和组织细胞样细胞两种,此例显然不是。


谢谢您啦

0
回复
signature
稳扎稳打,稳中求胜

有福不在忙 离线

帖子:2161
粉蓝豆:42
经验:3448
注册时间:2008-11-22
加关注  |  发消息
14 楼    发表于2011-12-08 22:30:35举报|引用
返回顶部 | 快捷回复

做免疫组化应该好鉴别吧?

0
回复
signature
有福不在忙
回复:14 阅读:2383
共1页/14条首页上一页1下一页尾页
【免责声明】讨论内容仅作学术交流之用,不作为诊疗依据,由此而引起的法律问题作者及本站不承担任何责任。
快速回复
进入高级回复
您最多可输入10000个汉字,按 "Ctrl" + "Enter" 直接发送
搜索回复/乘电梯 ×
按内容
按会员
乘电梯
合作伙伴
友情链接