共1页/10条首页上一页1下一页尾页
回复:10 阅读:2715
右外耳道肿物,新加免疫组化

xclbljys 离线

帖子:5253
粉蓝豆:224
经验:7005
注册时间:2008-11-21
加关注  |  发消息
楼主 发表于 2011-11-12 18:26|举报|关注(1)
浏览排序[ 顺序 逆序 楼主 支持 精彩 ]  快捷回复

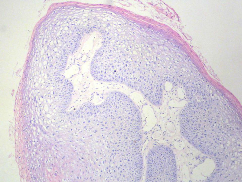
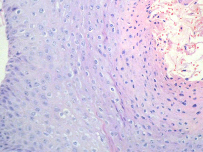
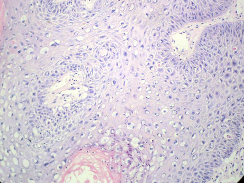
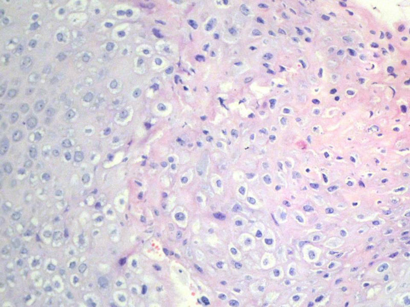
