共1页/14条首页上一页1下一页尾页
回复:14 阅读:3907
这个是滤泡性癌吗

阡陌老农 离线

帖子:611
粉蓝豆:892
经验:1092
注册时间:2008-01-27
加关注  |  发消息
楼主 发表于 2011-11-30 19:20|举报|关注(1)
浏览排序[ 顺序 逆序 楼主 支持 精彩 ]  快捷回复

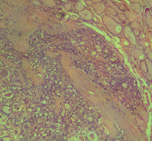
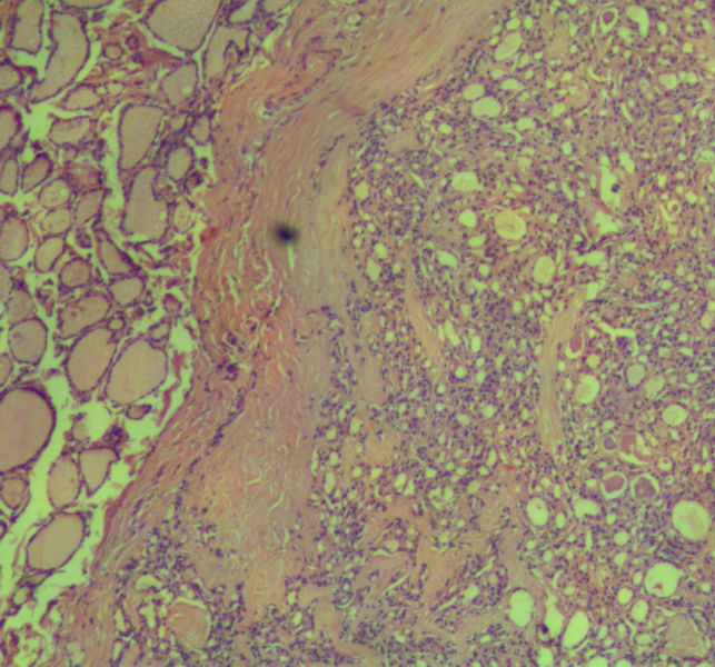
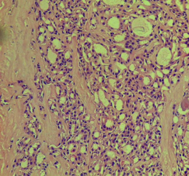
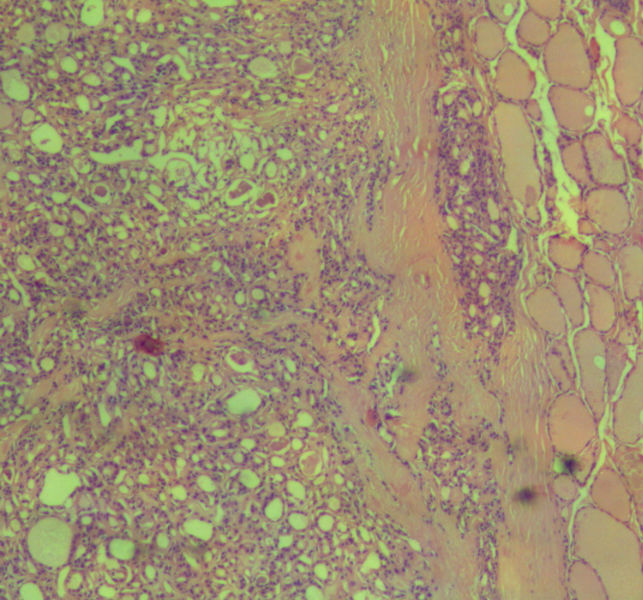
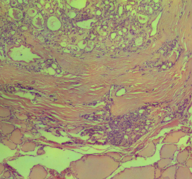
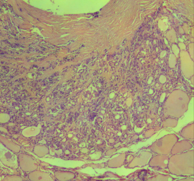
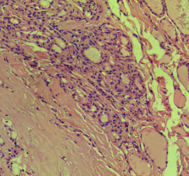
 女,45岁,体检发现颈前区一结节,术中送检甲状腺左腺叶,发现一界清结小1*0.8cm,灰黄色。术中诊断滤泡性肿瘤伴包膜累及,局部疑包膜穿破,滤泡癌可能,待石蜡报告。石蜡连续切片形态见图,可见明显包膜穿破,诊断为滤泡性癌。患者借片到上级医院会诊,结果为:包膜内滤泡癌伴包膜累及。请问有包膜内滤泡癌的提法吗?这个病例怎么诊断啊?请各位老师多指导。

  • 这个是滤泡性癌吗图1
    图1
  • 这个是滤泡性癌吗图2
    图2
  • 这个是滤泡性癌吗图3
    图3
  • 这个是滤泡性癌吗图4
    图4
  • 这个是滤泡性癌吗图5
    图5
  • 这个是滤泡性癌吗图6
    图6
  • 这个是滤泡性癌吗图7
    图7
标签:
本帖最后由 阡陌老农 于 2011-11-30 19:32:46 编辑
0
signature
离我去者,昨日之日不可留;乱我心者,今日之日多烦忧。
添加参考诊断
×参考诊断
  

