共1页/8条首页上一页1下一页尾页
回复:8 阅读:2778
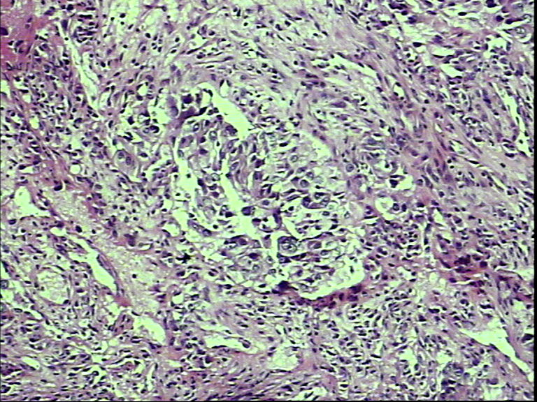
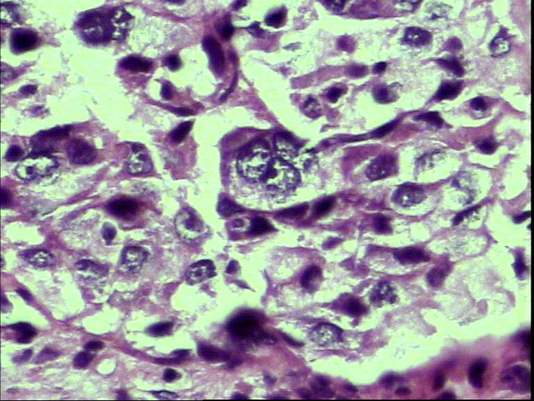
支气管活检,女性,65岁

billy123 离线

帖子:45
粉蓝豆:3
经验:103
注册时间:2006-11-11
加关注  |  发消息
楼主 发表于 2011-12-04 07:20|举报|关注(0)
浏览排序[ 顺序 逆序 楼主 支持 精彩 ]  快捷回复
  • 支气管活检,女性,65岁图1
    图1
  • 支气管活检,女性,65岁图2
    图2
  • 支气管活检,女性,65岁图3
    图3
  • 支气管活检,女性,65岁图4
    图4
  • 支气管活检,女性,65岁图5
    图5
  • 支气管活检,女性,65岁图6
    图6
  • 支气管活检,女性,65岁图7
    图7

 

标签:支气管镜 活检
0
添加参考诊断
×参考诊断
  

病理020 离线

帖子:1344
粉蓝豆:5580
经验:1814
注册时间:2011-10-02
加关注  |  发消息
4 楼    发表于2011-12-04 08:28:08举报|引用
返回顶部 | 快捷回复

组织太少,考虑鳞癌(建议再检)。

1

wang4160
回复
signature
邓学田

低头看路 离线

帖子:142
粉蓝豆:1892
经验:396
注册时间:2009-08-18
加关注  |  发消息
8 楼    发表于2011-12-11 12:24:10举报|引用
返回顶部 | 快捷回复

鳞状细胞癌

0
回复
signature

Michael

zsg010281 离线

帖子:228
粉蓝豆:2
经验:246
注册时间:2011-06-19
加关注  |  发消息
5 楼    发表于2011-12-06 12:13:41举报|引用
返回顶部 | 快捷回复

就本例而言基本肯定是鳞状细胞癌,退一步讲是腺癌的话,也不需再次活检了,排除小细胞癌了,不影响治疗方案了,只要其他情况还好的话,手术治疗是首选了。

0
回复
signature
与世无争,延年益寿。

老黄牛 离线

帖子:108
粉蓝豆:6
经验:138
注册时间:2011-02-10
加关注  |  发消息
6 楼    发表于2011-12-06 12:22:01举报|引用
返回顶部 | 快捷回复

鳞状细胞癌

0
回复
signature
李郝

840612686 离线

帖子:38
粉蓝豆:1
经验:102
注册时间:2009-05-26
加关注  |  发消息
7 楼    发表于2011-12-09 20:47:04举报|引用
返回顶部 | 快捷回复

图片质量太差 需排除腺鳞癌

0
回复
signature
I CAN

billy123 离线

帖子:45
粉蓝豆:3
经验:103
注册时间:2006-11-11
加关注  |  发消息
1 楼    发表于2011-12-04 07:25:34举报|引用
返回顶部 | 快捷回复
本帖最后由 billy123 于 2011-12-04 07:33:45 编辑

鳞癌?腺癌?

0
回复

hyl76 离线

帖子:781
粉蓝豆:656
经验:3771
注册时间:2007-06-05
加关注  |  发消息
2 楼    发表于2011-12-04 08:14:11举报|引用
返回顶部 | 快捷回复

鳞状细胞癌

0
回复
signature
学无止境,不进则退!

xsj 离线

帖子:7
粉蓝豆:1
经验:50
注册时间:2011-11-15
加关注  |  发消息
3 楼    发表于2011-12-04 08:15:58举报|引用
返回顶部 | 快捷回复

鳞状细胞癌

0
回复
回复:8 阅读:2778
共1页/8条首页上一页1下一页尾页
【免责声明】讨论内容仅作学术交流之用,不作为诊疗依据,由此而引起的法律问题作者及本站不承担任何责任。
快速回复
进入高级回复
您最多可输入10000个汉字,按 "Ctrl" + "Enter" 直接发送
搜索回复/乘电梯 ×
按内容
按会员
乘电梯
合作伙伴
友情链接