共2页/26条首页上一页12下一页尾页
回复:26 阅读:9271
肾脏肿瘤,请教诊断!

louischen 离线

帖子:143
粉蓝豆:20
经验:166
注册时间:2007-01-31
加关注  |  发消息
楼主 发表于 2011-11-30 21:41|举报|关注(8)
浏览排序[ 顺序 逆序 楼主 支持 精彩 ]  快捷回复


性别年龄55临床诊断肾脏占位
临床症状查体发现肾脏占位
标本名称一侧肾脏全切标本
大体所见肾脏一极见直径6cm的肿块,实性,灰白灰黄色,质中。
镜下形态
原诊断意见或问题
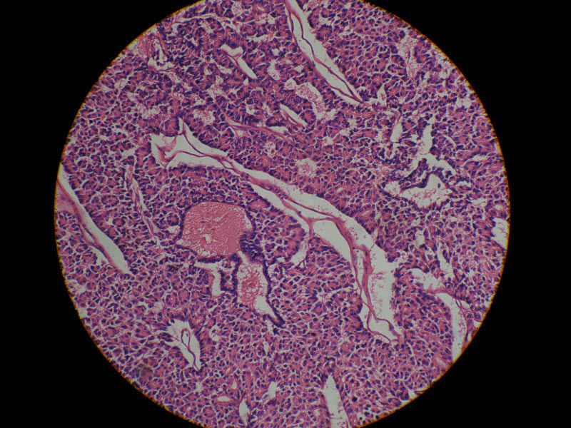
肾脏肿瘤,请教诊断!图1
名称:图1
描述:10倍
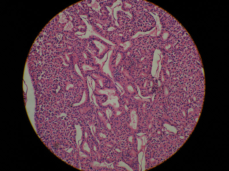
肾脏肿瘤,请教诊断!图2
名称:图2
描述:10倍
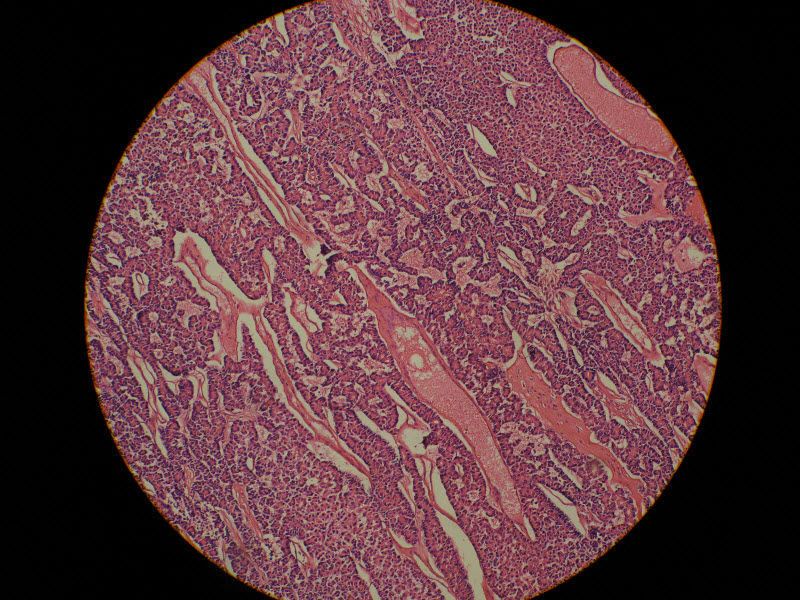
肾脏肿瘤,请教诊断!图3
名称:图3
描述:20倍
肾脏肿瘤,请教诊断!图4
名称:图4
描述:20倍
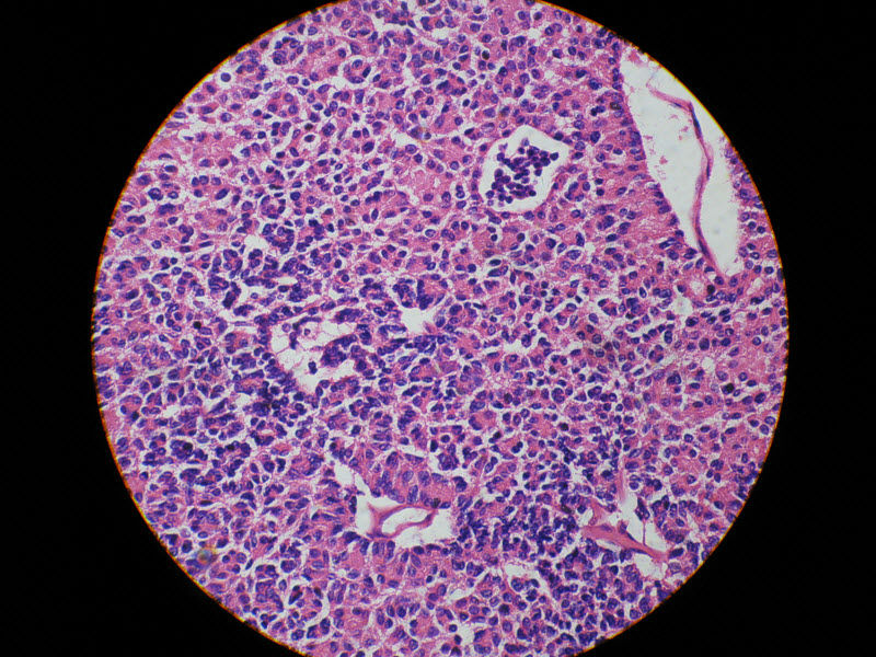
肾脏肿瘤,请教诊断!图5
名称:图5
描述:40倍
肾脏肿瘤,请教诊断!图6
名称:图6
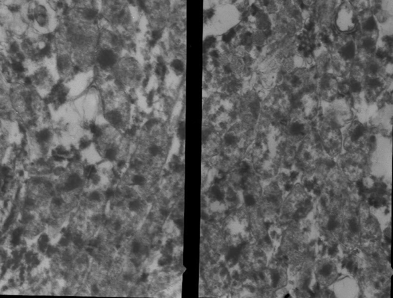
描述:胞浆中的颗粒样物质
标签:
0
添加参考诊断
×参考诊断
  

