| 图片: | |
|---|---|
| 名称: | |
| 描述: | |

首先谢谢zhao老师回复此贴,现在山东省内绝大部分医院还在做乳腺的术中定性诊断,估计短时间内这种现状还改变不了,尤其在县一级的医院,基层医院的病理医生做冰冻诊断确实象在刀尖上跳舞,压力很大,我一直觉得有时好像在拿着患者的“乳腺”及自己的“前及钱途”在赌博。这一例已去上级医院做相关的免疫组化,最终结果出来后我会及时贴出的。不管是腺病还是癌,都有值得总结的地方,既然不能改变乳腺冰冻的这一现实,只能积极去适应,总结经验,避免犯错。

个人的一点总结,不对之处请尽管拍砖。
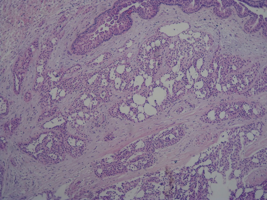
癌是以侵袭性生长和复发转移为特征的,镜下表现为组织结构的紊乱、细胞的异型性,乳腺冰冻病理的诊断要从大体、镜下组织学表现、细胞形态等方面做出综合判断。组织学形态着重看有无正常结构的消失、是否存在浸润性生长的特征,本例冰冻中看不到小叶结构特征,腺管大小、排列比较杂乱。部分不规则的小腺体围绕正常导管生长,这是否应是浸润的一种表现。细胞学上冰冻切片的细胞异型的判断一般认为是不可靠的,但在切片质量较好,有内对照的参考标尺下还是可以判读的,正常的导管上皮是一把可以利用的标尺。这一例我们结合病人年龄、大体、镜下表现术中报癌了,上级医院会诊标记肌上皮已证实是癌,以后会把相关免疫组化补上。但现在想来这例报癌风险还是很大的,有点后怕,以后在遇到可能会后退一步,也许是不认识类似的硬化性腺病吧,当时做术中诊断有点应了一句话:无知者无畏。

会诊结果:乳腺分泌型癌。免疫组化:ER(-), PR(-), CerbB-2(-) Ki67阳性率约10%,S-100(+),CEA灶性阳性,P63、SMA肌上皮阴性,CK5/6肿瘤上皮细胞阴性,CK34BE12部分阳性。

binghongcha 离线
guoruiping 离线
Good luck for us.
We never do frozen to determin the benign or maligant lesions. Before the segmental mastectomy we always know the diagnosis. In other words the patients have breast core biopsy for dx first.
The way of frozen for breast lesions is too old and 落后了。中国病理的发展和城市大楼的建设真是不成比例呀。
赵老师的帖子就像您的讲课一样,太深刻了,山东ren的性格

楼主虽然在基层医院,但是感觉很厉害,图片采集得好,真是高清晰啊,资料详实,图片处理得也非常好,简直有艺术感,哈哈,对IHC似乎也比较了解。
且看您的文字和图片可了解您的思路清晰,分析能力很强。
本例太完美了,也非常惊险,真的,至少在我们中国的这个病理环境下能做到这样真心不错。这是个罕见病例,居然冰冻让你碰上了,从冰冻——常规——IHC都完备。我从冰冻看到常规未看免疫组化之前还一直犹豫是不是癌?是癌但一定是您说的分泌性癌吗?看常规时只是觉得浸润性癌够了,后来看到常规的筛状结构+分泌物才确定形态学也够了,就差IHC了,结果您贴出来上级医院的IHC结果真的是3阴,S-100+,高分子量CK部分+,这个表达模式完全符合分泌性癌(我也遇到一个分泌性癌,IHC表达方式完全和您的这例一样),当然必须是结合形态学了。
的确,原来分泌性癌叫幼年性癌,现在取消这个名字了,因为不断有报道很多成人也发生
这个癌既符合3阴乳腺癌,又符合基因上分类的基底细胞样乳腺癌,只不过预后很好,和一般意义上的3阴乳腺癌、基底细胞样乳腺癌不一样!如果有条件再做下FISH检测到ETV6重排那就更完美了
Secretory breast carcinomas with ETV6-NTRK3 fusion gene belong to the basal-like carcinoma spectrum
Marick Lae ´ , Paul Fre ´neaux, Xavier Sastre-Garau, Olfa Chouchane, Brigitte Sigal-Zafrani and Anne Vincent-Salomon
Service de Pathologie, Section Me ´dicale, Institut Curie, Paris Cedex, France
Secretory breast carcinomas (o0.15% of breast tumors) are associated with a characteristic morphology and a
favorable prognosis. Remarkably, this entity is the only epithelial tumor of the breast with a balanced
translocation, t(12;15), that creates an ETV6-NTRK3 gene fusion encoding chimeric tyrosine kinase also
encountered in cellular mesoblastic nephroma and infantile fibrosarcoma. The aim of this study was to
determine the phenotypic class (ie luminal A/B, ERBB2, basal-like) of secretory breast carcinoma. A series of six
secretory breast carcinomas were identified in our files. The ETV6 rearrangement was confirmed in all cases by
fluorescence in situ hybridization. Immunophenotype was assessed with anti-ER, PR, ERBB2, KIT, EGFR,
E-cadherin, vimentin, PS100, smooth muscle actin, basal (CK5/6 and 14), luminal cytokeratins (CK8/18) and p63
antibodies. In situ and invasive components shared the same immunoprofile and were ER, PR, ERBB2 negative
with expression of basal cytokeratins. ETV6 gene alterations were present in both in situ and invasive
components, highlighting their genetic similarities. The immunoprofile data (triple-negative with expression of
basal markers) showed that secretory breast carcinomas with ETV6-NTRK3 fusion gene belong to the
phenotypic basal-like spectrum of breast carcinomas. These results support the hypothesis that secretory
breast carcinomas have immunohistochemical and genetic features that distinguish them from other basal-like
tumors of the breast.
Modern Pathology (2009) 22, 291–298; doi:10.1038/modpathol.2008.184; published online 14 November 2008
xinzhu1492 离线