长堤 离线

帖子:34
粉蓝豆:11
经验:70
注册时间:2010-01-31
加关注  |  发消息
2 楼    发表于2011-11-30 21:34:30举报|引用
返回顶部 | 快捷回复

明确的甲状腺滤泡癌。没有什么包膜内滤泡癌的说法。

1

200406
回复

hys_603 离线

帖子:716
粉蓝豆:1
经验:988
注册时间:2008-06-18
加关注  |  发消息
12 楼    发表于2012-03-03 20:49:35举报|引用
返回顶部 | 快捷回复

滤泡癌

0
回复

二土匪 离线

帖子:771
粉蓝豆:23
经验:1213
注册时间:2011-10-11
加关注  |  发消息
13 楼    发表于2012-03-03 21:19:58举报|引用
返回顶部 | 快捷回复

滤泡癌

0
回复
signature
红尘中有独处的心,独处时有红尘的怀抱。

yichvqs 离线

帖子:234
粉蓝豆:233
经验:796
注册时间:2011-02-17
加关注  |  发消息
6 楼    发表于2011-12-01 21:03:33举报|引用
返回顶部 | 快捷回复

滤泡癌

0
回复

happyxl 离线

帖子:65
粉蓝豆:6
经验:265
注册时间:2011-11-23
加关注  |  发消息
3 楼    发表于2011-12-01 15:14:52举报|引用
返回顶部 | 快捷回复

滤泡癌,没问题。

0
回复
signature
Pathologist is doctor's doctor.

haozhaoxing 离线

帖子:769
粉蓝豆:51
经验:1503
注册时间:2010-03-14
加关注  |  发消息
4 楼    发表于2011-12-01 15:22:11举报|引用
返回顶部 | 快捷回复

滤泡癌

0
回复
signature

厚积薄发

浪漫主义 离线

帖子:918
粉蓝豆:270
经验:1563
注册时间:2007-01-15
加关注  |  发消息
1 楼    发表于2011-11-30 20:44:02举报|引用
返回顶部 | 快捷回复

 滤泡癌

0
回复
signature
风雨兼程

ahhbhzlin 离线

帖子:3090
粉蓝豆:50
经验:11826
注册时间:2008-07-24
加关注  |  发消息
14 楼    发表于2012-03-03 23:27:03举报|引用
返回顶部 | 快捷回复

滤泡癌,他们可能指包膜浸润,但未到包膜外的意思

0
回复

liguoxia71 离线

帖子:4174
粉蓝豆:3122
经验:4677
注册时间:2007-04-01
加关注  |  发消息
5 楼    发表于2011-12-01 16:43:38举报|引用
返回顶部 | 快捷回复

甲状腺滤泡癌确实分2型:浸润型包膜不完整,明显浸润周围甲状腺组织;包裹性血管浸润型有包膜,但有血管或包膜浸润。

本例包膜不完整,应该是滤泡癌。

0
回复
signature
三人行,必有我师焉,择其善者而从之,其不善者而改之。

zxjorchid 离线

帖子:4
粉蓝豆:1
经验:4
注册时间:2009-09-16
加关注  |  发消息
7 楼    发表于2011-12-22 19:16:21举报|引用
返回顶部 | 快捷回复

同意滤泡癌。

0
回复

duhua 离线

帖子:1206
粉蓝豆:152
经验:1738
注册时间:2008-08-19
加关注  |  发消息
11 楼    发表于2011-12-28 20:57:04举报|引用
返回顶部 | 快捷回复

滤泡癌

0
回复

wangyanj 离线

帖子:1170
粉蓝豆:2
经验:1813
注册时间:2010-09-08
加关注  |  发消息
9 楼    发表于2011-12-23 14:36:17举报|引用
返回顶部 | 快捷回复

支持包膜内滤泡癌

0
回复

charles 离线

帖子:220
粉蓝豆:3
经验:1949
注册时间:2011-01-21
加关注  |  发消息
10 楼    发表于2011-12-23 14:40:13举报|引用
返回顶部 | 快捷回复

滤泡癌

0
回复

夏日 离线

帖子:1057
粉蓝豆:45
经验:1529
注册时间:2011-04-05
加关注  |  发消息
8 楼    发表于2011-12-22 20:09:46举报|引用
返回顶部 | 快捷回复

滤泡癌

0
回复
回复:14 阅读:3907
共1页/14条首页上一页1下一页尾页
【免责声明】讨论内容仅作学术交流之用,不作为诊疗依据,由此而引起的法律问题作者及本站不承担任何责任。
快速回复
进入高级回复
您最多可输入10000个汉字,按 "Ctrl" + "Enter" 直接发送
搜索回复/乘电梯 ×
按内容
按会员
乘电梯
合作伙伴
友情链接