共1页/17条首页上一页1下一页尾页
回复:18 阅读:4866
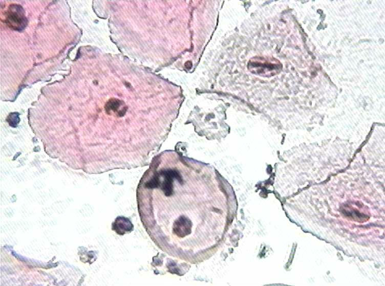
大家看看这是不是挖空细胞

jxfz1981 离线

帖子:19
粉蓝豆:45
经验:44
注册时间:2011-11-07
加关注  |  发消息
楼主 发表于 2011-12-03 22:39|举报|关注(0)
浏览排序[ 顺序 逆序 楼主 支持 精彩 ]  快捷回复

 

大家看看这是不是挖空细胞图1
名称:图1
描述:挖空1
大家看看这是不是挖空细胞图2
名称:图2
描述:挖空2
大家看看这是不是挖空细胞图3
名称:图3
描述:挖空3
大家看看这是不是挖空细胞图4
名称:图4
描述:挖空4
大家看看这是不是挖空细胞图5
名称:图5
描述:挖空5
大家看看这是不是挖空细胞图6
名称:图6
描述:挖空6
大家看看这是不是挖空细胞图7
名称:图7
描述:挖空7
大家看看这是不是挖空细胞图8
名称:图8
描述:挖空8
大家看看这是不是挖空细胞图9
名称:图9
描述:挖空9
大家看看这是不是挖空细胞图10
名称:图10
描述:挖空细胞
 
标签:挖空细胞 HPV
0
signature
互相学习,望多多指教
×参考诊断
是不是挖空细胞?一张片子里太多这样的细胞了

蔷薇 离线

帖子:846
粉蓝豆:40
经验:1591
注册时间:2007-06-25
加关注  |  发消息
1 楼    发表于2011-12-03 22:47:09举报|引用
返回顶部 | 快捷回复

不太清楚,可能是吧

0
回复
signature
超越自我,自由飞翔!

jxfz1981 离线

帖子:19
粉蓝豆:45
经验:44
注册时间:2011-11-07
加关注  |  发消息
2 楼    发表于2011-12-03 22:54:01举报|引用
返回顶部 | 快捷回复

 这一张片子里太多这样的细胞了,但临床上又没发现有这种症状

0
回复
signature
互相学习,望多多指教

3673566 离线

帖子:1879
粉蓝豆:74
经验:3305
注册时间:2006-10-29
加关注  |  发消息
3 楼    发表于2011-12-03 22:56:22举报|引用
返回顶部 | 快捷回复

可以结合HPV基因分型确定。

0
回复

jxfz1981 离线

帖子:19
粉蓝豆:45
经验:44
注册时间:2011-11-07
加关注  |  发消息
4 楼    发表于2011-12-03 22:58:26举报|引用
返回顶部 | 快捷回复

会不会有一些其它的因素造成整张片这么多的挖空细胞?

 

0
回复
signature
互相学习,望多多指教

apple89 离线

帖子:452
粉蓝豆:862
经验:1633
注册时间:2007-07-01
加关注  |  发消息
5 楼    发表于2011-12-03 23:01:52举报|引用
返回顶部 | 快捷回复

 从我觉得不像,核周空晕不够透亮,另外,感觉这个片子怪怪 ,像没有封片的样子。

0
回复
signature

2023心想事成!

jxfz1981 离线

帖子:19
粉蓝豆:45
经验:44
注册时间:2011-11-07
加关注  |  发消息
6 楼    发表于2011-12-03 23:17:02举报|引用
返回顶部 | 快捷回复

真是高手,是没有封片,

0
回复
signature
互相学习,望多多指教

张椽 离线

帖子:119
粉蓝豆:38
经验:182
注册时间:2011-05-24
加关注  |  发消息
7 楼    发表于2011-12-09 21:47:15举报|引用
返回顶部 | 快捷回复
引用 5 楼 apple89 在 2011-12-03 23:01:52 的发言:

