共2页/28条首页上一页12下一页尾页
回复:28 阅读:6775
您看了吗?阑尾类癌?

1394361892 离线

帖子:655
粉蓝豆:12
经验:1275
注册时间:2011-09-04
加关注  |  发消息
楼主 发表于 2011-11-18 18:28|举报|关注(0)
浏览排序[ 顺序 逆序 楼主 支持 精彩 ]  快捷回复

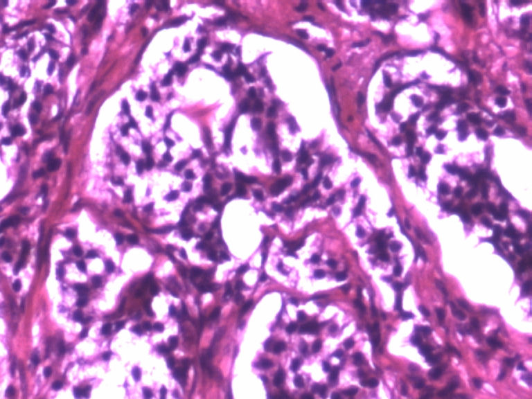
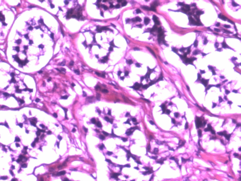
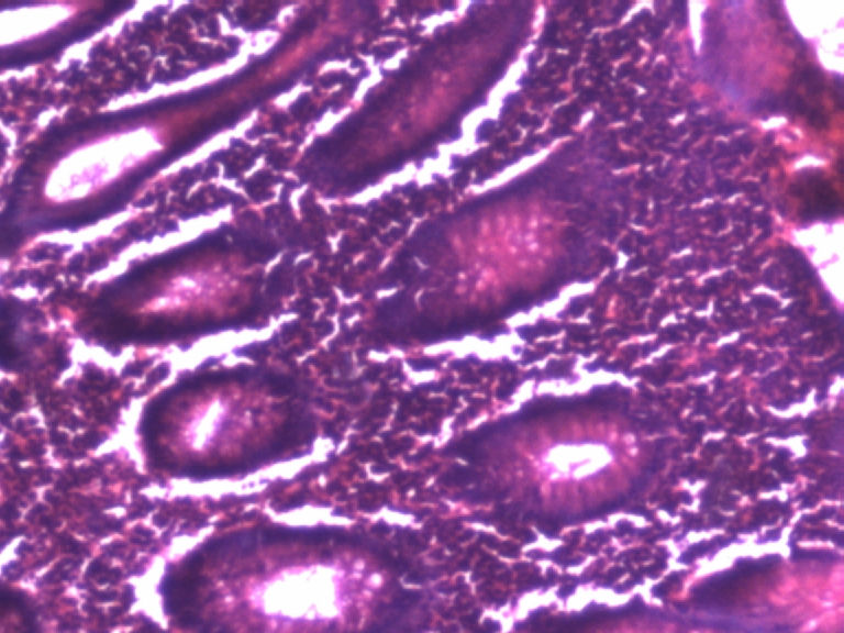
 男,50岁,阑尾长7厘米,直径0.4---0.6厘米。剖开:尖端看见淡黄色区,不规则,界限欠清,0.15*0.2厘米,质中。

  • 您看了吗?阑尾类癌?图1
    图1
  • 您看了吗?阑尾类癌?图2
    图2
  • 您看了吗?阑尾类癌?图3
    图3
  • 您看了吗?阑尾类癌?图4
    图4
  • 您看了吗?阑尾类癌?图5
    图5
  • 您看了吗?阑尾类癌?图6
    图6
  • 您看了吗?阑尾类癌?图7
    图7
  • 您看了吗?阑尾类癌?图8
    图8
  • 您看了吗?阑尾类癌?图9
    图9
  • 您看了吗?阑尾类癌?图10
    图10
  • 您看了吗?阑尾类癌?图11
    图11
  • 您看了吗?阑尾类癌?图12
    图12
  • 您看了吗?阑尾类癌?图13
    图13
  • 您看了吗?阑尾类癌?图14
    图14
  • 您看了吗?阑尾类癌?图15
    图15
  • 您看了吗?阑尾类癌?图16
    图16
  • 您看了吗?阑尾类癌?图17
    图17
  • 您看了吗?阑尾类癌?图18
    图18
标签:阑尾!您看了吗?
本帖最后由 1394361892 于 2011-11-18 18:37:07 编辑
0
×参考诊断
考虑阑尾类癌

病理020 离线

帖子:1344
粉蓝豆:5581
经验:1814
注册时间:2011-10-02
加关注  |  发消息
1 楼    发表于2011-11-18 18:48:49举报|引用
返回顶部 | 快捷回复

制片质量需要提高,恕我直言喽。

1

雅马哈
回复
signature
邓学田

ryb7 离线

帖子:189
粉蓝豆:3
经验:517
注册时间:2009-05-12
加关注  |  发消息
2 楼    发表于2011-11-18 18:58:23举报|引用
返回顶部 | 快捷回复

像类癌,有些粘液,标记一下Syn、CgA,有可能是杯状细胞类癌

1

亡羊补牢
回复

飘林 离线

帖子:2032
粉蓝豆:2435
经验:2656
注册时间:2009-11-28
加关注  |  发消息
3 楼    发表于2011-11-18 19:15:53举报|引用
返回顶部 | 快捷回复

看不太清楚,有些结构有点像类癌。

1

200406
回复

xuanxuan 离线

帖子:266
粉蓝豆:1
经验:547
注册时间:2010-08-22
加关注  |  发消息
10 楼    发表于2011-11-18 22:24:05举报|引用
返回顶部 | 快捷回复

