共1页/4条首页上一页1下一页尾页
回复:4 阅读:1810
右大腿包块

futer456 离线

帖子:283
粉蓝豆:21
经验:632
注册时间:2007-10-18
加关注  |  发消息
楼主 发表于 2011-11-13 21:09|举报|关注(0)
浏览排序[ 顺序 逆序 楼主 支持 精彩 ]  快捷回复

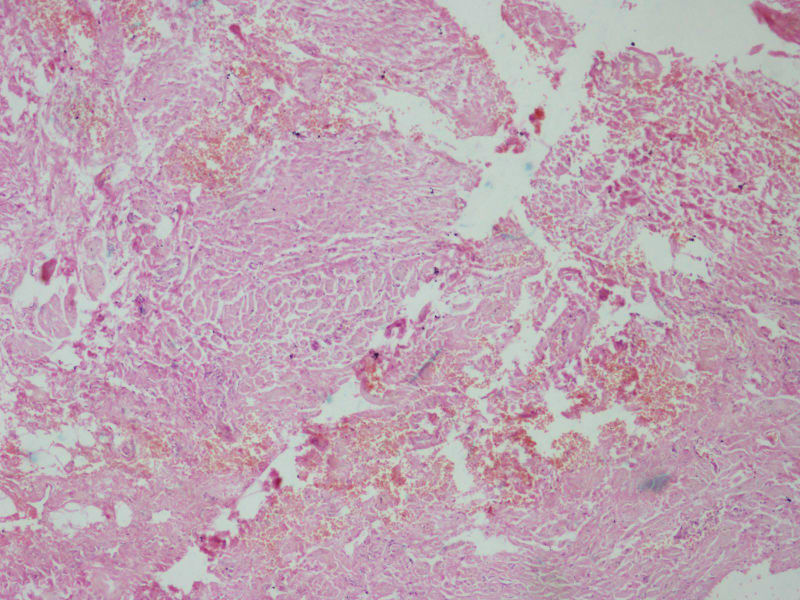
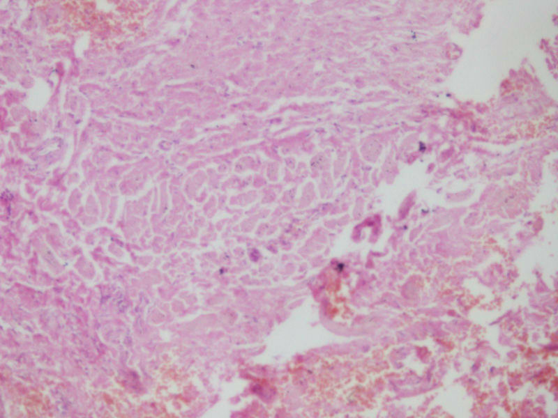
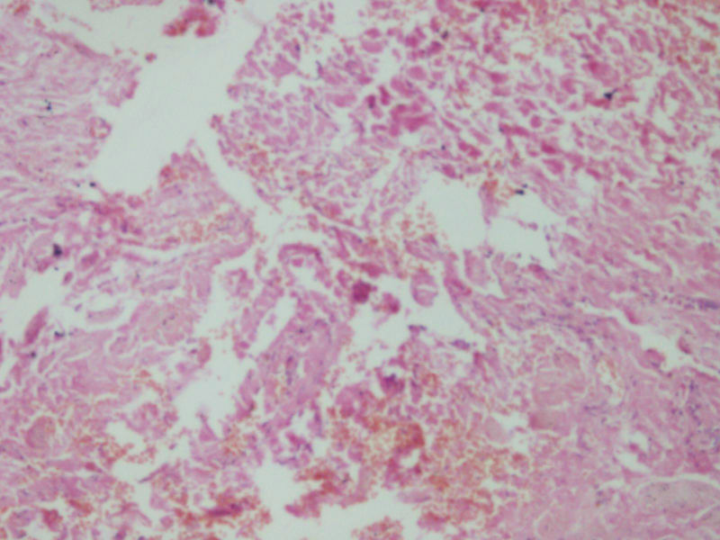
 女17岁发现右大腿腘窝处一包块,渐进性增大4年,


  • 右大腿包块图1
    图1
  • 右大腿包块图2
    图2
  • 右大腿包块图3
    图3
  • 右大腿包块图4
    图4
  • 右大腿包块图5
    图5
  • 右大腿包块图6
    图6
 
标签:
本帖最后由 futer456 于 2011-11-13 21:10:47 编辑
0
signature
永不放弃
添加参考诊断
×参考诊断
  

风和日丽 离线

帖子:361
粉蓝豆:22
经验:1312
注册时间:2008-12-11
加关注  |  发消息
1 楼    发表于2011-11-13 22:09:36举报|引用
返回顶部 | 快捷回复

像血管瘤

0
回复

草原 离线

帖子:1302
粉蓝豆:1718
经验:6166
注册时间:2008-06-28
加关注  |  发消息
2 楼    发表于2011-11-14 10:52:10举报|引用
返回顶部 | 快捷回复

肿物多大,有手术史吗?片子染得不太好,图三像异物。

0
回复
signature
Stop walking today and you'll have to run tomorrow.

futer456 离线

帖子:283
粉蓝豆:21
经验:632
注册时间:2007-10-18
加关注  |  发消息
3 楼    发表于2011-11-14 22:00:06举报|引用
返回顶部 | 快捷回复

据说肿物很大,但是送来只有黄豆大小,可能是只取了肿物周边的吧

0
回复
signature
永不放弃

精于本业 离线

帖子:131
粉蓝豆:147
经验:221
注册时间:2011-09-05
加关注  |  发消息
4 楼    发表于2011-11-14 22:30:46举报|引用
返回顶部 | 快捷回复

片子染得不太好,请提供清晰的图片

0
回复
回复:4 阅读:1810
共1页/4条首页上一页1下一页尾页
【免责声明】讨论内容仅作学术交流之用,不作为诊疗依据,由此而引起的法律问题作者及本站不承担任何责任。
快速回复
进入高级回复
您最多可输入10000个汉字,按 "Ctrl" + "Enter" 直接发送
搜索回复/乘电梯 ×
按内容
按会员
乘电梯
合作伙伴
友情链接