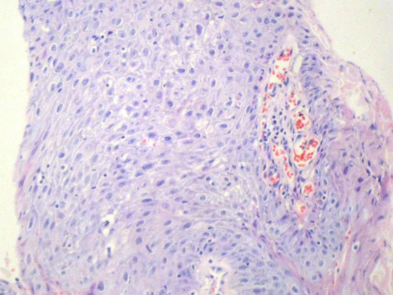
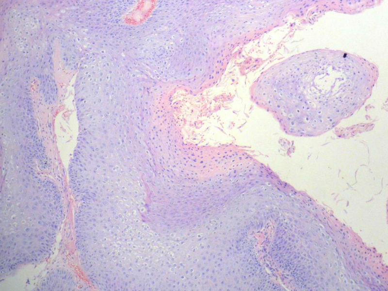
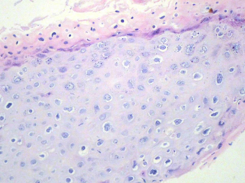
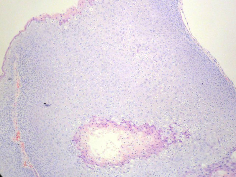
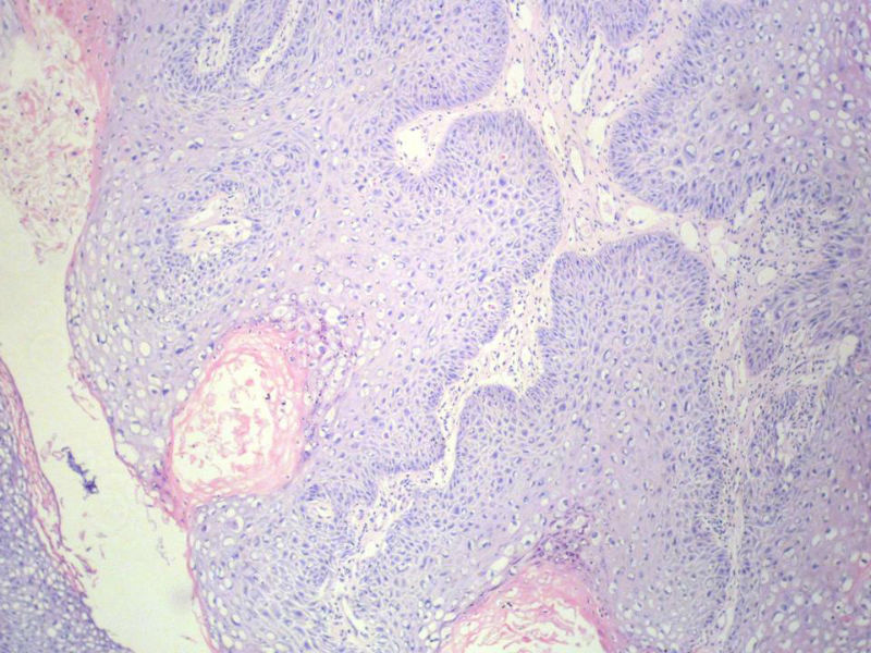
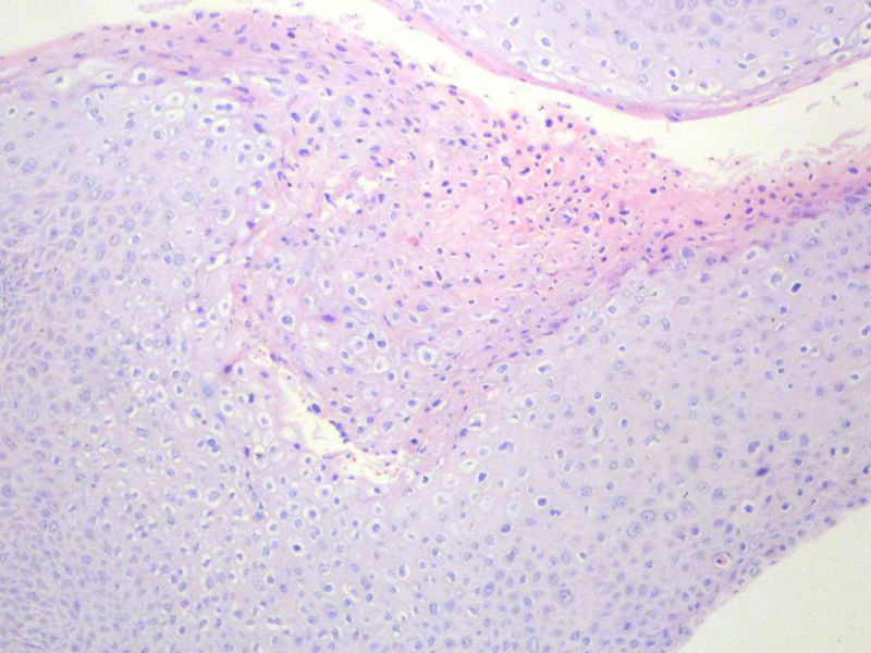
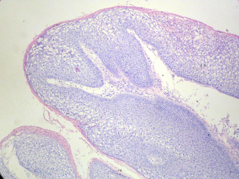
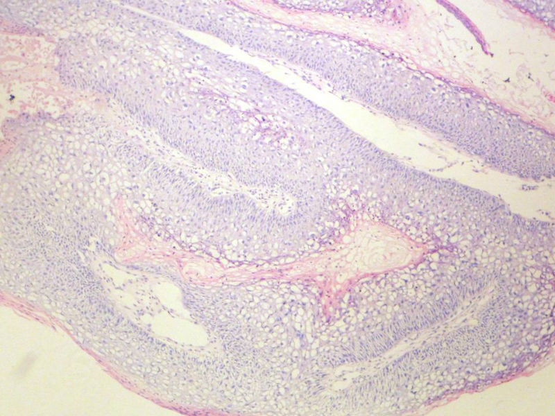
 男,72岁,右耳听力下降两个月,检查右外耳道有黄豆大肿物,表面乳头状,手术切除。

