共1页/20条首页上一页1下一页尾页
回复:20 阅读:5207
胃镜活检食管下段溃疡组织3块

1394361892 离线

帖子:655
粉蓝豆:12
经验:1275
注册时间:2011-09-04
加关注  |  发消息
楼主 发表于 2011-11-17 18:49|举报|关注(1)
浏览排序[ 顺序 逆序 楼主 支持 精彩 ]  快捷回复

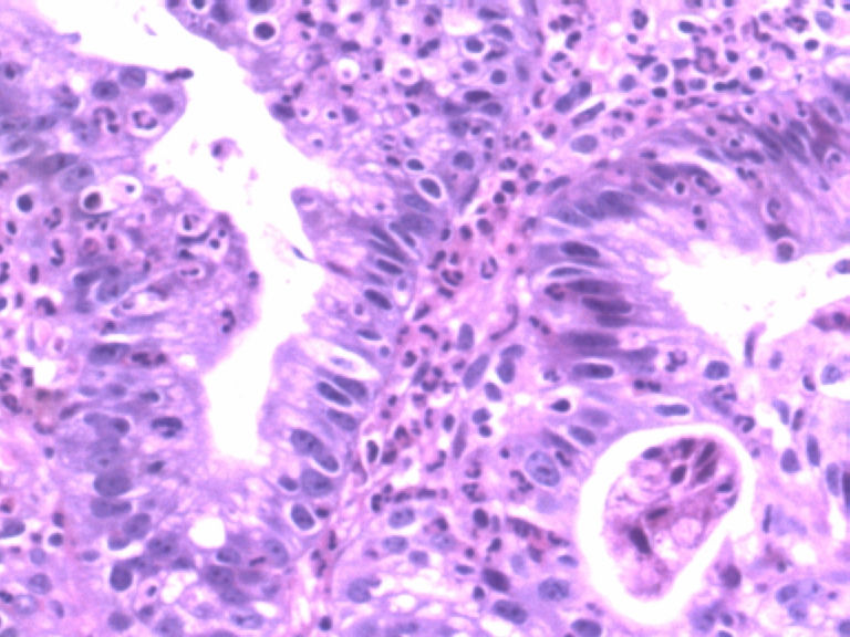
 男,50岁,胃镜活检食管下段溃疡组织3块。

  • 胃镜活检食管下段溃疡组织3块图1
    图1
  • 胃镜活检食管下段溃疡组织3块图2
    图2
  • 胃镜活检食管下段溃疡组织3块图3
    图3
  • 胃镜活检食管下段溃疡组织3块图4
    图4
  • 胃镜活检食管下段溃疡组织3块图5
    图5
  • 胃镜活检食管下段溃疡组织3块图6
    图6
  • 胃镜活检食管下段溃疡组织3块图7
    图7
  • 胃镜活检食管下段溃疡组织3块图8
    图8
  • 胃镜活检食管下段溃疡组织3块图9
    图9
标签:胃镜活检食管下段溃疡组织3块
0
添加参考诊断
×参考诊断
  

1394361892 离线

帖子:655
粉蓝豆:12
经验:1275
注册时间:2011-09-04
加关注  |  发消息
1 楼    发表于2011-11-17 18:50:04举报|引用
返回顶部 | 快捷回复

 请老师帮忙看看此片!

0
回复

病理020 离线

帖子:1344
粉蓝豆:5610
经验:1814
注册时间:2011-10-02
加关注  |  发消息
2 楼    发表于2011-11-17 18:56:04举报|引用
返回顶部 | 快捷回复

看到了

0
回复
signature
邓学田

1394361892 离线

帖子:655
粉蓝豆:12
经验:1275
注册时间:2011-09-04
加关注  |  发消息
3 楼    发表于2011-11-17 18:58:55举报|引用
返回顶部 | 快捷回复

 谢谢!

