共1页/6条首页上一页1下一页尾页
回复:6 阅读:2923
53岁女性患者,鼻腔肿物,中线恶网?韦格尔肉芽肿?

samool 离线

帖子:250
粉蓝豆:11
经验:389
注册时间:2006-11-29
加关注  |  发消息
楼主 发表于 2011-12-06 17:19|举报|关注(1)
浏览排序[ 顺序 逆序 楼主 支持 精彩 ]  快捷回复

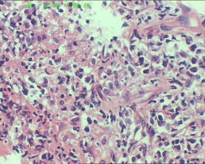
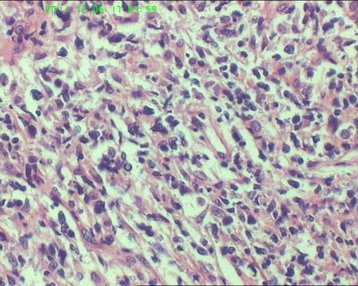
 患者流脓涕1年,加重1月。左鼻腔息肉样增生物,质软,易出血。

送检灰白色绿豆大组织4块。

  • 53岁女性患者,鼻腔肿物,中线恶网?韦格尔肉芽肿?图1
    图1
  • 53岁女性患者,鼻腔肿物,中线恶网?韦格尔肉芽肿?图2
    图2
  • 53岁女性患者,鼻腔肿物,中线恶网?韦格尔肉芽肿?图3
    图3
  • 53岁女性患者,鼻腔肿物,中线恶网?韦格尔肉芽肿?图4
    图4
  • 53岁女性患者,鼻腔肿物,中线恶网?韦格尔肉芽肿?图5
    图5
  • 53岁女性患者,鼻腔肿物,中线恶网?韦格尔肉芽肿?图6
    图6
  • 53岁女性患者,鼻腔肿物,中线恶网?韦格尔肉芽肿?图7
    图7
  • 53岁女性患者,鼻腔肿物,中线恶网?韦格尔肉芽肿?图8
    图8
  • 53岁女性患者,鼻腔肿物,中线恶网?韦格尔肉芽肿?图9
    图9
  • 53岁女性患者,鼻腔肿物,中线恶网?韦格尔肉芽肿?图10
    图10
  • 53岁女性患者,鼻腔肿物,中线恶网?韦格尔肉芽肿?图11
    图11
  • 53岁女性患者,鼻腔肿物,中线恶网?韦格尔肉芽肿?图12
    图12
  • 53岁女性患者,鼻腔肿物,中线恶网?韦格尔肉芽肿?图13
    图13
  • 53岁女性患者,鼻腔肿物,中线恶网?韦格尔肉芽肿?图14
    图14
  • 53岁女性患者,鼻腔肿物,中线恶网?韦格尔肉芽肿?图15
    图15
  • 53岁女性患者,鼻腔肿物,中线恶网?韦格尔肉芽肿?图16
    图16
  • 53岁女性患者,鼻腔肿物,中线恶网?韦格尔肉芽肿?图17
    图17
  • 53岁女性患者,鼻腔肿物,中线恶网?韦格尔肉芽肿?图18
    图18
  • 53岁女性患者,鼻腔肿物,中线恶网?韦格尔肉芽肿?图19
    图19
  • 53岁女性患者,鼻腔肿物,中线恶网?韦格尔肉芽肿?图20
    图20
  • 53岁女性患者,鼻腔肿物,中线恶网?韦格尔肉芽肿?图21
    图21
  • 53岁女性患者,鼻腔肿物,中线恶网?韦格尔肉芽肿?图22
    图22
  • 53岁女性患者,鼻腔肿物,中线恶网?韦格尔肉芽肿?图23
    图23
  • 53岁女性患者,鼻腔肿物,中线恶网?韦格尔肉芽肿?图24
    图24
标签:
0
添加参考诊断
×参考诊断
  

linyguo 离线

帖子:2365
粉蓝豆:43
经验:2514
注册时间:2009-08-09
加关注  |  发消息
1 楼    发表于2011-12-06 17:39:21举报|引用
返回顶部 | 快捷回复

横纹肌肉瘤,恶黑,血管肉瘤,NK/T等

0
回复

病理020 离线

帖子:1344
粉蓝豆:5614
经验:1814
注册时间:2011-10-02
加关注  |  发消息
2 楼    发表于2011-12-07 07:53:00举报|引用
返回顶部 | 快捷回复

恶性淋巴瘤(NK/T)

0
回复
signature
邓学田

广秀 离线

帖子:2711
粉蓝豆:1246
经验:3502
注册时间:2009-09-15
加关注  |  发消息
3 楼    发表于2011-12-08 19:18:17举报|引用
返回顶部 | 快捷回复

组织内见大量形态各异的异型明显的细胞,弥漫分布,背景见肿瘤素质,首先考虑结外NK/T细胞淋巴瘤,鼻型;恶黑待排。

0
回复
signature
人淡如菊,心素如简。

zorrokp 离线

帖子:268
粉蓝豆:9
经验:289
注册时间:2010-01-13
加关注  |  发消息
4 楼    发表于2011-12-15 20:48:57举报|引用
返回顶部 | 快捷回复

细胞异性明显,弥散分布,可见血管内皮异性明显,首先考虑血管肉瘤,恶黑,淋巴瘤?

0
回复

kangwang2010 离线

帖子:389
粉蓝豆:13
经验:590
注册时间:2010-03-04
加关注  |  发消息
5 楼    发表于2011-12-15 21:46:49举报|引用
返回顶部 | 快捷回复

横纹肌肉瘤,恶黑,NK/T

0
回复
signature
有时候,称赞别人也是一种美德!

小点 离线

帖子:1926
粉蓝豆:142
经验:3071
注册时间:2009-02-22
加关注  |  发消息
6 楼    发表于2011-12-26 16:06:44举报|引用
返回顶部 | 快捷回复

NK/T

0
回复
回复:6 阅读:2923
共1页/6条首页上一页1下一页尾页
【免责声明】讨论内容仅作学术交流之用,不作为诊疗依据,由此而引起的法律问题作者及本站不承担任何责任。
快速回复
进入高级回复
您最多可输入10000个汉字,按 "Ctrl" + "Enter" 直接发送
搜索回复/乘电梯 ×
按内容
按会员
乘电梯
合作伙伴
友情链接