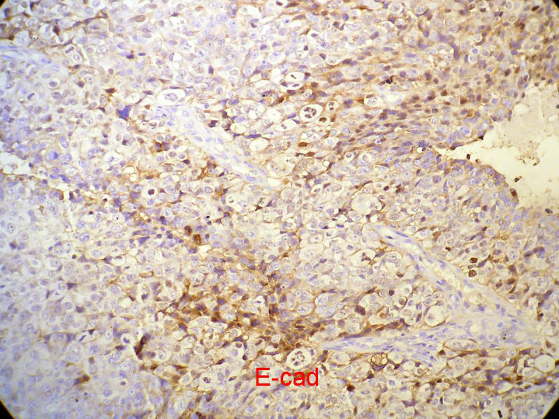
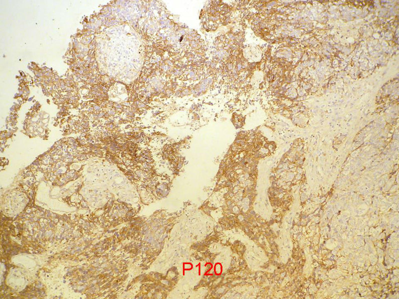
本例免疫组化结果:
ER(+), PR(+), HER-2(+), 没有采图。请判断E-ca是否阳性?

名称:图1
描述:幻灯片20

名称:图2
描述:幻灯片21

名称:图3
描述:幻灯片22

名称:图4
描述:幻灯片23

名称:图5
描述:幻灯片24

名称:图6
描述:幻灯片25

名称:图7
描述:幻灯片26

名称:图8
描述:幻灯片27
本例免疫组化结果:
ER(+), PR(+), HER-2(+), 没有采图。请判断E-ca是否阳性?

名称:图1
描述:幻灯片20

名称:图2
描述:幻灯片21

名称:图3
描述:幻灯片22

名称:图4
描述:幻灯片23

名称:图5
描述:幻灯片24

名称:图6
描述:幻灯片25

名称:图7
描述:幻灯片26

名称:图8
描述:幻灯片27