共1页/7条首页上一页1下一页尾页
回复:7 阅读:3080
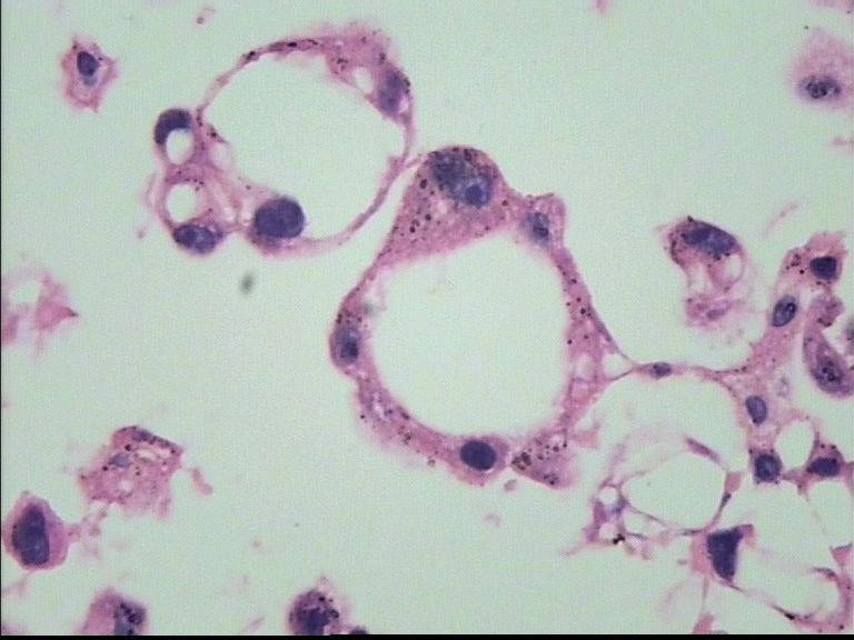
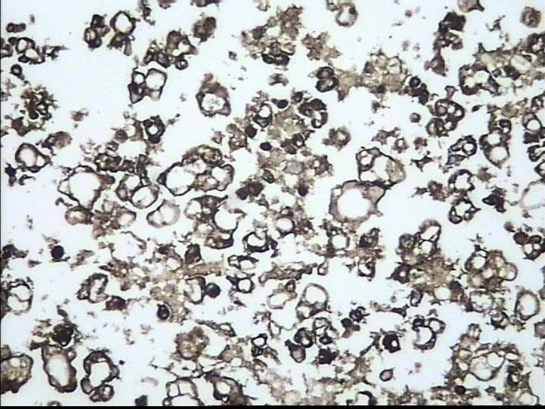
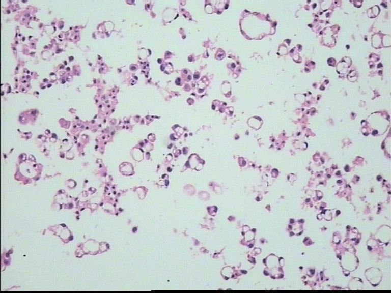
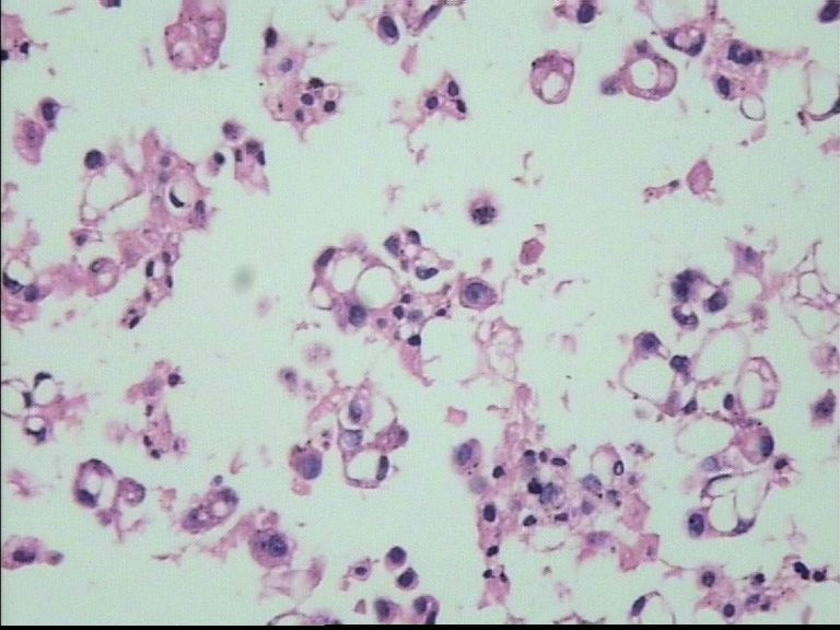
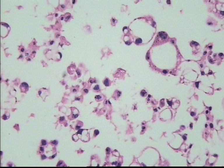
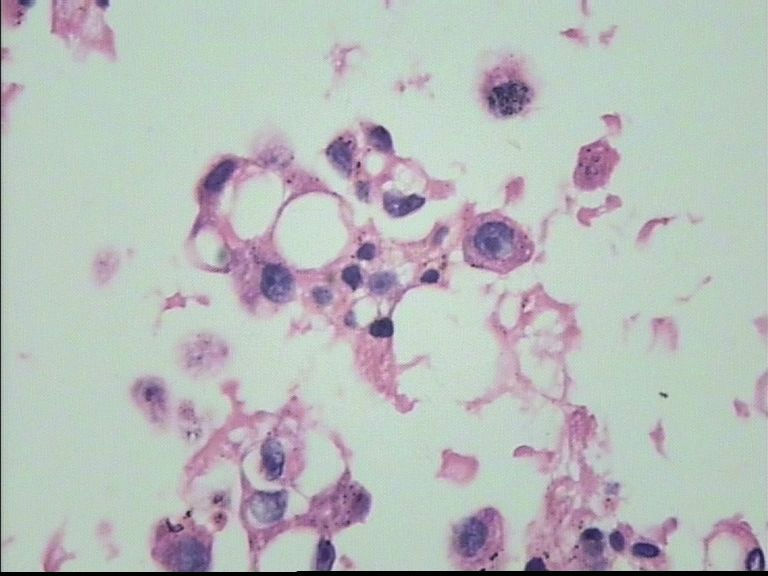
67岁 男 胸水组织块