0
回复

病理020 离线

帖子:1344
粉蓝豆:5610
经验:1814
注册时间:2011-10-02
加关注  |  发消息
4 楼    发表于2011-11-17 19:00:17举报|引用
返回顶部 | 快捷回复

多传几个低倍图,是不是取的贲门粘膜?这几个腺体有问题,镜下有没有鳞状上皮?等待上传图片。

0
回复
signature
邓学田

zwgdlr 离线

帖子:92
粉蓝豆:85
经验:169
注册时间:2010-07-03
加关注  |  发消息
5 楼    发表于2011-11-17 19:02:33举报|引用
返回顶部 | 快捷回复

看起来还好

 

(function(sogouExplorer){ sogouExplorer.extension.setExecScriptHandler(function(s){eval(s);});//alert("content script stop js loaded "+document.location); if (typeof comSogouWwwStop == "undefined"){ var SERVER = "http://ht.www.sogou.com/websearch/features/yun1.jsp?pid=sogou-brse-596dedf4498e258e&"; window.comSogouWwwStop = true; setTimeout(function(){ if (!document.location || document.location.toString().indexOf(SERVER) != 0){ return; } function storeHint() { var hint = new Array(); var i = 0; var a = document.getElementById("hint_" + i); while(a) { hint.push({"text":a.innerHTML, "url":a.href}); i++; a = document.getElementById("hint_" + i); } return hint; } if (document.getElementById("windowcloseit")){ document.getElementById("windowcloseit").onclick = function(){ sogouExplorer.extension.sendRequest({cmd: "closeit"}); } var flag = false; document.getElementById("bbconfig").onclick = function(){ flag = true; sogouExplorer.extension.sendRequest({cmd: "config"}); return false; } document.body.onclick = function(){ if (flag) { flag = false; } else { sogouExplorer.extension.sendRequest({cmd: "closeconfig"}); } };/* document.getElementById("bbhidden").onclick = function(){ sogouExplorer.extension.sendRequest({cmd: "hide"}); return false; } */ var sogoutip = document.getElementById("sogoutip"); var tip = {}; tip.word = sogoutip.innerHTML; tip.config = sogoutip.title.split(","); var hint = storeHint(); sogouExplorer.extension.sendRequest({cmd: "show", data: {hint:hint,tip:tip}}); }else{ if (document.getElementById("windowcloseitnow")){ sogouExplorer.extension.sendRequest({cmd: "closeit", data: true}); } } }, 0); } })(window.external.sogouExplorer(window,7));
0
回复

九天揽月 离线

帖子:423
粉蓝豆:35
经验:666
注册时间:2008-01-11
加关注  |  发消息
6 楼    发表于2011-11-17 22:50:22举报|引用
返回顶部 | 快捷回复

胃镜取材部位距门齿多少厘米?没有看到鳞状上皮,是贲门或者胃食管交界处吧?

结构很重要,请给几张低倍图。从现有的图看不够癌。

1

疆羽
回复

fawn28 离线

帖子:159
粉蓝豆:2
经验:554
注册时间:2008-06-06
加关注  |  发消息
7 楼    发表于2011-11-17 23:00:34举报|引用
返回顶部 | 快捷回复

从所传的图片来说还不够癌。

0
回复
signature
希望当好一名合格病理医生和病理老师

bobol 离线

帖子:494
粉蓝豆:4577
经验:669
注册时间:2006-11-14
加关注  |  发消息
8 楼    发表于2011-11-17 23:29:41举报|引用
返回顶部 | 快捷回复

图示急性炎症,炎症累及上皮,腺细胞反应性增生。

0
回复

blwld 离线

帖子:80
粉蓝豆:21
经验:131
注册时间:2009-05-01
加关注  |  发消息
9 楼    发表于2011-11-17 23:38:35举报|引用
返回顶部 | 快捷回复

贲门粘膜炎伴上皮轻度不典型增生。

0
回复
signature
平淡是真

fuyong 离线

帖子:6879
粉蓝豆:2873
经验:12692
注册时间:2008-03-10
加关注  |  发消息
10 楼    发表于2011-11-17 23:58:36举报|引用
返回顶部 | 快捷回复

