共2页/37条首页上一页12下一页尾页
回复:37 阅读:11010
B3835乳腺肿物两枚,急求老师指教。谢谢!!!

dama0609 离线

帖子:613
粉蓝豆:1474
经验:708
注册时间:2008-09-08
加关注  |  发消息
楼主 发表于 2011-12-05 19:53|举报|关注(4)
浏览排序[ 顺序 逆序 楼主 支持 精彩 ]  快捷回复

    女,45岁。右乳肿物。自述年轻时哺乳期即发现乳腺肿物至今。具体病史及手术所见不详。送检不规则形肿物两枚,其一V:4.5x3.2x2.4cm,其二V:2.7x2.3x1.5cm。表面光滑,似有包膜。切面实性,灰白色,质中等硬。有粘液。未见明显大的裂隙。
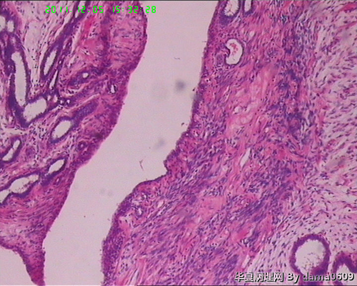
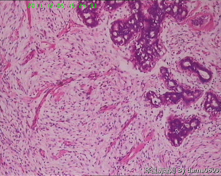
    肿物一:镜下见乳腺小叶结构紊乱,小叶内、小叶间间质增生,构成肿瘤主质。增生间质呈梭形细胞样,细胞稀疏、异性不明显,其间见大量胶原纤维,小血管增生,局灶有红细胞渗出。见到一处导管大汗腺化生。
    肿物二:镜下呈结节状,结节以导管或小叶为中心,围以增生的间质成分,梭形细胞构成,稀疏,增生的血管呈“鹿角状”。大结节内见局灶间质有出血或红细胞外渗,局灶导管内间质增生呈乳头/分叶状,上皮下无密集增生的间质细胞。结节大小不等,以窄带样纤维细胞束彼此分隔,互不融合,纤维细胞束细胞密集,内有增生的小血管。

  • 乳腺肿物两枚,急求老师指教。谢谢!!!图1
    图1肿物1
  • 乳腺肿物两枚,急求老师指教。谢谢!!!图2
    图2肿物1
  • 乳腺肿物两枚,急求老师指教。谢谢!!!图3
    图3肿物1
  • 乳腺肿物两枚,急求老师指教。谢谢!!!图4
    图4肿物1
  • 乳腺肿物两枚,急求老师指教。谢谢!!!图5
    图5肿物1
  • 乳腺肿物两枚,急求老师指教。谢谢!!!图6
    图6肿物1
  • 乳腺肿物两枚,急求老师指教。谢谢!!!图7
    图7肿物1
  • 乳腺肿物两枚,急求老师指教。谢谢!!!图8
    图8肿物1
  • 乳腺肿物两枚,急求老师指教。谢谢!!!图9
    图9肿物1
  • 乳腺肿物两枚,急求老师指教。谢谢!!!图10
    图10肿物1
  • 乳腺肿物两枚,急求老师指教。谢谢!!!图11
    图11肿物1
  • 乳腺肿物两枚,急求老师指教。谢谢!!!图12
    图12肿物1
  • 乳腺肿物两枚,急求老师指教。谢谢!!!图13
    图13肿物1
  • 乳腺肿物两枚,急求老师指教。谢谢!!!图14
    图14肿物1
  • 乳腺肿物两枚,急求老师指教。谢谢!!!图15
    图15肿物1
  • 乳腺肿物两枚,急求老师指教。谢谢!!!图16
    图16肿物1
  • 乳腺肿物两枚,急求老师指教。谢谢!!!图17
    图17肿物1
  • 乳腺肿物两枚,急求老师指教。谢谢!!!图18
    图18肿物1
  • 乳腺肿物两枚,急求老师指教。谢谢!!!图19
    图19肿物1
  • 乳腺肿物两枚,急求老师指教。谢谢!!!图20
    图20肿物1
  • 乳腺肿物两枚,急求老师指教。谢谢!!!图21
    图21肿物1
  • 乳腺肿物两枚,急求老师指教。谢谢!!!图22
    图22肿物1
  • 乳腺肿物两枚,急求老师指教。谢谢!!!图23
    图23肿物1
  • 乳腺肿物两枚,急求老师指教。谢谢!!!图24
    图24肿物1
  • 乳腺肿物两枚,急求老师指教。谢谢!!!图25
    图25肿物1
 
