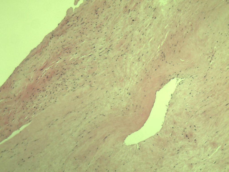
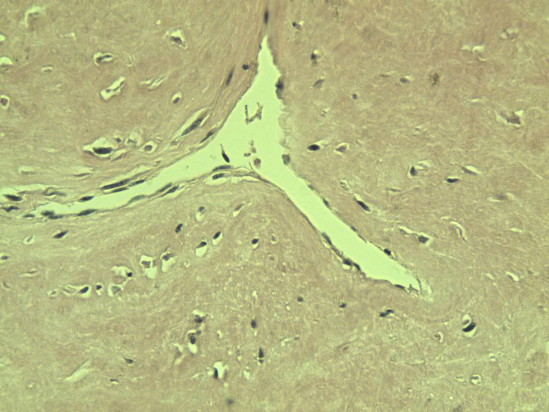
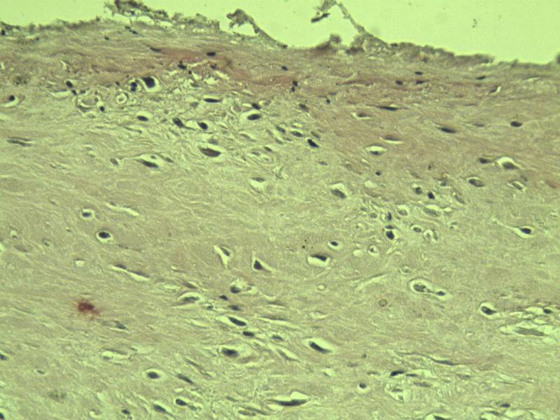
男,51岁, 4月前患者无意中发现右腘窝一包块,约核仁大小无疼痛, 4月来包块进行性生长
灰褐类圆形包块一个,直径 5 cm,切面灰白,实性,编织状。 请各位老师看看 是什么? 谢谢!

名称:图1
描述:a311.Jpg

名称:图2
描述:a312.Jpg

名称:图3
描述:a313.Jpg

名称:图4
描述:a314.Jpg

名称:图5
描述:a315.Jpg

名称:图6
描述:a316.Jpg

名称:图7
描述:a317.Jpg

名称:图8
描述:a318.Jpg

名称:图9
描述:a319.Jpg

名称:图10
描述:a320.Jpg

名称:图11
描述:a321.Jpg

名称:图12
描述:a322.Jpg

名称:图13
描述:a324.Jpg

名称:图14
描述:a325.Jpg

名称:图15
描述:a326.Jpg

名称:图16
描述:a327.Jpg

名称:图17
描述:a328.Jpg

名称:图18
描述:a329.Jpg

名称:图19
描述:a330.Jpg
男,51岁, 4月前患者无意中发现右腘窝一包块,约核仁大小无疼痛, 4月来包块进行性生长
灰褐类圆形包块一个,直径 5 cm,切面灰白,实性,编织状。 请各位老师看看 是什么? 谢谢!

名称:图1
描述:a311.Jpg

名称:图2
描述:a312.Jpg

名称:图3
描述:a313.Jpg

名称:图4
描述:a314.Jpg

名称:图5
描述:a315.Jpg

名称:图6
描述:a316.Jpg

名称:图7
描述:a317.Jpg

名称:图8
描述:a318.Jpg

名称:图9
描述:a319.Jpg

名称:图10
描述:a320.Jpg

名称:图11
描述:a321.Jpg

名称:图12
描述:a322.Jpg

名称:图13
描述:a324.Jpg

名称:图14
描述:a325.Jpg

名称:图15
描述:a326.Jpg

名称:图16
描述:a327.Jpg

名称:图17
描述:a328.Jpg

名称:图18
描述:a329.Jpg

名称:图19
描述:a330.Jpg