共1页/4条首页上一页1下一页尾页
回复:4 阅读:1946
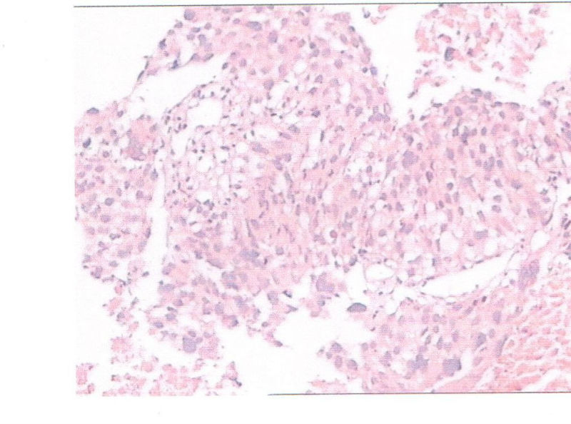
看看是鳞癌还是腺癌,或是小细胞癌?

fanshl 离线

帖子:1
粉蓝豆:1
经验:1
注册时间:2011-11-28
加关注  |  发消息
楼主 发表于 2011-11-28 09:46|举报|关注(1)
浏览排序[ 顺序 逆序 楼主 支持 精彩 ]  快捷回复
    • 图1
      • 看看是鳞癌还是腺癌,或是小细胞癌?图1
        图1
  • 图1
    • 看看是鳞癌还是腺癌,或是小细胞癌?图2
      图1

 

标签:
0
×参考诊断
病理诊断鳞癌

病理020 离线

帖子:1344
粉蓝豆:5580
经验:1814
注册时间:2011-10-02
加关注  |  发消息
1 楼    发表于2011-11-28 13:54:56举报|引用
返回顶部 | 快捷回复

少量表浅的黏膜细胞异型性明显,极向紊乱,诊断原位鳞癌(未见粘膜下间质,不出外浸润癌的可能性)。

1

杨宝军
回复
signature
邓学田

wang4160 离线

帖子:2256
粉蓝豆:16
经验:2617
注册时间:2007-01-31
加关注  |  发消息
2 楼    发表于2011-12-01 11:53:00举报|引用
返回顶部 | 快捷回复

癌没有问题,复切一下,看有没有浸润

0
回复

zsg010281 离线

帖子:228
粉蓝豆:2
经验:246
注册时间:2011-06-19
加关注  |  发消息
3 楼    发表于2011-12-06 12:16:01举报|引用
返回顶部 | 快捷回复

少量表浅的黏膜细胞异型性明显,极向紊乱,诊断原位鳞癌

0
回复
signature
与世无争,延年益寿。

低头看路 离线

帖子:142
粉蓝豆:1892
经验:396
注册时间:2009-08-18
加关注  |  发消息
4 楼    发表于2011-12-11 12:36:44举报|引用
返回顶部 | 快捷回复

分化差的非小细胞癌,首先考虑为鳞状细胞癌。应该重新制片染色。

0
回复
signature

Michael

回复:4 阅读:1946
共1页/4条首页上一页1下一页尾页
【免责声明】讨论内容仅作学术交流之用,不作为诊疗依据,由此而引起的法律问题作者及本站不承担任何责任。
快速回复
进入高级回复
您最多可输入10000个汉字,按 "Ctrl" + "Enter" 直接发送
搜索回复/乘电梯 ×
按内容
按会员
乘电梯
合作伙伴
友情链接