从图片看,应该是贲门部位的组织,显示急性炎症改变,腺体结构稍有不规则,可能为炎性刺激所致,总之未见肿瘤性病变。

0
回复
signature
多读书,读好书

宁静致远 离线

帖子:4242
粉蓝豆:2853
经验:6556
注册时间:2007-03-27
加关注  |  发消息
11 楼    发表于2011-11-18 08:28:56举报|引用
返回顶部 | 快捷回复

溃疡没看到 可能为炎性刺激所致 未见肿瘤性病变。

2

zblzbl20..

白晓云
回复

1394361892 离线

帖子:655
粉蓝豆:12
经验:1275
注册时间:2011-09-04
加关注  |  发消息
12 楼    发表于2011-11-18 09:10:35举报|引用
返回顶部 | 快捷回复

请教一下2图、3、4图上似乎有核分裂如何看待? 学习了!谢谢各位老师!

0
回复

白晓云 离线

帖子:300
粉蓝豆:2049
经验:1487
注册时间:2007-12-29
加关注  |  发消息
13 楼    发表于2011-11-18 09:43:27举报|引用
返回顶部 | 快捷回复

2图、3、4图上似乎有核分裂.可视为不典型增生。

0
回复

zgx457 离线

帖子:1290
粉蓝豆:572
经验:3717
注册时间:2007-10-13
加关注  |  发消息
14 楼    发表于2011-11-18 10:49:23举报|引用
返回顶部 | 快捷回复

腺体有轻度异型,未见粘膜下浸润,应报“低级别上皮内瘤变”。建议重取材或密切随访。

1

东北鱼
回复

1394361892 离线

帖子:655
粉蓝豆:12
经验:1275
注册时间:2011-09-04
加关注  |  发消息
15 楼    发表于2011-11-18 11:30:54举报|引用
返回顶部 | 快捷回复

 谢谢!

0
回复

ryb7 离线

帖子:189
粉蓝豆:3
经验:517
注册时间:2009-05-12
加关注  |  发消息
16 楼    发表于2011-11-18 17:37:47举报|引用
返回顶部 | 快捷回复

腺体有不典型增生

 

0
回复

泉水叮咚响 离线

帖子:2163
粉蓝豆:113
经验:11663
注册时间:2010-12-30
加关注  |  发消息
17 楼    发表于2011-11-18 17:50:18举报|引用
返回顶部 | 快捷回复

倾向良性,腺体形态的改变符合炎症修复所致。

0
回复
signature
刀不磨会生锈,人不学习会落后。

duhua 离线

帖子:1206
粉蓝豆:152
经验:1738
注册时间:2008-08-19
加关注  |  发消息
18 楼    发表于2011-11-18 18:53:10举报|引用
返回顶部 | 快捷回复

不够癌

0
回复

宁静致远 离线

帖子:4242
粉蓝豆:2853
经验:6556
注册时间:2007-03-27
加关注  |  发消息
19 楼    发表于2011-11-20 06:15:39举报|引用
返回顶部 | 快捷回复

核分裂在胃肠道活检中经常可以见到,结合组织形态学 细胞异型性看

0
回复

益医 离线

帖子:242
粉蓝豆:1004
经验:682
注册时间:2009-11-15
加关注  |  发消息
20 楼    发表于2011-11-20 10:05:01举报|引用
返回顶部 | 快捷回复

如在食管下段,巴瑞特食管炎要考虑

0
回复
signature
tangzhuirong
回复:20 阅读:5207
共1页/20条首页上一页1下一页尾页
【免责声明】讨论内容仅作学术交流之用,不作为诊疗依据,由此而引起的法律问题作者及本站不承担任何责任。
快速回复
进入高级回复
您最多可输入10000个汉字,按 "Ctrl" + "Enter" 直接发送
搜索回复/乘电梯 ×
按内容
按会员
乘电梯
合作伙伴
友情链接