共1页/5条首页上一页1下一页尾页
回复:9 阅读:3884
表皮下肿块FNAC一例,体现了该诊断手段的优势。

6896 离线

帖子:68
粉蓝豆:92
经验:93
注册时间:2008-06-26
加关注  |  发消息
楼主 发表于 2011-11-18 16:07|举报|关注(0)
浏览排序[ 顺序 逆序 楼主 支持 精彩 ]  快捷回复

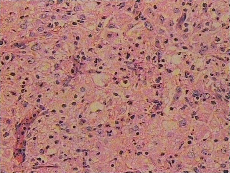
患者 女 47岁 腰部皮下肿块5x4cm,皮肤表面灰褐色,无隆起,无压痛。体格检查无其他异常。 

  • 表皮下肿块FNAC一例,体现了该诊断手段的优势。图1
    图1
  • 表皮下肿块FNAC一例,体现了该诊断手段的优势。图2
    图2
  • 表皮下肿块FNAC一例,体现了该诊断手段的优势。图3
    图3
  • 表皮下肿块FNAC一例,体现了该诊断手段的优势。图4
    图4
  • 表皮下肿块FNAC一例,体现了该诊断手段的优势。图5
    图5
  • 表皮下肿块FNAC一例,体现了该诊断手段的优势。图6
    图6
  • 表皮下肿块FNAC一例,体现了该诊断手段的优势。图7
    图7
  • 表皮下肿块FNAC一例,体现了该诊断手段的优势。图8
    图8
  • 表皮下肿块FNAC一例,体现了该诊断手段的优势。图9
    图9
  • 表皮下肿块FNAC一例,体现了该诊断手段的优势。图10
    图10
  • 表皮下肿块FNAC一例,体现了该诊断手段的优势。图11
    图11
  • 表皮下肿块FNAC一例,体现了该诊断手段的优势。图12
    图12
  • 表皮下肿块FNAC一例,体现了该诊断手段的优势。图13
    图13
  • 表皮下肿块FNAC一例,体现了该诊断手段的优势。图14
    图14

 

标签:
本帖最后由 6896 于 2011-11-19 13:41:18 编辑
0
添加参考诊断
×参考诊断
  

6896 离线

帖子:68
粉蓝豆:92
经验:93
注册时间:2008-06-26
加关注  |  发消息
9 楼    发表于2012-01-03 10:41:02举报|引用
返回顶部 | 快捷回复

诊断是Rosai-Dorfman病。

0
回复

6896 离线

帖子:68
粉蓝豆:92
经验:93
注册时间:2008-06-26
加关注  |  发消息
8 楼    发表于2011-12-07 14:46:32举报|引用
返回顶部 | 快捷回复
本帖最后由 6896 于 2011-12-07 15:04:27 编辑
  • 图1
  • 图2
  • 图3
  • 图4
  • 图5
  • 图6
  • 图7
  • 图8
  • 图9
  • 图10
  • 图11
  • 图12
  • 图13
  • S-100
  • S-100
  • S-100

 

0
回复

6896 离线

帖子:68
粉蓝豆:92
经验:93
注册时间:2008-06-26
加关注  |  发消息
6 楼    发表于2011-12-06 14:55:42举报|引用
返回顶部 | 快捷回复

最近没空上线,本例有组织学及免疫组化图片,明天上传,请大家继续进来看看。

0
回复

6896 离线

帖子:68
粉蓝豆:92
经验:93
注册时间:2008-06-26
加关注  |  发消息
4 楼    发表于2011-11-19 13:53:12举报|引用
返回顶部 | 快捷回复

可惜高倍镜图片看不清核结构,显微镜下很清楚。

0
回复

6896 离线

帖子:68
粉蓝豆:92
经验:93
注册时间:2008-06-26
加关注  |  发消息
3 楼    发表于2011-11-19 13:47:13举报|引用
返回顶部 | 快捷回复

是的,单核及多核组织细胞是本病不特异但恒定的特点。

0
回复
回复:9 阅读:3884
共1页/5条首页上一页1下一页尾页
【免责声明】讨论内容仅作学术交流之用,不作为诊疗依据,由此而引起的法律问题作者及本站不承担任何责任。
快速回复
进入高级回复
您最多可输入10000个汉字,按 "Ctrl" + "Enter" 直接发送
搜索回复/乘电梯 ×
按内容
按会员
乘电梯
合作伙伴
友情链接