| 图片: | |
|---|---|
| 名称: | |
| 描述: | |
女,45岁。右乳肿物。自述年轻时哺乳期即发现乳腺肿物至今。具体病史及手术所见不详。送检不规则形肿物两枚,其一V:4.5x3.2x2.4cm,其二V:2.7x2.3x1.5cm。表面光滑,似有包膜。切面实性,灰白色,质中等硬。有粘液。未见明显大的裂隙。
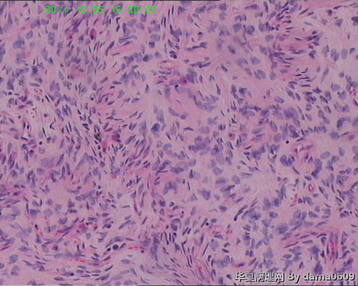
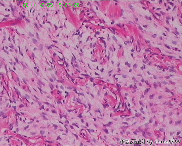
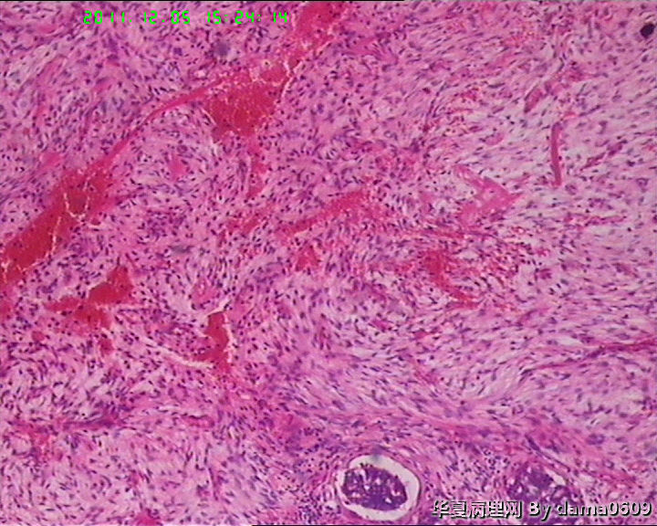
肿物一:镜下见乳腺小叶结构紊乱,小叶内、小叶间间质增生,构成肿瘤主质。增生间质呈梭形细胞样,细胞稀疏、异性不明显,其间见大量胶原纤维,小血管增生,局灶有红细胞渗出。见到一处导管大汗腺化生。
肿物二:镜下呈结节状,结节以导管或小叶为中心,围以增生的间质成分,梭形细胞构成,稀疏,增生的血管呈“鹿角状”。大结节内见局灶间质有出血或红细胞外渗,局灶导管内间质增生呈乳头/分叶状,上皮下无密集增生的间质细胞。结节大小不等,以窄带样纤维细胞束彼此分隔,互不融合,纤维细胞束细胞密集,内有增生的小血管。

老师:这一例学生考虑:1、乳腺纤维腺瘤。问题:患者年龄较大,肿物梭形细胞的间质成分增生显著,上皮成分增生与之不协调,内有大量胶原成分及增生的小血管,还有出血等,结构复杂,尤其肿物二的结节状结构何来?
2、叶状肿瘤(良性)。问题:叶状结构不明显,上皮下不见显著增生的梭形细胞,肿物二的结构也似乎不对。
3、导管周间质增生或间质肉瘤?(缘于肿物二的结构,未真见过此病变。)问题:病例少见,不敢诊断。
请老师们多多指教,此两肿物如何诊断?是一种疾病还是有不同诊断?学生新手,观察或阐述镜下不对之处请勿见笑!!
拜谢老师!!!

xiaorijing 离线
kangwang2010 离线