右外耳道肿物,新加免疫组化图1
名称:图1
描述:幻灯片2
右外耳道肿物,新加免疫组化图2
名称:图2
描述:幻灯片3
右外耳道肿物,新加免疫组化图3
名称:图3
描述:幻灯片4
右外耳道肿物,新加免疫组化图4
名称:图4
描述:幻灯片5
右外耳道肿物,新加免疫组化图5
名称:图5
描述:幻灯片6
右外耳道肿物,新加免疫组化图6
名称:图6
描述:幻灯片7
右外耳道肿物,新加免疫组化图7
名称:图7
描述:幻灯片8
右外耳道肿物,新加免疫组化图8
名称:图8
描述:幻灯片9
右外耳道肿物,新加免疫组化图9
名称:图9
描述:幻灯片10
右外耳道肿物,新加免疫组化图10
名称:图10
描述:幻灯片11
右外耳道肿物,新加免疫组化图11
名称:图11
描述:幻灯片12
右外耳道肿物,新加免疫组化图12
名称:图12
描述:幻灯片13


标签:
本帖最后由 xclbljys 于 2011-11-16 20:37:15 编辑
0
signature
许春雷
添加参考诊断
×参考诊断
  

刀尖上的舞者 离线

帖子:1763
粉蓝豆:87
经验:3356
注册时间:2010-12-14
加关注  |  发消息
1 楼    发表于2011-11-14 13:40:58举报|引用
返回顶部 | 快捷回复

乳头状瘤

 

0
回复

山菜 离线

帖子:91
粉蓝豆:9
经验:311
注册时间:2007-11-22
加关注  |  发消息
2 楼    发表于2011-11-14 13:45:03举报|引用
返回顶部 | 快捷回复

 乳头状瘤

0
回复
signature
路为纸,地成册,行作笔,心当墨

浪漫主义 离线

帖子:918
粉蓝豆:270
经验:1563
注册时间:2007-01-15
加关注  |  发消息
3 楼    发表于2011-11-14 14:58:58举报|引用
返回顶部 | 快捷回复

乳头状瘤

0
回复
signature
风雨兼程

xclbljys 离线

帖子:5253
粉蓝豆:224
经验:7005
注册时间:2008-11-21
加关注  |  发消息
4 楼    发表于2011-11-14 20:44:33举报|引用
返回顶部 | 快捷回复
本帖最后由 xclbljys 于 2011-11-14 20:45:06 编辑

 

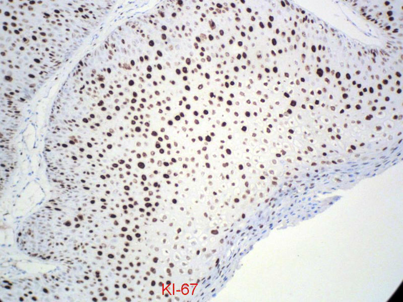
请教:此例的组织像有恶变可能性吗?


名称:图1
描述:演示文稿1
0
回复
signature
许春雷

ahhbhzlin 离线

帖子:3090
粉蓝豆:50
经验:11826
注册时间:2008-07-24
加关注  |  发消息
5 楼    发表于2011-11-14 21:02:02举报|引用
返回顶部 | 快捷回复

 乳头状瘤,有轻度异形,有恶变倾向

0
回复

ahhbhzlin 离线

帖子:3090
粉蓝豆:50
经验:11826
注册时间:2008-07-24
加关注  |  发消息
6 楼    发表于2011-11-14 21:02:50举报|引用
返回顶部 | 快捷回复

 乳头状瘤,轻度异形,有恶变倾向

0
回复

binghongcha 离线

帖子:311
粉蓝豆:452
经验:334
注册时间:2011-08-02
加关注  |  发消息
7 楼    发表于2011-11-14 21:09:20举报|引用
返回顶部 | 快捷回复

乳头状瘤,上皮内可见挖空样细胞,建议HPV检测

0
回复

广秀 离线

帖子:2711
粉蓝豆:1246
经验:3502
注册时间:2009-09-15
加关注  |  发消息
8 楼    发表于2011-11-15 06:18:17举报|引用
返回顶部 | 快捷回复

乳头状瘤,上皮内可见挖空样细胞,建议HPV检测

0
回复
signature
人淡如菊,心素如简。

200406 离线

帖子:1385
粉蓝豆:145
经验:2735
注册时间:2011-08-08
加关注  |  发消息
9 楼    发表于2011-11-16 20:18:05举报|引用
返回顶部 | 快捷回复

鳞状上皮乳头状瘤,未发现恶性变。

0
回复

xclbljys 离线

帖子:5253
粉蓝豆:224
经验:7005
注册时间:2008-11-21
加关注  |  发消息
10 楼    发表于2011-11-16 20:35:54举报|引用
返回顶部 | 快捷回复

