共1页/15条首页上一页1下一页尾页
回复:15 阅读:2891
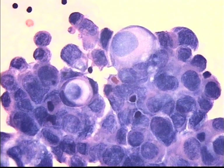
54岁 女 胸水

陈奕君 离线

帖子:124
粉蓝豆:39
经验:364
注册时间:2009-11-10
加关注  |  发消息
楼主 发表于 2011-11-19 21:52|举报|关注(1)
浏览排序[ 顺序 逆序 楼主 支持 精彩 ]  快捷回复
  • 54岁 女 胸水图1
    图1
  • 54岁 女 胸水图2
    图2
  • 54岁 女 胸水图3
    图3
  • 54岁 女 胸水图4
    图4
  • 54岁 女 胸水图5
    图5
  • 54岁 女 胸水图6
    图6
  • 54岁 女 胸水图7
    图7
  • 54岁 女 胸水图8
    图8

 

标签:
0
添加参考诊断
×参考诊断
  

陈奕君 离线

帖子:124
粉蓝豆:39
经验:364
注册时间:2009-11-10
加关注  |  发消息
1 楼    发表于2011-11-19 21:55:23举报|引用
返回顶部 | 快捷回复
  • 图1
  • 图2
  • 图3
  • 图4
  • 图5
  • 图6
  • 图7
  • 图8

 

0
回复

陈奕君 离线

帖子:124
粉蓝豆:39
经验:364
注册时间:2009-11-10
加关注  |  发消息
2 楼    发表于2011-11-19 21:58:33举报|引用
返回顶部 | 快捷回复
  • 图1
  • 图2
  • 图3
  • 图4
  • 图5
  • 图6
  • 图7
  • 图8
  • 图9
  • 图10

 

0
回复

亡羊补牢 离线

帖子:1304
粉蓝豆:2
经验:2118
注册时间:2010-09-29
加关注  |  发消息
3 楼    发表于2011-11-19 22:33:03举报|引用
返回顶部 | 快捷回复

恶性肿瘤细胞,倾向腺癌

0
回复
signature

一花一世界,一木一浮生

abc666 离线

帖子:295
粉蓝豆:5
经验:304
注册时间:2008-04-06
加关注  |  发消息
4 楼    发表于2011-11-19 22:57:28举报|引用
返回顶部 | 快捷回复

腺癌,典型。

0
回复

junzi003981 离线

帖子:1469
粉蓝豆:234
经验:3249
注册时间:2008-09-07
加关注  |  发消息
5 楼    发表于2011-11-19 23:39:54举报|引用
返回顶部 | 快捷回复

腺癌

0
回复
signature
为人类医疗事业贡献一生

gwls0008 离线

帖子:1365
粉蓝豆:5
经验:1465
注册时间:2008-08-24
加关注  |  发消息
6 楼    发表于2011-11-20 18:51:23举报|引用
返回顶部 | 快捷回复

应该是腺癌。核异型性还是比较大的。希望能够及时固定。

0
回复

陈奕君 离线

帖子:124
粉蓝豆:39
经验:364
注册时间:2009-11-10
加关注  |  发消息
7 楼    发表于2011-11-20 19:18:25举报|引用
返回顶部 | 快捷回复

 细胞学制片如何做才可以细胞退变的没有这么厉害?有哪位老师可以详细的讲解下吗?

0
回复

涢水清- 离线

帖子:2045
粉蓝豆:9
经验:2208
注册时间:2010-04-19
加关注  |  发消息
8 楼    发表于2011-11-20 20:03:19举报|引用
返回顶部 | 快捷回复

这次细胞很典型,腺癌

0
回复

掌心0164 离线

帖子:2403
粉蓝豆:504
经验:2925
注册时间:2009-03-21
加关注  |  发消息
9 楼    发表于2011-11-20 20:10:24举报|引用
返回顶部 | 快捷回复

不错,越来越好了;腺癌。

0
回复
signature
掌心0164

xkj2797xkj 离线

帖子:1087
粉蓝豆:1734
经验:7231
注册时间:2009-07-08
加关注  |  发消息
10 楼    发表于2011-11-20 23:46:25举报|引用
返回顶部 | 快捷回复

腺癌细胞!

0
回复
signature

(本观点纯属本人意见!仅供参考!本人微信:13759416387)

防港一员 离线

帖子:410
粉蓝豆:30
经验:1041
注册时间:2010-08-13
加关注  |  发消息
11 楼    发表于2011-11-21 00:14:32举报|引用
返回顶部 | 快捷回复

 腺癌

0
回复
signature
有志者事竟成

gwls0008 离线

帖子:1365
粉蓝豆:5
经验:1465
注册时间:2008-08-24
加关注  |  发消息
12 楼    发表于2011-11-21 18:00:51举报|引用
返回顶部 | 快捷回复

细胞学涂片离心后,去除上清液后,混匀,涂片,然后将玻片竖起,用棉布吸取多余的水分,尽量吸干,然后迅速固定于95%的酒精。这样的片子固定较好。较少脱片。

0
回复

流水 离线

帖子:1105
粉蓝豆:46
经验:3110
注册时间:2008-11-11
加关注  |  发消息
13 楼    发表于2011-11-21 23:25:26举报|引用
返回顶部 | 快捷回复
引用 7 楼 陈奕君 在 2011-11-20 19:18:25 的发言:

 细胞学制片如何做才可以细胞退变的没有这么厉害?

防止细胞飞片的关键是离心后除去上清液的水份,可离心后反转置卫生纸上,尽可能吸去上清液;

防止细胞退变的关键是立即固定,可取一小滴置玻片上,用另一张玻片采用抹片方法制片后立即投入95%乙醇固定固定液中!

0
回复

防港一员 离线

帖子:410
粉蓝豆:30
经验:1041
注册时间:2010-08-13
加关注  |  发消息
14 楼    发表于2011-11-22 10:30:35举报|引用
返回顶部 | 快捷回复

倾向腺癌

0
回复
signature
有志者事竟成

生命起源 离线

帖子:149
粉蓝豆:2
经验:181
注册时间:2011-03-09
加关注  |  发消息
15 楼    发表于2011-11-23 16:12:07举报|引用
返回顶部 | 快捷回复
引用 4 楼 abc666 在 2011-11-19 22:57:28 的发言:

腺癌,典型。


0
回复
回复:15 阅读:2891
共1页/15条首页上一页1下一页尾页
【免责声明】讨论内容仅作学术交流之用,不作为诊疗依据,由此而引起的法律问题作者及本站不承担任何责任。
快速回复
进入高级回复
您最多可输入10000个汉字,按 "Ctrl" + "Enter" 直接发送
搜索回复/乘电梯 ×
按内容
按会员
乘电梯
合作伙伴
友情链接