标签:叶状肿瘤
本帖最后由 dama0609 于 2011-12-05 19:55:21 编辑
0
signature
过河小马!
添加参考诊断
×参考诊断
  

dama0609 离线

帖子:613
粉蓝豆:1474
经验:708
注册时间:2008-09-08
加关注  |  发消息
1 楼    发表于2011-12-05 20:07:47举报|引用
返回顶部 | 快捷回复

 肿物二

  • 图1肿物2
  • 图2肿物2
  • 图3肿物2
  • 图4肿物2
  • 图5肿物2
  • 图6肿物2
  • 图7肿物2
  • 图8肿物2
  • 图9肿物2
  • 图10肿物2
  • 图11肿物2
  • 图12肿物2
  • 图13肿物2
  • 图14肿物2
  • 图15肿物2
  • 图16肿物2
  • 图17肿物2
  • 图18肿物2
  • 图19肿物2
  • 图20肿物2
  • 图21肿物2
  • 图22肿物2
  • 图23肿物2
  • 图24肿物2
  • 图25肿物2
  • 图26肿物2
  • 图27肿物2
  • 图28肿物2
  • 图29肿物2
  • 图30肿物2
  • 图31肿物2
 
0
回复
signature
过河小马!

水晶蔷薇 离线

帖子:454
粉蓝豆:309
经验:1828
注册时间:2011-11-30
加关注  |  发消息
2 楼    发表于2011-12-05 20:17:19举报|引用
返回顶部 | 快捷回复

还是考虑叶状肿瘤。

2

清水波心

梦想的海..
回复

dama0609 离线

帖子:613
粉蓝豆:1474
经验:708
注册时间:2008-09-08
加关注  |  发消息
3 楼    发表于2011-12-05 20:20:09举报|引用
返回顶部 | 快捷回复

老师:这一例学生考虑:1、乳腺纤维腺瘤。问题:患者年龄较大,肿物梭形细胞的间质成分增生显著,上皮成分增生与之不协调,内有大量胶原成分及增生的小血管,还有出血等,结构复杂,尤其肿物二的结节状结构何来?

2、叶状肿瘤(良性)。问题:叶状结构不明显,上皮下不见显著增生的梭形细胞,肿物二的结构也似乎不对。

3、导管周间质增生或间质肉瘤?(缘于肿物二的结构,未真见过此病变。)问题:病例少见,不敢诊断。

请老师们多多指教,此两肿物如何诊断?是一种疾病还是有不同诊断?学生新手,观察或阐述镜下不对之处请勿见笑!!

拜谢老师!!!

0
回复
signature
过河小马!

xiaorijing 离线

帖子:73
粉蓝豆:22
经验:114
注册时间:2009-05-05
加关注  |  发消息
4 楼    发表于2011-12-05 20:29:08举报|引用
返回顶部 | 快捷回复

叶状肿瘤

 

0
回复

飘林 离线

帖子:2032
粉蓝豆:2435
经验:2656
注册时间:2009-11-28
加关注  |  发消息
5 楼    发表于2011-12-05 20:33:17举报|引用
返回顶部 | 快捷回复

乳腺良性叶状肿瘤。

0
回复

heroxg 离线

帖子:91
粉蓝豆:14
经验:126
注册时间:2006-11-23
加关注  |  发消息
6 楼    发表于2011-12-05 20:37:18举报|引用
返回顶部 | 快捷回复

首先考虑叶状肿瘤,

其次,排除有没有结节性筋膜炎。可以在很多图片中见到红细胞外渗现象。找一下核分裂吧

 

0
回复
signature
为人病人诊断

永恒爱恋 离线

帖子:571
粉蓝豆:34
经验:831
注册时间:2009-08-21
加关注  |  发消息
7 楼    发表于2011-12-05 20:39:00举报|引用
返回顶部 | 快捷回复

肿物1:腺病伴纤维腺瘤形成;肿物2:叶状肿瘤伴导管内乳头状瘤

1

阿娇
回复
signature
只要你的脚还在地面上,就别把自己看得太轻;只要你还生活在地球上,就别把自己看得太大

病理020 离线

帖子:1344
粉蓝豆:5577
经验:1814
注册时间:2011-10-02
加关注  |  发消息
8 楼    发表于2011-12-05 20:39:55举报|引用
返回顶部 | 快捷回复

良性叶状肿瘤

0
回复
signature
邓学田

dhy1948 离线

帖子:232
粉蓝豆:12
经验:1105
注册时间:2009-04-29
加关注  |  发消息
9 楼    发表于2011-12-05 20:40:37举报|引用
返回顶部 | 快捷回复

 肿瘤表现间质多于腺体,可见裂隙样,上皮高柱状,患者年龄较大,首先考虑叶状肿瘤(良性)。但要随访!

