共1页/12条首页上一页1下一页尾页
回复:12 阅读:4248
宫颈TCT,未知细胞求解?

jinhaiying 离线

帖子:33
粉蓝豆:315
经验:40
注册时间:2010-10-31
加关注  |  发消息
楼主 发表于 2011-11-21 09:41|举报|关注(3)
浏览排序[ 顺序 逆序 楼主 支持 精彩 ]  快捷回复
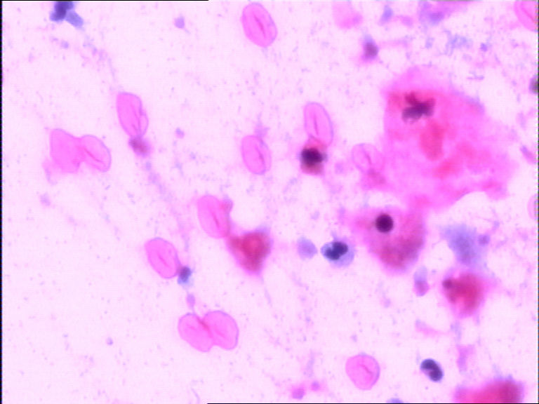
患者女38岁,宫颈TCT,巴氏染色。镜下有许多小细胞,胞膜较厚,胞浆较空,核呈长杆状。考虑是不是生物制品。求教各位老师。

  • 宫颈TCT,未知细胞求解?图1
    图1
  • 宫颈TCT,未知细胞求解?图2
    图2
  • 宫颈TCT,未知细胞求解?图3
    图3
  • 宫颈TCT,未知细胞求解?图4
    图4
  • 宫颈TCT,未知细胞求解?图5
    图5
  • 宫颈TCT,未知细胞求解?图6
    图6
标签:
0
添加参考诊断
×参考诊断
  

gwls0008 离线

帖子:1365
粉蓝豆:5
经验:1465
注册时间:2008-08-24
加关注  |  发消息
1 楼    发表于2011-11-21 17:51:46举报|引用
返回顶部 | 快捷回复

感觉像未溶解的红细胞啊。

3

www81091..

信江仙

清澜
回复

bullss 离线

帖子:142
粉蓝豆:1
经验:178
注册时间:2011-11-21
加关注  |  发消息
2 楼    发表于2011-11-21 17:59:30举报|引用
返回顶部 | 快捷回复

未溶解的红细胞

0
回复

abc666 离线

帖子:295
粉蓝豆:5
经验:304
注册时间:2008-04-06
加关注  |  发消息
3 楼    发表于2011-11-21 18:41:05举报|引用
返回顶部 | 快捷回复

很好的一个病例,以前在纤支镜检中遇到过,抗酸染色出来很象结核。

0
回复

berrychen 离线

帖子:30
粉蓝豆:1
经验:67
注册时间:2011-06-04
加关注  |  发消息
4 楼    发表于2011-11-21 19:57:09举报|引用
返回顶部 | 快捷回复

花粉孢子

0
回复

hf9669 离线

帖子:183
粉蓝豆:34
经验:910
注册时间:2010-12-02
加关注  |  发消息
5 楼    发表于2011-11-21 20:09:54举报|引用
返回顶部 | 快捷回复

看大小形态是RBC

0
回复

巴山夜雨涨秋池 离线

帖子:12152
粉蓝豆:77
经验:12941
注册时间:2009-01-25
加关注  |  发消息
6 楼    发表于2011-11-21 21:49:44举报|引用
返回顶部 | 快捷回复

不知是否有滴虫.当然我说的滴虫不是楼主要关心的东东.楼主要关心的东东多半不是红细胞,是什么较难说,不除外结晶.

1

200406
回复
signature

body>h1>span>...................This signature is very handsome.

xkj2797xkj 离线

帖子:1087
粉蓝豆:1734
经验:7231
注册时间:2009-07-08
加关注  |  发消息
7 楼    发表于2011-11-21 21:53:34举报|引用
返回顶部 | 快捷回复

肯定不是红细胞,也不是未溶解的红细胞!是什么就有点不好说!

1

jani
回复
signature

(本观点纯属本人意见!仅供参考!本人微信:13759416387)

zwx 离线

帖子:3
粉蓝豆:1
经验:14
注册时间:2011-08-14
加关注  |  发消息
8 楼    发表于2011-11-21 22:07:49举报|引用
返回顶部 | 快捷回复

外用植物药后,残留植物成分。

0
回复

巴山夜雨涨秋池 离线

帖子:12152
粉蓝豆:77
经验:12941
注册时间:2009-01-25
加关注  |  发消息
9 楼    发表于2011-11-22 20:06:57举报|引用
返回顶部 | 快捷回复

楼主问一下临床,有滴虫吗?

0
回复
signature

body>h1>span>...................This signature is very handsome.

13916958 离线

帖子:56
粉蓝豆:1
经验:182
注册时间:2011-10-15
加关注  |  发消息
10 楼    发表于2011-11-22 23:31:53举报|引用
返回顶部 | 快捷回复

我觉的是结晶的可能性比较大

0
回复
signature
浮萍漂泊本无根,天涯游子君莫问

wln 离线

帖子:30
粉蓝豆:10
经验:91
注册时间:2011-11-09
加关注  |  发消息
11 楼    发表于2011-12-12 14:55:10举报|引用
返回顶部 | 快捷回复

询问下患者的病史吧,及有无用药治疗

0
回复
signature
我的细心,我的用心,我的耐心。

yezishi1314de 离线

帖子:99
粉蓝豆:6
经验:108
注册时间:2010-12-29
加关注  |  发消息
12 楼    发表于2012-03-10 22:09:57举报|引用
返回顶部 | 快捷回复

 开始几张看上去像红细胞

后2张看着像外来的什么,结合临床药史

0
回复
signature
苍茫无限却绿意葱茸。
回复:12 阅读:4248
共1页/12条首页上一页1下一页尾页
【免责声明】讨论内容仅作学术交流之用,不作为诊疗依据,由此而引起的法律问题作者及本站不承担任何责任。
快速回复
进入高级回复
您最多可输入10000个汉字,按 "Ctrl" + "Enter" 直接发送
搜索回复/乘电梯 ×
按内容
按会员
乘电梯
合作伙伴
友情链接