共1页/16条首页上一页1下一页尾页
回复:16 阅读:4566
表皮下肿块FNAC一例,图片更新过了。

6896 离线

帖子:68
粉蓝豆:92
经验:93
注册时间:2008-06-26
加关注  |  发消息
楼主 发表于 2011-11-17 16:41|举报|关注(1)
浏览排序[ 顺序 逆序 楼主 支持 精彩 ]  快捷回复
    • 表皮下肿块FNAC一例,图片更新过了。图1
      图1
    • 表皮下肿块FNAC一例,图片更新过了。图2
      图2
    • 表皮下肿块FNAC一例,图片更新过了。图3
      图3
    • 表皮下肿块FNAC一例,图片更新过了。图4
      图4
    • 表皮下肿块FNAC一例,图片更新过了。图5
      图5
    • 表皮下肿块FNAC一例,图片更新过了。图6
      图6
    • 表皮下肿块FNAC一例,图片更新过了。图7
      图7
    • 表皮下肿块FNAC一例,图片更新过了。图8
      图8
    • 表皮下肿块FNAC一例,图片更新过了。图9
      图9
    • 表皮下肿块FNAC一例,图片更新过了。图10
      图10
    • 表皮下肿块FNAC一例,图片更新过了。图11
      图11
    • 表皮下肿块FNAC一例,图片更新过了。图12
      图12
    • 表皮下肿块FNAC一例,图片更新过了。图13
      图13
    • 表皮下肿块FNAC一例,图片更新过了。图14
      图14

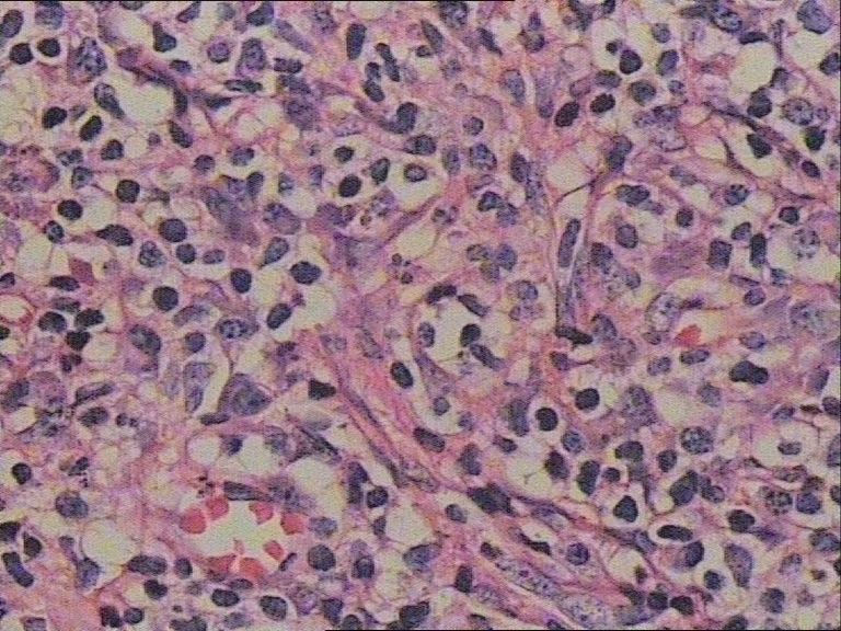
患者    女    47岁    腰部皮下肿块5x4cm,皮肤表面灰褐色,无隆起,无压痛。体格检查无其他异常。 

标签:
本帖最后由 6896 于 2011-11-19 13:42:47 编辑
0
添加参考诊断
×参考诊断
  

一棵小草 离线

帖子:5101
粉蓝豆:12
经验:7184
注册时间:2008-07-07
加关注  |  发消息
16 楼    发表于2012-01-10 23:40:50举报|引用
返回顶部 | 快捷回复

谢谢楼主,你的二次图片确实看不清,免疫组化做了CD1a了吗?

0
回复

6896 离线

帖子:68
粉蓝豆:92
经验:93
注册时间:2008-06-26
加关注  |  发消息
15 楼    发表于2012-01-03 10:36:47举报|引用
返回顶部 | 快捷回复

最后诊断为Rosai-Dorfman病。

0
回复

6896 离线

帖子:68
粉蓝豆:92
经验:93
注册时间:2008-06-26
加关注  |  发消息
14 楼    发表于2012-01-03 10:32:47举报|引用
返回顶部 | 快捷回复
本帖最后由 6896 于 2012-01-03 10:34:07 编辑