louischen 离线

帖子:143
粉蓝豆:20
经验:166
注册时间:2007-01-31
加关注  |  发消息
1 楼    发表于2011-11-30 21:43:27举报|引用
返回顶部 | 快捷回复

 免疫组化基本没什么帮助,除外CAM5.2(+),其余标记物均阴性。后来没办法就发了:肾细胞癌,未分类型。现请教大家,诊断?谢谢!

0
回复

老四 离线

帖子:153
粉蓝豆:31
经验:347
注册时间:2009-03-28
加关注  |  发消息
2 楼    发表于2011-11-30 22:17:43举报|引用
返回顶部 | 快捷回复

请问WT1和CD57做了吗?有无与正常交界处低倍图?

0
回复

louischen 离线

帖子:143
粉蓝豆:20
经验:166
注册时间:2007-01-31
加关注  |  发消息
3 楼    发表于2011-12-01 13:59:03举报|引用
返回顶部 | 快捷回复

 WT1阴性,cd57没做,做了CD56阴性。交界区域的图我再补拍几张。

1

冰上舞蹈
回复

冰上舞蹈 离线

帖子:182
粉蓝豆:4
经验:247
注册时间:2008-06-07
加关注  |  发消息
4 楼    发表于2011-12-01 14:52:30举报|引用
返回顶部 | 快捷回复

CK7,CKH,CKL.CD10,CD117结果怎样?

0
回复

白晓云 离线

帖子:300
粉蓝豆:2049
经验:1487
注册时间:2007-12-29
加关注  |  发消息
5 楼    发表于2011-12-01 15:18:04举报|引用
返回顶部 | 快捷回复

肾细胞癌。分得太清楚有必要吗?

1

高倍镜
回复

wang4160 离线

帖子:2256
粉蓝豆:16
经验:2617
注册时间:2007-01-31
加关注  |  发消息
6 楼    发表于2011-12-01 15:54:27举报|引用
返回顶部 | 快捷回复

学习一下!

0
回复

老四 离线

帖子:153
粉蓝豆:31
经验:347
注册时间:2009-03-28
加关注  |  发消息
7 楼    发表于2011-12-01 22:13:05举报|引用
返回顶部 | 快捷回复
引用 3 楼 louischen 在 2011-12-01 13:59:03 的发言:

 WT1阴性,cd57没做,做了CD56阴性。交界区域的图我再补拍几张。

再请问Syn、CgA的表达情况?

