共1页/16条首页上一页1下一页尾页
回复:16 阅读:3463
面部包块

yy369yy 离线

帖子:321
粉蓝豆:27
经验:1131
注册时间:2009-12-18
加关注  |  发消息
楼主 发表于 2011-11-22 18:41|举报|关注(1)
浏览排序[ 顺序 逆序 楼主 支持 精彩 ]  快捷回复
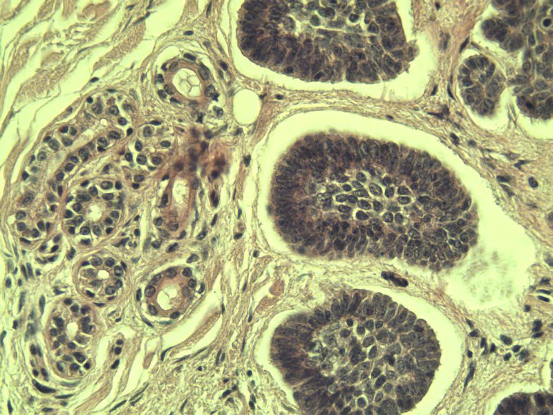
女 67岁 临床考虑面部色素痣 1*0.8 cm  请问各位老师 这是什么? 谢谢!面部包块图1
名称:图1
描述:a292.Jpg
面部包块图2
名称:图2
描述:a293.Jpg
面部包块图3
名称:图3
描述:a294.Jpg
面部包块图4
名称:图4
描述:a295.Jpg
面部包块图5
名称:图5
描述:a296.Jpg
面部包块图6
名称:图6
描述:a297.Jpg
面部包块图7
名称:图7
描述:a298.Jpg
面部包块图8
名称:图8
描述:a299.Jpg
面部包块图9
名称:图9
描述:a300.Jpg
面部包块图10
名称:图10
描述:a301.Jpg
面部包块图11
名称:图11
描述:a302.Jpg
面部包块图12
名称:图12
描述:a303.Jpg
面部包块图13
名称:图13
描述:a304.Jpg
面部包块图14
名称:图14
描述:a305.Jpg
面部包块图15
名称:图15
描述:a306.Jpg
面部包块图16
名称:图16
描述:a307.Jpg
面部包块图17
名称:图17
描述:a308.Jpg
面部包块图18
名称:图18
描述:a309.Jpg
面部包块图19
名称:图19
描述:a310.Jpg

 

标签:
0
添加参考诊断
×参考诊断
  

zhouquan 离线

帖子:7752
粉蓝豆:302
经验:8263
注册时间:2008-11-09
加关注  |  发消息
1 楼    发表于2011-11-22 18:48:20举报|引用
返回顶部 | 快捷回复
本帖最后由 zhouquan 于 2011-11-22 18:52:14 编辑

毛母/发细胞瘤鉴别基底细胞癌,可做CD10,CK7,CK20鉴别

0
回复
signature
成功不是得到多少东西,而是把身上多余的东西的扔掉多少。   

hansonnameliu 离线

帖子:347
粉蓝豆:9
经验:1051
注册时间:2011-05-26
加关注  |  发消息
2 楼    发表于2011-11-22 18:48:36举报|引用
返回顶部 | 快捷回复

基底细胞癌。

0
回复

yy369yy 离线

帖子:321
粉蓝豆:27
经验:1131
注册时间:2009-12-18
加关注  |  发消息
3 楼    发表于2011-11-22 18:48:56举报|引用
返回顶部 | 快捷回复
这是另外一个  75岁 男性 脸上有一直径0.8cm新生物 是鳞癌吗? 感觉细胞异型性不够大.
名称:图1
描述:a271.Jpg

名称:图2
描述:a272.Jpg

名称:图3
描述:a273.Jpg

名称:图4
描述:a274.Jpg

名称:图5
描述:a275.Jpg

名称:图6
描述:a276.Jpg

名称:图7
描述:a277.Jpg

名称:图8
描述:a278.Jpg

名称:图9
描述:a279.Jpg

名称:图10
描述:a280.Jpg

名称:图11
描述:a281.Jpg

名称:图12
描述:a282.Jpg

名称:图13
描述:a283.Jpg

名称:图14
描述:a284.Jpg

名称:图15
描述:a285.Jpg

名称:图16
描述:a286.Jpg

名称:图17
描述:a287.Jpg

名称:图18
描述:a288.Jpg

名称:图19
描述:a289.Jpg

名称:图20
描述:a290.Jpg

名称:图21
描述:a291.Jpg

 

