共1页/12条首页上一页1下一页尾页
回复:12 阅读:3914
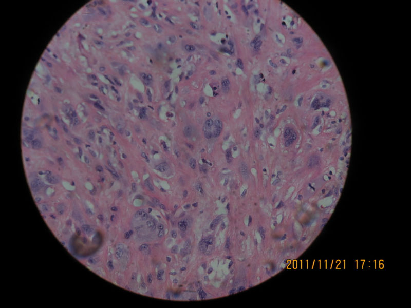
男性,82岁,声带肿物

stone5300 离线

帖子:87
粉蓝豆:43
经验:127
注册时间:2008-11-04
加关注  |  发消息
楼主 发表于 2011-11-28 21:33|举报|关注(2)
浏览排序[ 顺序 逆序 楼主 支持 精彩 ]  快捷回复
  • 男性,82岁,声带肿物图1
    图1
  • 男性,82岁,声带肿物图2
    图2
  • 男性,82岁,声带肿物图3
    图3
  • 男性,82岁,声带肿物图4
    图4
  • 男性,82岁,声带肿物图5
    图5
  • 男性,82岁,声带肿物图6
    图6
  • 男性,82岁,声带肿物图7
    图7
  • 男性,82岁,声带肿物图8
    图8
  • 男性,82岁,声带肿物图9
    图9
  • 男性,82岁,声带肿物图10
    图10
  • 男性,82岁,声带肿物图11
    图11
  • 男性,82岁,声带肿物图12
    图12
  • 男性,82岁,声带肿物图13
    图13

 

标签:
0
添加参考诊断
×参考诊断
  

病理020 离线

帖子:1344
粉蓝豆:5610
经验:1814
注册时间:2011-10-02
加关注  |  发消息
1 楼    发表于2011-11-28 21:41:51举报|引用
返回顶部 | 快捷回复

粘膜下可见怪异的细胞,仍是息肉。

0
回复
signature
邓学田

linyguo 离线

帖子:2365
粉蓝豆:43
经验:2514
注册时间:2009-08-09
加关注  |  发消息
2 楼    发表于2011-11-28 21:47:40举报|引用
返回顶部 | 快捷回复
本帖最后由 linyguo 于 2011-11-28 21:53:05 编辑

肿瘤大小?肉瘤样癌,恶黑,横纹肌肉瘤,滑膜肉瘤等也需要鉴别

0
回复

有福不在忙 离线

帖子:2161
粉蓝豆:42
经验:3448
注册时间:2008-11-22
加关注  |  发消息
3 楼    发表于2011-11-28 22:07:29举报|引用
返回顶部 | 快捷回复

息肉。在声带息肉中容易见到这种怪异细胞,不要过诊断为恶性,让随访观察吧。

1

zorrokp
回复
signature
有福不在忙

3673566 离线

帖子:1879
粉蓝豆:74
经验:3305
注册时间:2006-10-29
加关注  |  发消息
4 楼    发表于2011-11-28 22:20:38举报|引用
返回顶部 | 快捷回复

临床病史很重要,喉镜下肿瘤大小及肉眼观?

1

200406
回复

泉水叮咚响 离线

帖子:2163
粉蓝豆:113
经验:11663
注册时间:2010-12-30
加关注  |  发消息
5 楼    发表于2011-11-28 22:53:12举报|引用
返回顶部 | 快捷回复

 感觉很安静,考虑良性。

0
回复
signature
刀不磨会生锈,人不学习会落后。

一了 离线

帖子:2138
粉蓝豆:64
经验:2288
注册时间:2009-03-31
加关注  |  发消息
6 楼    发表于2011-12-03 18:42:53举报|引用
返回顶部 | 快捷回复

息肉

0
回复

stone5300 离线

帖子:87
粉蓝豆:43
经验:127
注册时间:2008-11-04
加关注  |  发消息
7 楼    发表于2011-12-06 21:38:12举报|引用
返回顶部 | 快捷回复
结合免疫组化结果最后诊断为恶性纤维组织细胞瘤
0
回复

zhshch 离线

帖子:544
粉蓝豆:10
经验:2252
注册时间:2008-09-19
加关注  |  发消息
8 楼    发表于2011-12-06 22:44:55举报|引用
返回顶部 | 快捷回复

诊断恶性纤维组织细胞瘤可以的。那么异型的细胞,息肉不放心。

 

0
回复

蝴蝶兰dali2003 离线

帖子:12511
粉蓝豆:2448
经验:13080
注册时间:2009-09-06
加关注  |  发消息
9 楼    发表于2011-12-06 22:49:03举报|引用
返回顶部 | 快捷回复

是恶纤组啊?我还考虑血管源性肿瘤呢。

0
回复
signature
相逢是首歌,同行是你和我。

刀尖上的舞者 离线

帖子:1763
粉蓝豆:87
经验:3356
注册时间:2010-12-14
加关注  |  发消息
10 楼    发表于2011-12-06 22:50:29举报|引用
返回顶部 | 快捷回复

学习了,开阔了视野

0
回复

广秀 离线

帖子:2711
粉蓝豆:1246
经验:3502
注册时间:2009-09-15
加关注  |  发消息
11 楼    发表于2011-12-08 19:22:36举报|引用
返回顶部 | 快捷回复

学习,黏膜下见多形性和异形性明显的细胞弥漫分布,核分裂可见,并见凋亡细胞,首先考虑肉瘤样癌,非典型黄色瘤要考虑,当然组化帮助了我们,临床病史及喉镜检查情况是我们要搜寻的信息。

0
回复
signature
人淡如菊,心素如简。

尹儿 离线

帖子:94
粉蓝豆:2290
经验:169
注册时间:2010-04-19
加关注  |  发消息
12 楼    发表于2011-12-08 19:31:27举报|引用
返回顶部 | 快捷回复

息肉,建议随访。

0
回复
回复:12 阅读:3914
共1页/12条首页上一页1下一页尾页
【免责声明】讨论内容仅作学术交流之用,不作为诊疗依据,由此而引起的法律问题作者及本站不承担任何责任。
快速回复
进入高级回复
您最多可输入10000个汉字,按 "Ctrl" + "Enter" 直接发送
搜索回复/乘电梯 ×
按内容
按会员
乘电梯
合作伙伴
友情链接