没有回复了,大概因我的图片不清晰。可能摄像头或图文系统的问题,我的显微镜很好。

0
回复

6896 离线

帖子:68
粉蓝豆:92
经验:93
注册时间:2008-06-26
加关注  |  发消息
13 楼    发表于2011-12-07 14:39:47举报|引用
返回顶部 | 快捷回复
本帖最后由 6896 于 2011-12-07 15:06:49 编辑
  • 图1
  • 图2
  • 图3
  • 图4
  • 图5
  • 图6
  • 图7
  • 图8
  • 图9
  • 图10
  • 图11
  • 图12
  • 图13
  • S-100
  • S-100
  • S-100

 

0
回复

6896 离线

帖子:68
粉蓝豆:92
经验:93
注册时间:2008-06-26
加关注  |  发消息
12 楼    发表于2011-12-06 14:53:25举报|引用
返回顶部 | 快捷回复

还有免疫组化

0
回复

6896 离线

帖子:68
粉蓝豆:92
经验:93
注册时间:2008-06-26
加关注  |  发消息
11 楼    发表于2011-12-06 14:52:36举报|引用
返回顶部 | 快捷回复
本帖最后由 6896 于 2011-12-06 14:53:02 编辑

最近没空上线,本例有组织学图片的,明天上传,大家继续讨论吧。

0
回复

fuyong 离线

帖子:6879
粉蓝豆:2873
经验:12692
注册时间:2008-03-10
加关注  |  发消息
10 楼    发表于2011-11-19 23:47:16举报|引用
返回顶部 | 快捷回复

纤维黄色瘤

0
回复
signature
多读书,读好书

jyby117 离线

帖子:118
粉蓝豆:1
经验:288
注册时间:2011-09-25
加关注  |  发消息
9 楼    发表于2011-11-19 23:19:06举报|引用
返回顶部 | 快捷回复

肉芽肿病变,

0
回复

6896 离线

帖子:68
粉蓝豆:92
经验:93
注册时间:2008-06-26
加关注  |  发消息
8 楼    发表于2011-11-19 13:59:31举报|引用
返回顶部 | 快捷回复

单核及多核组织细胞是本病不特异但恒定的特点,可惜高倍镜图片看不清核结构,显微镜下很清楚。

0
回复

一棵小草 离线

帖子:5101
粉蓝豆:12
经验:7184
注册时间:2008-07-07
加关注  |  发消息
7 楼    发表于2011-11-18 21:39:55举报|引用
返回顶部 | 快捷回复

图片很清晰,挺好,就是看不明白,好像就是很多的多核巨细胞和炎细胞?似乎还有真菌菌丝似的东西?似乎是个肉芽肿病变,还得做活检手术吧?

0
回复

6896 离线

帖子:68
粉蓝豆:92
经验:93
注册时间:2008-06-26
加关注  |  发消息
6 楼    发表于2011-11-18 11:40:38举报|引用
返回顶部 | 快捷回复

是的,拿来给大家看的主要原因是本病细胞学比组织学特征更明显。

0
回复

yhw 离线

帖子:17
粉蓝豆:1
经验:59
注册时间:2011-11-18
加关注  |  发消息
5 楼    发表于2011-11-18 11:36:56举报|引用
返回顶部 | 快捷回复

FNAC 是针吸细胞学吗

0
回复

6896 离线

帖子:68
粉蓝豆:92
经验:93
注册时间:2008-06-26
加关注  |  发消息
4 楼    发表于2011-11-18 10:19:42举报|引用
返回顶部 | 快捷回复

图片更新过了

0
回复

泉水叮咚响 离线

帖子:2163
粉蓝豆:113
经验:11663
注册时间:2010-12-30
加关注  |  发消息
3 楼    发表于2011-11-17 22:01:42举报|引用
返回顶部 | 快捷回复

 八成是手机拍的

0
回复
signature
刀不磨会生锈,人不学习会落后。

6896 离线

帖子:68
粉蓝豆:92
经验:93
注册时间:2008-06-26
加关注  |  发消息
2 楼    发表于2011-11-17 17:09:50举报|引用
返回顶部 | 快捷回复

不好意思,初次上传,没弄明白图片上传要领。

0
回复

向您学习 离线

帖子:918
粉蓝豆:379
经验:3872
注册时间:2006-10-25
加关注  |  发消息
1 楼    发表于2011-11-17 17:06:30举报|引用
返回顶部 | 快捷回复
本帖最后由 向您学习 于 2011-11-17 21:07:33 编辑

图片太小了

 

0
回复
signature
三人行,必有我师焉,择其善者而从之,择其不善者而改之。
回复:16 阅读:4566
共1页/16条首页上一页1下一页尾页
【免责声明】讨论内容仅作学术交流之用,不作为诊疗依据,由此而引起的法律问题作者及本站不承担任何责任。
快速回复
进入高级回复
您最多可输入10000个汉字,按 "Ctrl" + "Enter" 直接发送
搜索回复/乘电梯 ×
按内容
按会员
乘电梯
合作伙伴
友情链接