共1页/10条首页上一页1下一页尾页
回复:10 阅读:3324
各位老师,胎盘母体面一包块,该诊断什么?

samool 离线

帖子:250
粉蓝豆:11
经验:389
注册时间:2006-11-29
加关注  |  发消息
楼主 发表于 2011-11-10 17:03|举报|关注(2)
浏览排序[ 顺序 逆序 楼主 支持 精彩 ]  快捷回复

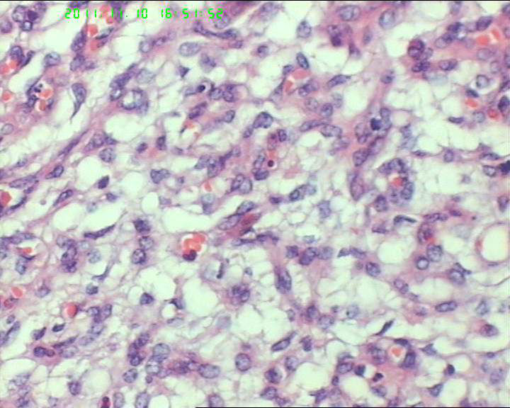
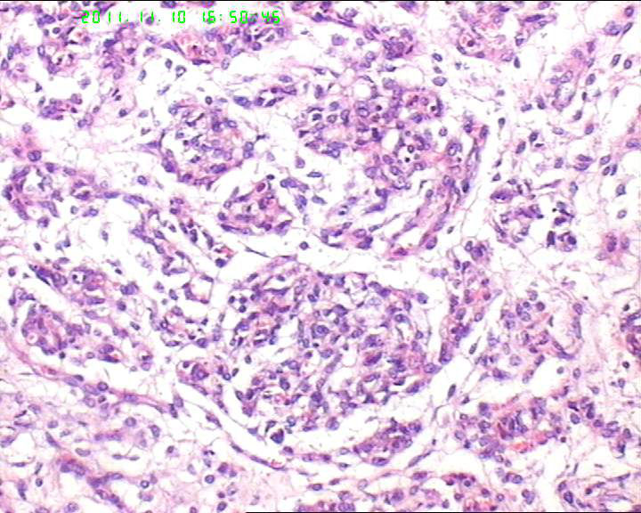
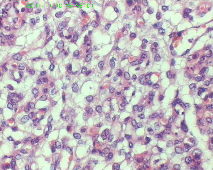
 19岁,停经33周,前置胎盘,剖宫产。胎盘母体面可见一灰褐色结节,直径约5.5cm,包膜完整,切面实性,质略嫩。

  • 各位老师,胎盘母体面一包块,该诊断什么?图1
    图1
  • 各位老师,胎盘母体面一包块,该诊断什么?图2
    图2
  • 各位老师,胎盘母体面一包块,该诊断什么?图3
    图3
  • 各位老师,胎盘母体面一包块,该诊断什么?图4
    图4
  • 各位老师,胎盘母体面一包块,该诊断什么?图5
    图5
  • 各位老师,胎盘母体面一包块,该诊断什么?图6
    图6
  • 各位老师,胎盘母体面一包块,该诊断什么?图7
    图7
  • 各位老师,胎盘母体面一包块,该诊断什么?图8
    图8
  • 各位老师,胎盘母体面一包块,该诊断什么?图9
    图9
  • 各位老师,胎盘母体面一包块,该诊断什么?图10
    图10
  • 各位老师,胎盘母体面一包块,该诊断什么?图11
    图11
  • 各位老师,胎盘母体面一包块,该诊断什么?图12
    图12
  • 各位老师,胎盘母体面一包块,该诊断什么?图13
    图13
  • 各位老师,胎盘母体面一包块,该诊断什么?图14
    图14
  • 各位老师,胎盘母体面一包块,该诊断什么?图15
    图15
  • 各位老师,胎盘母体面一包块,该诊断什么?图16
    图16
  • 各位老师,胎盘母体面一包块,该诊断什么?图17
    图17
  • 各位老师,胎盘母体面一包块,该诊断什么?图18
    图18
  • 各位老师,胎盘母体面一包块,该诊断什么?图19
    图19
  • 各位老师,胎盘母体面一包块,该诊断什么?图20
    图20