 从我觉得不像,核周空晕不够透亮,另外,感觉这个片子怪怪 ,像没有封片的样子。


1

流浪de鸽..
回复
signature
学习、学习、再学习

lishufeng7 离线

帖子:137
粉蓝豆:46
经验:708
注册时间:2011-09-08
加关注  |  发消息
8 楼    发表于2011-12-12 19:58:01举报|引用
返回顶部 | 快捷回复

老年人的细胞经常有类似挖空的细胞,感觉挖空的面积太大,而且细胞核也没多大异性表现。

0
回复
signature
享受生活

新学生 离线

帖子:60
粉蓝豆:1
经验:84
注册时间:2008-08-26
加关注  |  发消息
9 楼    发表于2011-12-23 18:56:04举报|引用
返回顶部 | 快捷回复

可以重新透明后再封片观察。根据细胞形态看有点像

0
回复

heroy 离线

帖子:405
粉蓝豆:86
经验:5653
注册时间:2010-01-19
加关注  |  发消息
10 楼    发表于2011-12-24 23:33:29举报|引用
返回顶部 | 快捷回复

http://www.ipathology.cn/channel/detail/name/bbs/article/391429.html 这是清香情浓老师给大家看清挖空细胞的图集

0
回复
signature
既然岁月无情,又何必虚度青春,像个爷们儿一样战斗吧!

勇敢一点 离线

帖子:59
粉蓝豆:5
经验:173
注册时间:2009-04-01
加关注  |  发消息
11 楼    发表于2011-12-29 21:13:18举报|引用
返回顶部 | 快捷回复

个人观点:不是挖空细胞。没有见到异型细胞核。

备注:这只是个人看法,还有待老师给出正确答案。

0
回复
signature
真正的美玉总是存在瑕点,哪怕是极其微小的;只有赝品才美得让人无可挑剔.

蒲公英76 离线

帖子:27
粉蓝豆:277
经验:460
注册时间:2011-09-05
加关注  |  发消息
12 楼    发表于2012-02-11 20:37:25举报|引用
返回顶部 | 快捷回复

制片太差

 

0
回复
signature
工欲善其事,必先利其器

锤峰 离线

帖子:2692
粉蓝豆:32
经验:3545
注册时间:2008-07-07
加关注  |  发消息
13 楼    发表于2012-07-03 15:14:42举报|引用
返回顶部 | 快捷回复

从我觉得不像,核周空晕不够透亮。

0
回复

sdhong_mei 离线

帖子:92
粉蓝豆:8
经验:565
注册时间:2012-08-01
加关注  |  发消息
14 楼    发表于2012-09-13 14:48:59举报|引用
返回顶部 | 快捷回复

图3和图5可能是控空细胞,其余细胞核小了点,边缘胞浆深染处可能是卷折造成的。

0
回复

骄阳如歌 离线

帖子:1138
粉蓝豆:12
经验:1531
注册时间:2009-12-13
加关注  |  发消息
15 楼    发表于2012-09-13 14:55:29举报|引用
返回顶部 | 快捷回复

不是挖空细胞。典型的挖空细胞透亮如背景色,空得不规则,核有异型。

0
回复
signature
做好生活中的每一件事,永远欣赏积极向上的精神!

dacapo99010 离线

帖子:210
粉蓝豆:2
经验:2245
注册时间:2012-05-23
加关注  |  发消息
16 楼    发表于2012-10-19 13:59:07举报|引用
返回顶部 | 快捷回复

不是挖空细胞

0
回复

秋水伊人2 离线

帖子:118
粉蓝豆:44
经验:150
注册时间:2010-05-16
加关注  |  发消息
17 楼    发表于2012-10-24 20:59:10举报|引用
返回顶部 | 快捷回复

不是挖空细胞

0
收起回复
回复:18 阅读:4866
共1页/17条首页上一页1下一页尾页
【免责声明】讨论内容仅作学术交流之用,不作为诊疗依据,由此而引起的法律问题作者及本站不承担任何责任。
快速回复
进入高级回复
您最多可输入10000个汉字,按 "Ctrl" + "Enter" 直接发送
搜索回复/乘电梯 ×
按内容
按会员
乘电梯
合作伙伴
友情链接