共1页/7条首页上一页1下一页尾页
回复:7 阅读:2333
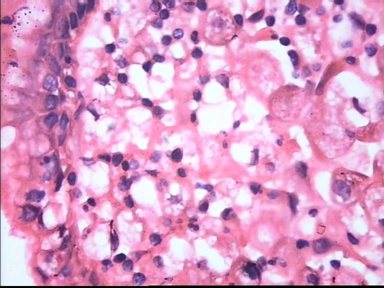
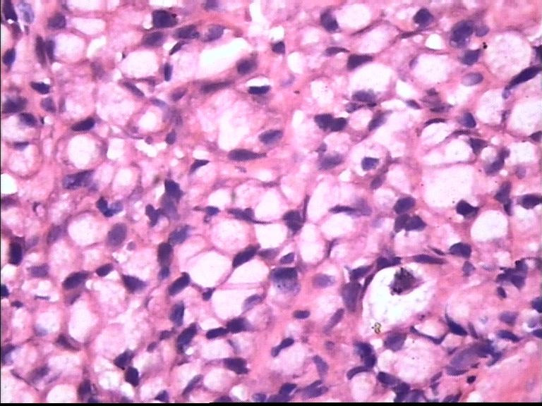
胃部溃疡3cm 53岁 男

陈奕君 离线

帖子:124
粉蓝豆:39
经验:364
注册时间:2009-11-10
加关注  |  发消息
楼主 发表于 2011-11-19 22:05|举报|关注(0)
浏览排序[ 顺序 逆序 楼主 支持 精彩 ]  快捷回复
  • 胃部溃疡3cm 53岁 男图1
    图1
  • 胃部溃疡3cm 53岁 男图2
    图2
  • 胃部溃疡3cm 53岁 男图3
    图3
  • 胃部溃疡3cm 53岁 男图4
    图4
  • 胃部溃疡3cm 53岁 男图5
    图5
  • 胃部溃疡3cm 53岁 男图6
    图6
  • 胃部溃疡3cm 53岁 男图7
    图7
  • 胃部溃疡3cm 53岁 男图8
    图8
  • 胃部溃疡3cm 53岁 男图9
    图9
  • 胃部溃疡3cm 53岁 男图10
    图10
  • 胃部溃疡3cm 53岁 男图11
    图11
  • 胃部溃疡3cm 53岁 男图12
    图12
  • 胃部溃疡3cm 53岁 男图13
    图13
  • 胃部溃疡3cm 53岁 男图14
    图14
  • 胃部溃疡3cm 53岁 男图15
    图15

 

标签:
0
添加参考诊断
×参考诊断
  

精于本业 离线

帖子:131
粉蓝豆:147
经验:221
注册时间:2011-09-05
加关注  |  发消息
1 楼    发表于2011-11-19 22:14:43举报|引用
返回顶部 | 快捷回复

仅此局部形态,应该是印戒细胞癌,最好有更多的背景资料

1

亡羊补牢
回复

亡羊补牢 离线

帖子:1304
粉蓝豆:2
经验:2118
注册时间:2010-09-29
加关注  |  发消息
2 楼    发表于2011-11-19 22:44:35举报|引用
返回顶部 | 快捷回复

印戒细胞癌

0
回复
signature

一花一世界,一木一浮生

linyguo 离线

帖子:2365
粉蓝豆:43
经验:2514
注册时间:2009-08-09
加关注  |  发消息
3 楼    发表于2011-11-20 00:18:25举报|引用
返回顶部 | 快捷回复

印戒细胞癌

0
回复

宁静致远 离线

帖子:4242
粉蓝豆:2853
经验:6556
注册时间:2007-03-27
加关注  |  发消息
4 楼    发表于2011-11-20 06:05:58举报|引用
返回顶部 | 快捷回复

倾向印戒细胞癌

0
回复

病理020 离线

帖子:1344
粉蓝豆:5580
经验:1814
注册时间:2011-10-02
加关注  |  发消息
5 楼    发表于2011-11-20 08:04:52举报|引用
返回顶部 | 快捷回复

诊断印戒细胞癌

0
回复
signature
邓学田

wxg 离线

帖子:140
粉蓝豆:76
经验:806
注册时间:2009-07-19
加关注  |  发消息
6 楼    发表于2011-11-20 08:07:40举报|引用
返回顶部 | 快捷回复

印戒细胞癌

1

huaxiawl..
回复

九天揽月 离线

帖子:423
粉蓝豆:35
经验:666
注册时间:2008-01-11
加关注  |  发消息
7 楼    发表于2011-11-21 10:16:18举报|引用
返回顶部 | 快捷回复

印戒细胞癌高度可疑,建议做:CK、CD68、PAS帮助诊断。

0
回复
回复:7 阅读:2333
共1页/7条首页上一页1下一页尾页
【免责声明】讨论内容仅作学术交流之用,不作为诊疗依据,由此而引起的法律问题作者及本站不承担任何责任。
快速回复
进入高级回复
您最多可输入10000个汉字,按 "Ctrl" + "Enter" 直接发送
搜索回复/乘电梯 ×
按内容
按会员
乘电梯
合作伙伴
友情链接