0
回复

gw2009 在线

帖子:102
粉蓝豆:144
经验:338
注册时间:2009-08-26
加关注  |  发消息
4 楼    发表于2011-11-22 19:27:20举报|引用
返回顶部 | 快捷回复

考虑毛发上皮瘤,需除外基底细胞癌。

1

亡羊补牢
回复

格格巫 离线

帖子:83
粉蓝豆:1
经验:95
注册时间:2011-03-20
加关注  |  发消息
5 楼    发表于2011-11-22 19:41:21举报|引用
返回顶部 | 快捷回复

我支持基底细胞癌(色素型)。

0
回复
signature
走好自己的路。

duhua 离线

帖子:1206
粉蓝豆:152
经验:1738
注册时间:2008-08-19
加关注  |  发消息
6 楼    发表于2011-11-22 19:46:44举报|引用
返回顶部 | 快捷回复

毛发上皮瘤,需与基底细胞癌鉴别

0
回复

hanyuxie 离线

帖子:43
粉蓝豆:41
经验:59
注册时间:2009-06-21
加关注  |  发消息
7 楼    发表于2011-11-22 19:50:46举报|引用
返回顶部 | 快捷回复

第一例:毛发上皮瘤

第二例:基底细胞癌

1

zhouquan
回复

向您学习 离线

帖子:918
粉蓝豆:379
经验:3872
注册时间:2006-10-25
加关注  |  发消息
8 楼    发表于2011-11-22 19:54:04举报|引用
返回顶部 | 快捷回复

第一例:毛发上皮瘤,与基底细胞瘤区别明显。

第二例,两种成分,1、毛发上皮瘤;2、皮内痣。

0
回复
signature
三人行,必有我师焉,择其善者而从之,择其不善者而改之。

ryb7 离线

帖子:189
粉蓝豆:3
经验:517
注册时间:2009-05-12
加关注  |  发消息
9 楼    发表于2011-11-22 20:00:26举报|引用
返回顶部 | 快捷回复

第一例  毛发上皮瘤,和基底细胞癌鉴别一下

0
回复

一棵小草 离线

帖子:5101
粉蓝豆:12
经验:7184
注册时间:2008-07-07
加关注  |  发消息
10 楼    发表于2011-11-22 20:38:03举报|引用
返回顶部 | 快捷回复

第一例考虑毛母细胞瘤,第二例考虑基底细胞癌。

1

亡羊补牢
回复

未知陨石 离线

帖子:479
粉蓝豆:13
经验:559
注册时间:2010-09-11
加关注  |  发消息
11 楼    发表于2011-11-22 20:57:50举报|引用
返回顶部 | 快捷回复

 毛母细胞瘤

0
回复
signature

骄阳如歌 离线

帖子:1138
粉蓝豆:12
经验:1531
注册时间:2009-12-13
加关注  |  发消息
12 楼    发表于2011-11-22 21:46:21举报|引用
返回顶部 | 快捷回复

第一例:毛母细胞瘤;第二例:基底细胞癌

 

0
回复
signature
做好生活中的每一件事,永远欣赏积极向上的精神!

马修 离线

帖子:5
粉蓝豆:1
经验:5
注册时间:2010-03-01
加关注  |  发消息
13 楼    发表于2011-11-22 21:47:41举报|引用
返回顶部 | 快捷回复

第一例,毛发上皮瘤;第二例,基底细胞癌。

0
回复

感觉 离线

帖子:231
粉蓝豆:9
经验:934
注册时间:2010-04-07
加关注  |  发消息
14 楼    发表于2011-11-22 22:42:05举报|引用
返回顶部 | 快捷回复

1.BCC.  2.BCC.

0
回复

wcq321 离线

帖子:667
粉蓝豆:36
经验:1163
注册时间:2008-06-27
加关注  |  发消息
15 楼    发表于2011-11-22 22:55:19举报|引用
返回顶部 | 快捷回复

一毛发上皮瘤

二基底细胞癌。

0
回复

ziranse 离线

帖子:165
粉蓝豆:31
经验:182
注册时间:2010-12-22
加关注  |  发消息
16 楼    发表于2011-11-23 20:51:55举报|引用
返回顶部 | 快捷回复

    两例均为BCC

0
回复
回复:16 阅读:3463
共1页/16条首页上一页1下一页尾页
【免责声明】讨论内容仅作学术交流之用,不作为诊疗依据,由此而引起的法律问题作者及本站不承担任何责任。
快速回复
进入高级回复
您最多可输入10000个汉字,按 "Ctrl" + "Enter" 直接发送
搜索回复/乘电梯 ×
按内容
按会员
乘电梯
合作伙伴
友情链接