陈奕君 离线

帖子:124
粉蓝豆:39
经验:364
注册时间:2009-11-10
加关注  |  发消息
楼主 发表于 2011-11-19 21:23|举报|关注(0)
浏览排序[ 顺序 逆序 楼主 支持 精彩 ]  快捷回复

 

  • 67岁 男 胸水组织块图1
    图1
  • 67岁 男 胸水组织块图2
    图2
  • 67岁 男 胸水组织块图3
    图3
  • 67岁 男 胸水组织块图4
    图4
  • 67岁 男 胸水组织块图5
    图5
  • 67岁 男 胸水组织块图6
    图6
  • 67岁 男 胸水组织块图7
    图7
  • 67岁 男 胸水组织块图8
    图8
  • 67岁 男 胸水组织块图9
    图9
  • 67岁 男 胸水组织块图10
    图10
标签:
0
添加参考诊断
×参考诊断
  

zhouzhenyou 离线

帖子:1643
粉蓝豆:141
经验:2720
注册时间:2008-11-25
加关注  |  发消息
1 楼    发表于2011-11-19 21:28:08举报|引用
返回顶部 | 快捷回复

漂亮、典型,加分。

0
回复

陈奕君 离线

帖子:124
粉蓝豆:39
经验:364
注册时间:2009-11-10
加关注  |  发消息
2 楼    发表于2011-11-19 21:32:19举报|引用
返回顶部 | 快捷回复

 TTF-1

  • 图1
  • 图2
  • 图3
0
回复

陈奕君 离线

帖子:124
粉蓝豆:39
经验:364
注册时间:2009-11-10
加关注  |  发消息
3 楼    发表于2011-11-19 21:33:41举报|引用
返回顶部 | 快捷回复

 ck7

  • 图1
  • 图2
  • 图3
  • 图4
0
回复

陈奕君 离线

帖子:124
粉蓝豆:39
经验:364
注册时间:2009-11-10
加关注  |  发消息
4 楼    发表于2011-11-19 21:35:51举报|引用
返回顶部 | 快捷回复

 CEA

  • 图1
  • 图2
  • 图3
  • 图4
0
回复

zhenshijian 离线

帖子:1069
粉蓝豆:91
经验:1364
注册时间:2008-04-20
加关注  |  发消息
5 楼    发表于2011-11-19 21:36:04举报|引用
返回顶部 | 快捷回复

肺腺癌细胞

0
回复

zhouzhenyou 离线

帖子:1643
粉蓝豆:141
经验:2720
注册时间:2008-11-25
加关注  |  发消息
6 楼    发表于2011-11-19 21:37:09举报|引用
返回顶部 | 快捷回复

肺腺癌

1

防港一员
回复

陈奕君 离线

帖子:124
粉蓝豆:39
经验:364
注册时间:2009-11-10
加关注  |  发消息
回复:7 阅读:3080
共1页/7条首页上一页1下一页尾页
【免责声明】讨论内容仅作学术交流之用,不作为诊疗依据,由此而引起的法律问题作者及本站不承担任何责任。
快速回复
进入高级回复
您最多可输入10000个汉字,按 "Ctrl" + "Enter" 直接发送
搜索回复/乘电梯 ×
按内容
按会员
乘电梯
合作伙伴
友情链接