0
回复

quhong 离线

帖子:493
粉蓝豆:24
经验:953
注册时间:2009-02-22
加关注  |  发消息
8 楼    发表于2011-12-11 03:55:26举报|引用
返回顶部 | 快捷回复
本帖最后由 quhong 于 2011-12-11 04:02:00 编辑 鉴别诊断还应包括Oncocytoma.电镜照片似乎显示肿胀的线粒体并含致密体。可能是固定不佳,线粒体不太清晰。致密体不被膜包绕,所以不考虑神经内分泌颗粒。
0
回复

sxzyy 离线

帖子:282
粉蓝豆:16
经验:1088
注册时间:2006-12-11
加关注  |  发消息
9 楼    发表于2011-12-11 06:19:25举报|引用
返回顶部 | 快捷回复

  

 

后肾腺瘤

1

wzkxn
回复
signature
李守谦

shandongzhang 离线

帖子:804
粉蓝豆:506
经验:1510
注册时间:2006-09-24
加关注  |  发消息
10 楼    发表于2011-12-11 08:00:19举报|引用
返回顶部 | 快捷回复

"不典型"嗜酸细胞类癌?

0
回复

cqxxmdoc 离线

帖子:73
粉蓝豆:867
经验:507
注册时间:2007-10-09
加关注  |  发消息
11 楼    发表于2011-12-11 10:14:41举报|引用
返回顶部 | 快捷回复
本帖最后由 cqxxmdoc 于 2011-12-11 12:33:13 编辑

CK7 RCC Vim CD117 CD10 全阴性,诊断肾细胞癌证据不太够吧?

形态学首先要考虑神经内分泌肿瘤。电镜做得不理想。

神经内分泌标记一个都没有阳吗?


名称:图1
描述:典型神经内分泌颗粒的电镜照片
0
回复
signature
病理医生,加油!

emilypeaker 离线

帖子:654
粉蓝豆:1570
经验:2182
注册时间:2011-01-03
加关注  |  发消息
12 楼    发表于2011-12-11 10:19:44举报|引用
返回顶部 | 快捷回复

肿瘤包膜、界限未有详尽描述。建议楼主补充大体照片及包膜状况。本人目前不敢做肾癌的诊断。

1

sjluwfmc
回复
signature
Suffered from papillary thyroid carcinoma, then major in Endocrine tumor.

ljy1977 离线

帖子:79
粉蓝豆:9
经验:95
注册时间:2011-12-07
加关注  |  发消息
13 楼    发表于2011-12-11 11:36:04举报|引用
返回顶部 | 快捷回复

颗粒细胞肾细胞癌

0
回复

dadada 离线

帖子:276
粉蓝豆:13
经验:461
注册时间:2007-06-30
加关注  |  发消息
14 楼    发表于2011-12-11 16:20:38举报|引用
返回顶部 | 快捷回复

还是考虑为神经内分泌肿瘤,不知患者的血压有变化吗?

0
回复

白七狼 离线

帖子:29
粉蓝豆:41
经验:51
注册时间:2010-03-02
加关注  |  发消息
15 楼    发表于2011-12-11 16:48:07举报|引用
返回顶部 | 快捷回复

图片能不能多发点

0
回复

白七狼 离线

帖子:29
粉蓝豆:41
经验:51
注册时间:2010-03-02
加关注  |  发消息
16 楼    发表于2011-12-11 16:48:51举报|引用
返回顶部 | 快捷回复

还作那些相关的免疫组化

0
回复

594465 离线

帖子:169
粉蓝豆:11
经验:574
注册时间:2010-09-13
加关注  |  发消息
17 楼    发表于2011-12-11 18:06:59举报|引用
返回顶部 | 快捷回复

神经内分泌肿瘤

1

清秋
回复

haoyuliu 离线

帖子:125
粉蓝豆:112
经验:208
注册时间:2011-09-07
加关注  |  发消息
18 楼    发表于2011-12-11 20:09:00举报|引用
返回顶部 | 快捷回复

 后肾腺瘤。

0
回复

贝贝 离线

帖子:851
粉蓝豆:15
经验:1510
注册时间:2007-11-23
加关注  |  发消息
19 楼    发表于2011-12-11 20:36:17举报|引用
返回顶部 | 快捷回复

期待最后结果

0
回复

759926400 离线

帖子:250
粉蓝豆:137
经验:495
注册时间:2011-08-07
加关注  |  发消息
20 楼    发表于2011-12-13 00:54:18举报|引用
返回顶部 | 快捷回复

神经内分泌肿瘤

0
回复
回复:26 阅读:9271
共2页/26条首页上一页12下一页尾页
【免责声明】讨论内容仅作学术交流之用,不作为诊疗依据,由此而引起的法律问题作者及本站不承担任何责任。
快速回复
进入高级回复
您最多可输入10000个汉字,按 "Ctrl" + "Enter" 直接发送
搜索回复/乘电梯 ×
按内容
按会员
乘电梯
合作伙伴
友情链接