共1页/7条首页上一页1下一页尾页
回复:7 阅读:2636
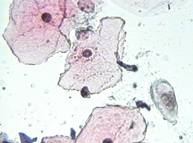
大家看看这个病人有什么细胞?

jxfz1981 离线

帖子:19
粉蓝豆:45
经验:44
注册时间:2011-11-07
加关注  |  发消息
楼主 发表于 2011-12-03 23:04|举报|关注(0)
浏览排序[ 顺序 逆序 楼主 支持 精彩 ]  快捷回复
大家看看这个病人有什么细胞?图1
名称:图1
描述:1
大家看看这个病人有什么细胞?图2
名称:图2
描述:2
大家看看这个病人有什么细胞?图3
名称:图3
描述:3
大家看看这个病人有什么细胞?图4
名称:图4
描述:4
大家看看这个病人有什么细胞?图5
名称:图5
描述:5
大家看看这个病人有什么细胞?图6
名称:图6
描述:6

 

标签:挖空细胞 HPV
0
signature
互相学习,望多多指教
×参考诊断
挖空细胞和ASCUS

张椽 离线

帖子:119
粉蓝豆:38
经验:182
注册时间:2011-05-24
加关注  |  发消息
7 楼    发表于2011-12-09 21:45:33举报|引用
返回顶部 | 快捷回复
引用 6 楼 328080056 在 2011-12-09 21:13:40 的发言:

ASCUS,建议2-3个月后复查及HPV检测


0
回复
signature
学习、学习、再学习

328080056 离线

帖子:31
粉蓝豆:0
经验:84
注册时间:2010-03-30
加关注  |  发消息
6 楼    发表于2011-12-09 21:13:40举报|引用
返回顶部 | 快捷回复

ASCUS,建议2-3个月后复查及HPV检测

0
回复
signature
生活有进有退,输什么也不能输掉心情。

jxfz1981 离线

帖子:19
粉蓝豆:45
经验:44
注册时间:2011-11-07
加关注  |  发消息
5 楼    发表于2011-12-04 00:11:28举报|引用
返回顶部 | 快捷回复
引用 4 楼 xkj2797xkj 在 2011-12-03 23:54:09 的发言:

ASC-H


能报到ASC-H?

0
回复
signature
互相学习,望多多指教

xkj2797xkj 离线

帖子:1087
粉蓝豆:1734
经验:7231
注册时间:2009-07-08
加关注  |  发消息
4 楼    发表于2011-12-03 23:54:09举报|引用
返回顶部 | 快捷回复

ASC-H

0
回复
signature

(本观点纯属本人意见!仅供参考!本人微信:13759416387)

fuyong 离线

帖子:6879
粉蓝豆:2871
经验:12692
注册时间:2008-03-10
加关注  |  发消息
3 楼    发表于2011-12-03 23:40:16举报|引用
返回顶部 | 快捷回复

LSIL

0
回复
signature
多读书,读好书

蔷薇 离线

帖子:846
粉蓝豆:40
经验:1591
注册时间:2007-06-25
加关注  |  发消息
2 楼    发表于2011-12-03 23:40:06举报|引用
返回顶部 | 快捷回复

ASCUS

0
回复
signature
超越自我,自由飞翔!

浪漫主义 离线

帖子:918
粉蓝豆:270
经验:1563
注册时间:2007-01-15
加关注  |  发消息
1 楼    发表于2011-12-03 23:29:28举报|引用
返回顶部 | 快捷回复

LSIL

0
回复
signature
风雨兼程
回复:7 阅读:2636
共1页/7条首页上一页1下一页尾页
【免责声明】讨论内容仅作学术交流之用,不作为诊疗依据,由此而引起的法律问题作者及本站不承担任何责任。
快速回复
进入高级回复
您最多可输入10000个汉字,按 "Ctrl" + "Enter" 直接发送
搜索回复/乘电梯 ×
按内容
按会员
乘电梯
合作伙伴
友情链接