标签:
本帖最后由 samool 于 2011-11-10 17:05:24 编辑
0
添加参考诊断
×参考诊断
  

binghongcha 离线

帖子:311
粉蓝豆:452
经验:334
注册时间:2011-08-02
加关注  |  发消息
4 楼    发表于2011-11-10 20:46:41举报|引用
返回顶部 | 快捷回复

典型的绒毛膜血管瘤

3

Liu_Ai..

亡羊补牢

追逐太阳
回复

yypyxl 离线

帖子:53
粉蓝豆:27
经验:752
注册时间:2009-11-19
加关注  |  发消息
7 楼    发表于2011-11-12 10:55:07举报|引用
返回顶部 | 快捷回复

典型的胎盘毛细血管瘤,发病率约1%,前一阵刚遇到一例。

1

吉祥如意
回复

亡羊补牢 离线

帖子:1304
粉蓝豆:2
经验:2118
注册时间:2010-09-29
加关注  |  发消息
5 楼    发表于2011-11-10 22:36:52举报|引用
返回顶部 | 快捷回复
引用 4 楼 binghongcha 在 2011-11-10 20:46:41 的发言:

典型的绒毛膜血管瘤


0
回复
signature

一花一世界,一木一浮生

linyguo 离线

帖子:2365
粉蓝豆:43
经验:2514
注册时间:2009-08-09
加关注  |  发消息
1 楼    发表于2011-11-10 17:21:24举报|引用
返回顶部 | 快捷回复

血管瘤

0
回复

hyl76 离线

帖子:781
粉蓝豆:656
经验:3771
注册时间:2007-06-05
加关注  |  发消息
6 楼    发表于2011-11-11 15:13:45举报|引用
返回顶部 | 快捷回复

血管瘤

0
回复
signature
学无止境,不进则退!

雨竹 离线

帖子:316
粉蓝豆:689
经验:479
注册时间:2011-07-19
加关注  |  发消息
10 楼    发表于2011-11-17 17:26:25举报|引用
返回顶部 | 快捷回复

血管瘤

0
回复

xiaoxihao 离线

帖子:123
粉蓝豆:22
经验:230
注册时间:2008-07-17
加关注  |  发消息
8 楼    发表于2011-11-12 21:53:42举报|引用
返回顶部 | 快捷回复

毛细血管瘤,胎盘常见的肿瘤

0
回复

jiangxiaoyu 离线

帖子:978
粉蓝豆:15
经验:1226
注册时间:2007-10-31
加关注  |  发消息
2 楼    发表于2011-11-10 20:23:12举报|引用
返回顶部 | 快捷回复

血管瘤

0
回复

phybee 离线

帖子:184
粉蓝豆:53
经验:217
注册时间:2010-05-25
加关注  |  发消息
9 楼    发表于2011-11-12 22:02:10举报|引用
返回顶部 | 快捷回复

血管瘤

0
回复
signature
努力!努力!向前辈学习!

ningxing_2007 离线

帖子:28
粉蓝豆:15
经验:61
注册时间:2011-09-28
加关注  |  发消息
3 楼    发表于2011-11-10 20:40:13举报|引用
返回顶部 | 快捷回复

血管瘤

0
回复
signature
淡泊以明志,宁静以至远
回复:10 阅读:3324
共1页/10条首页上一页1下一页尾页
【免责声明】讨论内容仅作学术交流之用,不作为诊疗依据,由此而引起的法律问题作者及本站不承担任何责任。
快速回复
进入高级回复
您最多可输入10000个汉字,按 "Ctrl" + "Enter" 直接发送
搜索回复/乘电梯 ×
按内容
按会员
乘电梯
合作伙伴
友情链接