共1页/9条首页上一页1下一页尾页
回复:9 阅读:2600
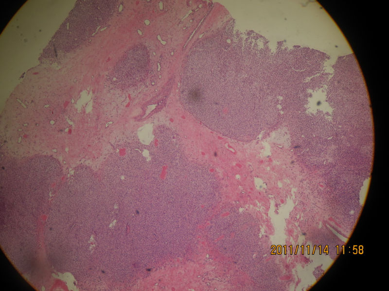
女性 65岁 鼻腔肿物

stone5300 离线

帖子:87
粉蓝豆:43
经验:127
注册时间:2008-11-04
加关注  |  发消息
楼主 发表于 2011-11-16 22:24|举报|关注(2)
浏览排序[ 顺序 逆序 楼主 支持 精彩 ]  快捷回复
  • 女性 65岁  鼻腔肿物图1
    图1
  • 女性 65岁  鼻腔肿物图2
    图2
  • 女性 65岁  鼻腔肿物图3
    图3
  • 女性 65岁  鼻腔肿物图4
    图4
  • 女性 65岁  鼻腔肿物图5
    图5
  • 女性 65岁  鼻腔肿物图6
    图6
  • 女性 65岁  鼻腔肿物图7
    图7
  • 女性 65岁  鼻腔肿物图8
    图8
  • 女性 65岁  鼻腔肿物图9
    图9
  • 女性 65岁  鼻腔肿物图10
    图10

 

标签:
0
添加参考诊断
×参考诊断
  

yang3463 离线

帖子:89
粉蓝豆:2
经验:107
注册时间:2009-08-16
加关注  |  发消息
3 楼    发表于2011-11-18 20:43:49举报|引用
返回顶部 | 快捷回复

神经内分泌肿瘤嗅母也不能除外

1

红树林
回复

病理020 离线

帖子:1344
粉蓝豆:5610
经验:1814
注册时间:2011-10-02
加关注  |  发消息
1 楼    发表于2011-11-17 07:48:50举报|引用
返回顶部 | 快捷回复

粘膜下肿瘤,瘤细胞大小一致,无异型性,符合涎腺型肿瘤。

0
回复
signature
邓学田

薄冰之旅 离线

帖子:1566
粉蓝豆:2098
经验:3456
注册时间:2006-11-05
加关注  |  发消息
7 楼    发表于2011-11-19 17:20:22举报|引用
返回顶部 | 快捷回复

肿瘤位于粘膜下,呈叶状,间隔可见血管组织,瘤细胞圆形,较为一致。瘤细胞周围可见典型的神经纤维基质(最后一图)。考虑嗅母。最好再加做CD99、NF、GFAP、Syn、Ki67。

0
回复

未知陨石 离线

帖子:479
粉蓝豆:13
经验:559
注册时间:2010-09-11
加关注  |  发消息
9 楼    发表于2011-11-20 21:25:23举报|引用
返回顶部 | 快捷回复

 小圆细胞恶性肿瘤,倾向淋巴瘤

0
回复
signature

wcq0879 离线

帖子:225
粉蓝豆:17
经验:529
注册时间:2010-08-18
加关注  |  发消息
8 楼    发表于2011-11-19 17:39:56举报|引用
返回顶部 | 快捷回复

神经的考虑

0
回复
signature
wangcheng

stone5300 离线

帖子:87
粉蓝豆:43
经验:127
注册时间:2008-11-04
加关注  |  发消息
4 楼    发表于2011-11-18 21:20:19举报|引用
返回顶部 | 快捷回复

免疫组化结果:
SMA(+),DES(-),CD34(-),S100(-),CK(-),VIM(+),HMB45(-)
 ,NSE(-),CD3(-),CD20(-)

0
回复

ahhbhzlin 离线

帖子:3090
粉蓝豆:50
经验:11826
注册时间:2008-07-24
加关注  |  发消息
5 楼    发表于2011-11-18 21:42:29举报|引用
返回顶部 | 快捷回复

结合免疫组化结果,符合血管球瘤

0
回复

向您学习 离线

帖子:918
粉蓝豆:379
经验:3872
注册时间:2006-10-25
加关注  |  发消息
6 楼    发表于2011-11-18 21:48:54举报|引用
返回顶部 | 快捷回复

考虑血管外皮瘤

0
回复
signature
三人行,必有我师焉,择其善者而从之,择其不善者而改之。

红与蓝 离线

帖子:188
粉蓝豆:1
经验:836
注册时间:2008-08-17
加关注  |  发消息
2 楼    发表于2011-11-18 16:50:23举报|引用
返回顶部 | 快捷回复

弥漫成片的小圆细胞,大小一致,界限较清,胞浆透亮,可见不明显的血管增生,首先考虑血管球瘤,需要做免疫组化鉴别(SMA,Caldesmon,DES,CD34,S100,CK,VIM)。血管球瘤主要发生于肢体远端的动静脉吻合支,偶可发生于血管球结构稀疏或缺如的部位,据报道,身体很多部位都可发生。

0
回复
回复:9 阅读:2600
共1页/9条首页上一页1下一页尾页
【免责声明】讨论内容仅作学术交流之用,不作为诊疗依据,由此而引起的法律问题作者及本站不承担任何责任。
快速回复
进入高级回复
您最多可输入10000个汉字,按 "Ctrl" + "Enter" 直接发送
搜索回复/乘电梯 ×
按内容
按会员
乘电梯
合作伙伴
友情链接