0
回复
signature
会者都是我的老师

zdh8021 离线

帖子:424
粉蓝豆:2203
经验:1679
注册时间:2006-11-14
加关注  |  发消息
10 楼    发表于2011-12-05 20:44:56举报|引用
返回顶部 | 快捷回复

叶状肿瘤:有典型的结构,分叶状生长,裂隙状分布,良性的上皮;间质细胞密度不高,细胞多形性不太明显,核分裂少见,界限尚清,所以诊断良性叶状肿瘤。

1

haozhaox..
回复

chaikeqin 离线

帖子:1355
粉蓝豆:8
经验:1483
注册时间:2009-12-31
加关注  |  发消息
11 楼    发表于2011-12-05 20:46:53举报|引用
返回顶部 | 快捷回复

倾向良性叶状肿瘤

0
回复

kangwang2010 离线

帖子:389
粉蓝豆:13
经验:590
注册时间:2010-03-04
加关注  |  发消息
12 楼    发表于2011-12-05 20:51:39举报|引用
返回顶部 | 快捷回复

良性叶状肿瘤

0
回复
signature
有时候,称赞别人也是一种美德!

河南老杨 离线

帖子:51
粉蓝豆:4355
经验:85
注册时间:2008-04-19
加关注  |  发消息
13 楼    发表于2011-12-05 21:05:12举报|引用
返回顶部 | 快捷回复

考虑叶状肿瘤。

0
回复

老陈酒 离线

帖子:220
粉蓝豆:1673
经验:945
注册时间:2010-07-06
加关注  |  发消息
14 楼    发表于2011-12-05 21:08:10举报|引用
返回顶部 | 快捷回复

我感觉两例都没有典型的分叶状肿瘤特点,还是考虑纤维腺瘤间质增生活跃

1

bobol
回复
signature
老陈酒

飞天宝贝 离线

帖子:43
粉蓝豆:1297
经验:961
注册时间:2010-08-22
加关注  |  发消息
15 楼    发表于2011-12-05 22:00:01举报|引用
返回顶部 | 快捷回复

考虑叶状肿瘤。

0
回复

中山论剑 离线

帖子:102
粉蓝豆:0
经验:261
注册时间:2011-10-20
加关注  |  发消息
16 楼    发表于2011-12-05 22:20:37举报|引用
返回顶部 | 快捷回复

良性叶状肿瘤

0
回复

雁南飞飞 离线

帖子:989
粉蓝豆:38
经验:1395
注册时间:2009-07-02
加关注  |  发消息
17 楼    发表于2011-12-05 22:21:49举报|引用
返回顶部 | 快捷回复

倾向于叶状肿瘤

0
回复
signature
学海无涯

多多fund 离线

帖子:233
粉蓝豆:30
经验:608
注册时间:2009-03-31
加关注  |  发消息
18 楼    发表于2011-12-05 23:37:31举报|引用
返回顶部 | 快捷回复

良性叶状肿瘤

0
回复

宁静志远 离线

帖子:593
粉蓝豆:6307
经验:2699
注册时间:2009-12-30
加关注  |  发消息
19 楼    发表于2011-12-05 23:39:07举报|引用
返回顶部 | 快捷回复

良性叶状肿瘤

1

zhouyanp..
回复

zhouyanping 离线

帖子:34
粉蓝豆:1550
经验:465
注册时间:2009-01-19
加关注  |  发消息
20 楼    发表于2011-12-05 23:44:38举报|引用
返回顶部 | 快捷回复

符合叶状肿瘤

0
回复
signature
zhouyanping
回复:37 阅读:11010
共2页/37条首页上一页12下一页尾页
【免责声明】讨论内容仅作学术交流之用,不作为诊疗依据,由此而引起的法律问题作者及本站不承担任何责任。
快速回复
进入高级回复
您最多可输入10000个汉字,按 "Ctrl" + "Enter" 直接发送
搜索回复/乘电梯 ×
按内容
按会员
乘电梯
合作伙伴
友情链接