共1页/5条首页上一页1下一页尾页
回复:5 阅读:2449
请教:输卵管!

wolflovepig 离线

帖子:675
粉蓝豆:55
经验:9062
注册时间:2007-08-25
加关注  |  发消息
楼主 发表于 2011-12-05 09:31|举报|关注(0)
浏览排序[ 顺序 逆序 楼主 支持 精彩 ]  快捷回复

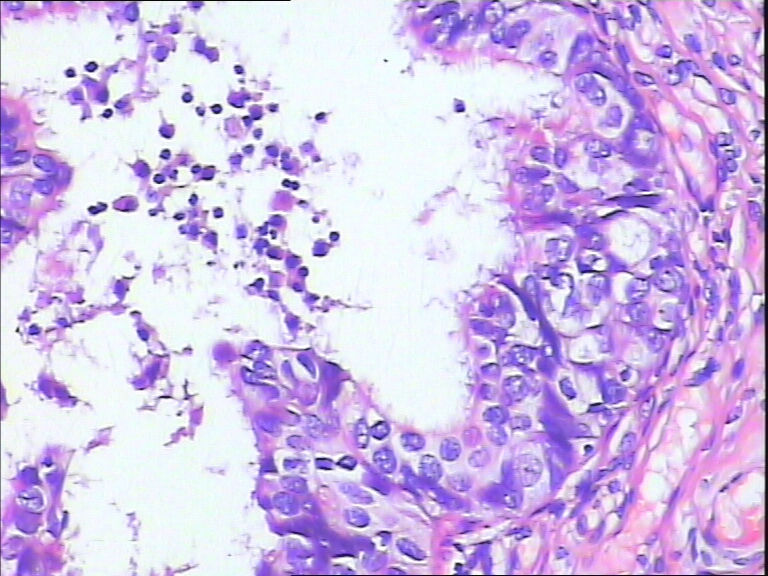
 女,43y

左输卵管积液

输卵管长4.5cm;直径:0.8cm

  • 请教:输卵管!图1
    图1
  • 请教:输卵管!图2
    图2
  • 请教:输卵管!图3
    图3
  • 请教:输卵管!图4
    图4
  • 请教:输卵管!图5
    图5
  • 请教:输卵管!图6
    图6
  • 请教:输卵管!图7
    图7
  • 请教:输卵管!图8
    图8
  • 请教:输卵管!图9
    图9
  • 请教:输卵管!图10
    图10
  • 请教:输卵管!图11
    图11
  • 请教:输卵管!图12
    图12
  • 请教:输卵管!图13
    图13
  • 请教:输卵管!图14
    图14

标签:输卵管
0
添加参考诊断
×参考诊断
  

泉水叮咚响 离线

帖子:2163
粉蓝豆:113
经验:11663
注册时间:2010-12-30
加关注  |  发消息
2 楼    发表于2011-12-05 10:42:50举报|引用
返回顶部 | 快捷回复

慢性炎伴上皮增生

1

flj20092..
回复
signature
刀不磨会生锈,人不学习会落后。

病理020 离线

帖子:1344
粉蓝豆:5581
经验:1814
注册时间:2011-10-02
加关注  |  发消息
1 楼    发表于2011-12-05 10:15:35举报|引用
返回顶部 | 快捷回复

输卵管增生性上皮病变。

0
回复
signature
邓学田

亡羊补牢 离线

帖子:1304
粉蓝豆:2
经验:2118
注册时间:2010-09-29
加关注  |  发消息
3 楼    发表于2011-12-05 10:54:50举报|引用
返回顶部 | 快捷回复

良性,炎症改变

0
回复
signature

一花一世界,一木一浮生

浪漫主义 离线

帖子:918
粉蓝豆:270
经验:1563
注册时间:2007-01-15
加关注  |  发消息
5 楼    发表于2011-12-08 10:33:33举报|引用
返回顶部 | 快捷回复

慢性炎伴上皮增生

0
回复
signature
风雨兼程

aihuaxia 离线

帖子:102
粉蓝豆:20
经验:534
注册时间:2007-10-23
加关注  |  发消息
4 楼    发表于2011-12-05 20:05:53举报|引用
返回顶部 | 快捷回复

考虑炎症

0
回复
回复:5 阅读:2449
共1页/5条首页上一页1下一页尾页
【免责声明】讨论内容仅作学术交流之用,不作为诊疗依据,由此而引起的法律问题作者及本站不承担任何责任。
快速回复
进入高级回复
您最多可输入10000个汉字,按 "Ctrl" + "Enter" 直接发送
搜索回复/乘电梯 ×
按内容
按会员
乘电梯
合作伙伴
友情链接