共1页/3条首页上一页1下一页尾页
回复:3 阅读:2441
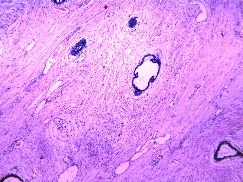
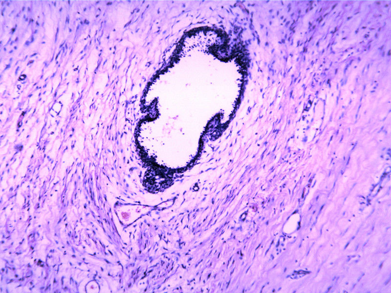
包块-无包膜(V4x3x3,79Y)

96298 离线

帖子:421
粉蓝豆:19
经验:423
注册时间:2009-03-08
加关注  |  发消息
楼主 发表于 2011-11-24 17:18|举报|关注(2)
浏览排序[ 顺序 逆序 楼主 支持 精彩 ]  快捷回复
  • 包块-无包膜(V4x3x3,79Y)图1
    图1
  • 包块-无包膜(V4x3x3,79Y)图2
    图2
  • 包块-无包膜(V4x3x3,79Y)图3
    图3
  • 包块-无包膜(V4x3x3,79Y)图4
    图4

 

标签:V4x3x3 79Y
本帖最后由 96298 于 2011-11-24 17:21:40 编辑
0
添加参考诊断
×参考诊断
  

笃行者 离线

帖子:2689
粉蓝豆:59
经验:3020
注册时间:2006-10-04
加关注  |  发消息
1 楼    发表于2011-11-24 18:39:14举报|引用
返回顶部 | 快捷回复

4x3x3(cm?)的包块应该多取几块,“多取材”是解决疑难病例的办法之一。

 

0
回复
signature
博学之,审问之,慎思之,明辨之,笃行之。

cqzhao 离线

帖子:5518
粉蓝豆:1071
经验:5755
注册时间:2008-09-29
加关注  |  发消息
2 楼    发表于2011-11-25 13:34:48举报|引用
返回顶部 | 快捷回复

So far like a benign lesion. FA?

0
回复

cqzhao 离线

帖子:5518
粉蓝豆:1071
经验:5755
注册时间:2008-09-29
加关注  |  发消息
3 楼    发表于2011-11-25 13:35:02举报|引用
返回顶部 | 快捷回复
引用 1 楼 笃行者 在 2011-11-24 18:39:14 的发言:

4x3x3(cm?)的包块应该多取几块,“多取材”是解决疑难病例的办法之一。

 


Agree

0
回复
回复:3 阅读:2441
共1页/3条首页上一页1下一页尾页
【免责声明】讨论内容仅作学术交流之用,不作为诊疗依据,由此而引起的法律问题作者及本站不承担任何责任。
快速回复
进入高级回复
您最多可输入10000个汉字,按 "Ctrl" + "Enter" 直接发送
搜索回复/乘电梯 ×
按内容
按会员
乘电梯
合作伙伴
友情链接