需要酶标确诊,上传图片不太清楚

1

pop
回复

zousan 离线

帖子:504
粉蓝豆:370
经验:842
注册时间:2006-10-20
加关注  |  发消息
20 楼    发表于2011-11-21 10:52:33举报|引用
返回顶部 | 快捷回复

类癌还是很像,就是看不清啊

 

1

紫色小妖
回复
signature
在阳光下灿烂,在风雨中奔跑

清水波心 离线

帖子:435
粉蓝豆:12
经验:561
注册时间:2011-02-16
加关注  |  发消息
5 楼    发表于2011-11-18 19:20:21举报|引用
返回顶部 | 快捷回复

呵呵,感觉低倍图少了。

0
回复

yang3463 离线

帖子:89
粉蓝豆:2
经验:107
注册时间:2009-08-16
加关注  |  发消息
6 楼    发表于2011-11-18 20:14:32举报|引用
返回顶部 | 快捷回复

看不太清楚,有些结构有点像类癌。

0
回复

lvgq 离线

帖子:664
粉蓝豆:1
经验:1043
注册时间:2006-09-27
加关注  |  发消息
7 楼    发表于2011-11-18 20:29:02举报|引用
返回顶部 | 快捷回复

是照片太亮了

0
回复

伊恋佳人 离线

帖子:1258
粉蓝豆:505
经验:1714
注册时间:2010-03-13
加关注  |  发消息
8 楼    发表于2011-11-18 20:32:25举报|引用
返回顶部 | 快捷回复

类癌,

0
回复

亡羊补牢 离线

帖子:1304
粉蓝豆:2
经验:2118
注册时间:2010-09-29
加关注  |  发消息
12 楼    发表于2011-11-19 22:46:26举报|引用
返回顶部 | 快捷回复

类癌

0
回复
signature

一花一世界,一木一浮生

宁静致远 离线

帖子:4242
粉蓝豆:2853
经验:6556
注册时间:2007-03-27
加关注  |  发消息
13 楼    发表于2011-11-20 06:08:04举报|引用
返回顶部 | 快捷回复

像粘液腺癌

0
回复

xg120 离线

帖子:12586
粉蓝豆:1205
经验:15200
注册时间:2011-10-14
加关注  |  发消息
28 楼    发表于2014-10-18 20:08:00举报|引用
返回顶部 | 快捷回复

像 类癌

0
回复
signature
尚泽忠

益医 离线

帖子:242
粉蓝豆:1004
经验:682
注册时间:2009-11-15
加关注  |  发消息
14 楼    发表于2011-11-20 10:07:30举报|引用
返回顶部 | 快捷回复

上传图片不太清楚,低倍图少了

0
回复
signature
tangzhuirong

Liu_Aijun 离线

帖子:1292
粉蓝豆:119
经验:1678
注册时间:2008-04-14
加关注  |  发消息
15 楼    发表于2011-11-20 11:13:37举报|引用
返回顶部 | 快捷回复

好病例!

按照胃肠胰腺神经内分泌肿瘤WHO2010分类,该例应属于NET G1(神经内分泌瘤,1级)。需标记Syn, CgA, Ki67.

 

0
回复
signature
If you have great talents, industry will improve them; if you have but moderate abilities, industry will supply their deficiency. 如果你很有天赋,勤勉会使其更加完美;如果你能力一般,勤勉会补足其缺陷。

ahhbhzlin 离线

帖子:3090
粉蓝豆:50
经验:11826
注册时间:2008-07-24
加关注  |  发消息
9 楼    发表于2011-11-18 22:11:56举报|引用
返回顶部 | 快捷回复

类癌

0
回复

ZH1960 离线

帖子:113
粉蓝豆:52
经验:611
注册时间:2007-04-26
加关注  |  发消息
16 楼    发表于2011-11-20 12:23:10举报|引用
返回顶部 | 快捷回复

像类癌

0
回复

pop 离线

帖子:9
粉蓝豆:175
经验:243
注册时间:2011-11-18
加关注  |  发消息
11 楼    发表于2011-11-18 22:26:39举报|引用
返回顶部 | 快捷回复

类癌

0
回复
signature
罗马不是一天建成的。

薄冰之旅 离线

帖子:1566
粉蓝豆:2098
经验:3456
注册时间:2006-11-05
加关注  |  发消息
17 楼    发表于2011-11-20 13:37:35举报|引用
返回顶部 | 快捷回复

类癌

0
回复

九天揽月 离线

帖子:423
粉蓝豆:35
经验:666
注册时间:2008-01-11
加关注  |  发消息
18 楼    发表于2011-11-21 10:25:30举报|引用
返回顶部 | 快捷回复

倾向神经内分泌肿瘤,建议做CgA、SYN、Ki-67检查。

阑尾的神经内分泌肿瘤我们已经碰到好几例了,一般都在阑尾尖端,取材一定要规范,这样可以减少漏诊率。

0
回复

cyb1433 离线

帖子:666
粉蓝豆:644
经验:1631
注册时间:2009-05-27
加关注  |  发消息
19 楼    发表于2011-11-21 10:37:21举报|引用
返回顶部 | 快捷回复

 图片质量待提高   支持类癌

0
回复
signature
生活就是生下来、 活下去
回复:28 阅读:6775
共2页/28条首页上一页12下一页尾页
【免责声明】讨论内容仅作学术交流之用,不作为诊疗依据,由此而引起的法律问题作者及本站不承担任何责任。
快速回复
进入高级回复
您最多可输入10000个汉字,按 "Ctrl" + "Enter" 直接发送
搜索回复/乘电梯 ×
按内容
按会员
乘电梯
合作伙伴
友情链接