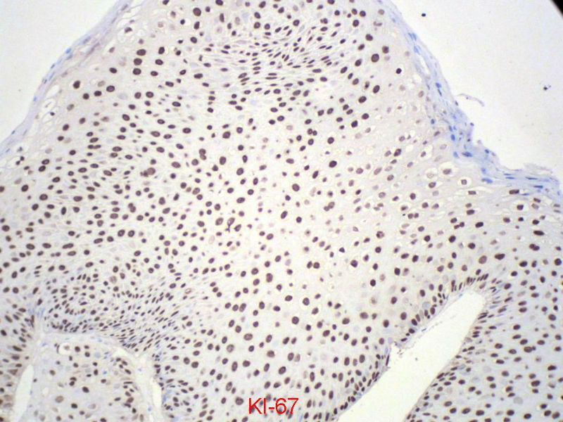
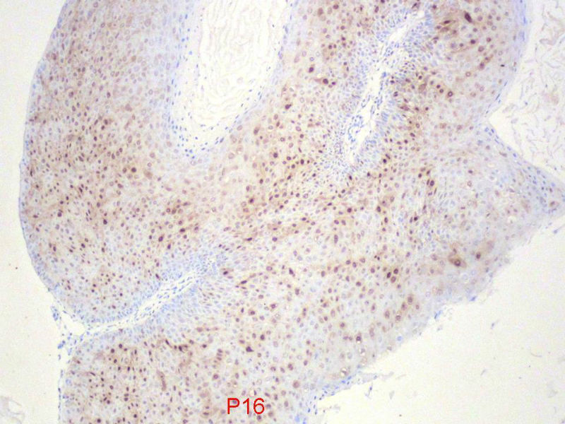
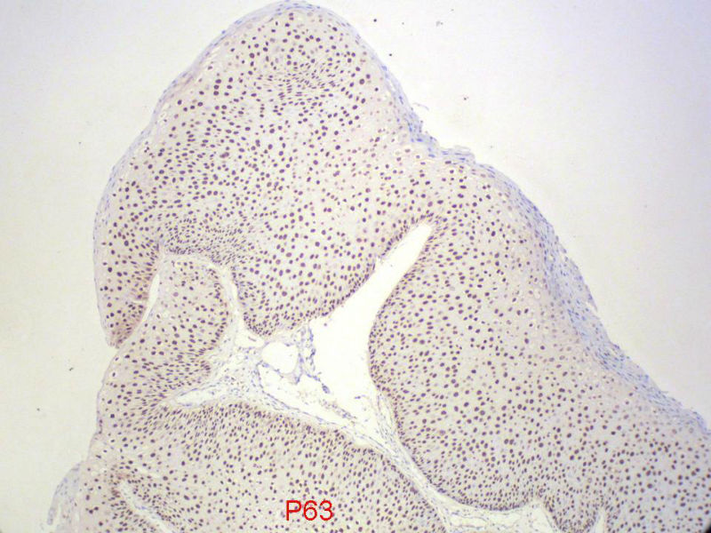
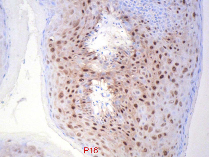
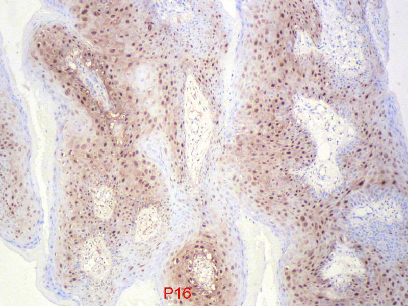
 您看了这样的免疫组化结果,会有什么样的考虑呢?



名称:图1
描述:幻灯片14

名称:图2
描述:幻灯片15

名称:图3
描述:幻灯片16

名称:图4
描述:幻灯片17

名称:图5
描述:幻灯片18

名称:图6
描述:幻灯片19

名称:图7
描述:幻灯片20

名称:图8
描述:幻灯片21

名称:图9
描述:幻灯片22

0
回复
signature
许春雷
回复:10 阅读:2715
共1页/10条首页上一页1下一页尾页
【免责声明】讨论内容仅作学术交流之用,不作为诊疗依据,由此而引起的法律问题作者及本站不承担任何责任。
快速回复
进入高级回复
您最多可输入10000个汉字,按 "Ctrl" + "Enter" 直接发送
搜索回复/乘电梯 ×
按内容
按会员
乘电梯
合作伙伴
友情链接