共1页/7条首页上一页1下一页尾页
回复:7 阅读:2278
左上颌窦占位

xclbljys 离线

帖子:5253
粉蓝豆:224
经验:7005
注册时间:2008-11-21
加关注  |  发消息
楼主 发表于 2011-11-08 20:45|举报|关注(1)
浏览排序[ 顺序 逆序 楼主 支持 精彩 ]  快捷回复

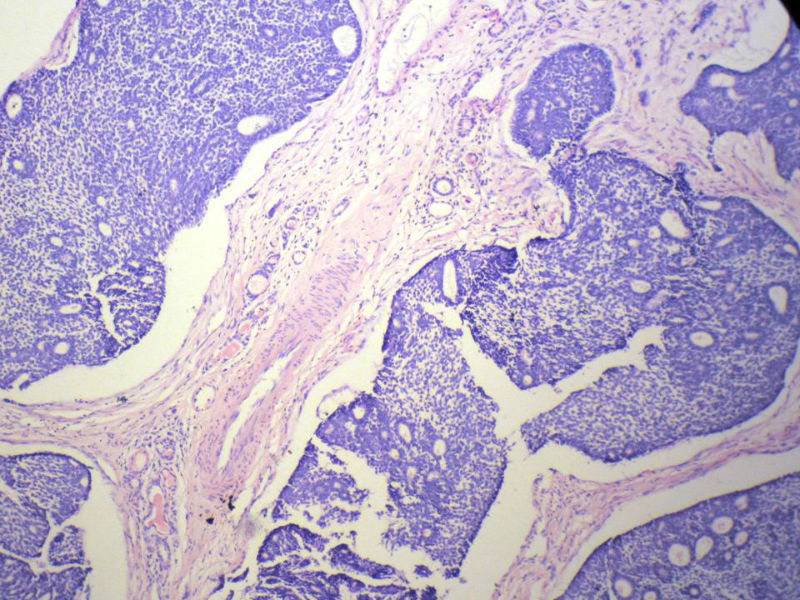
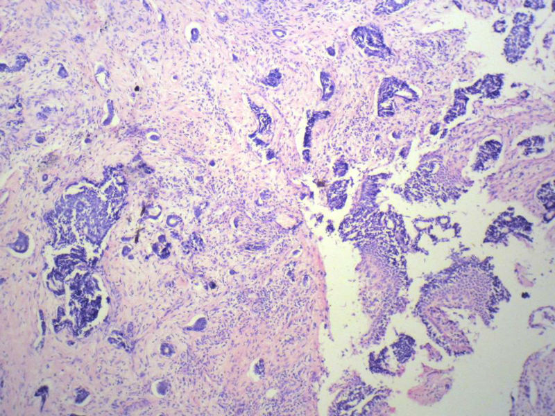
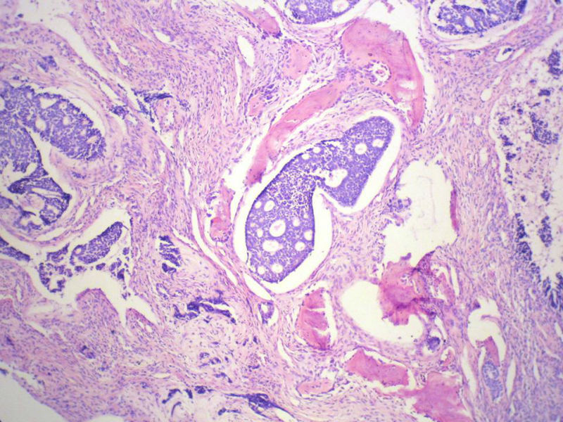
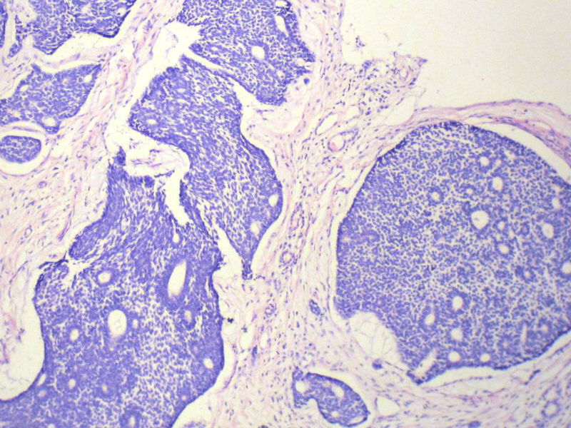
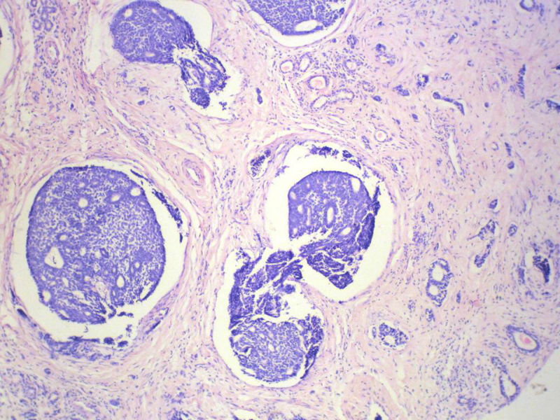
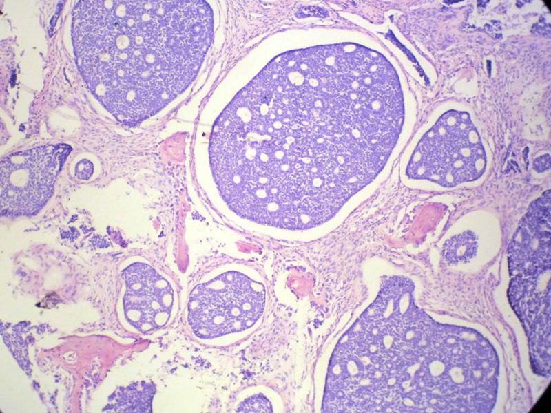
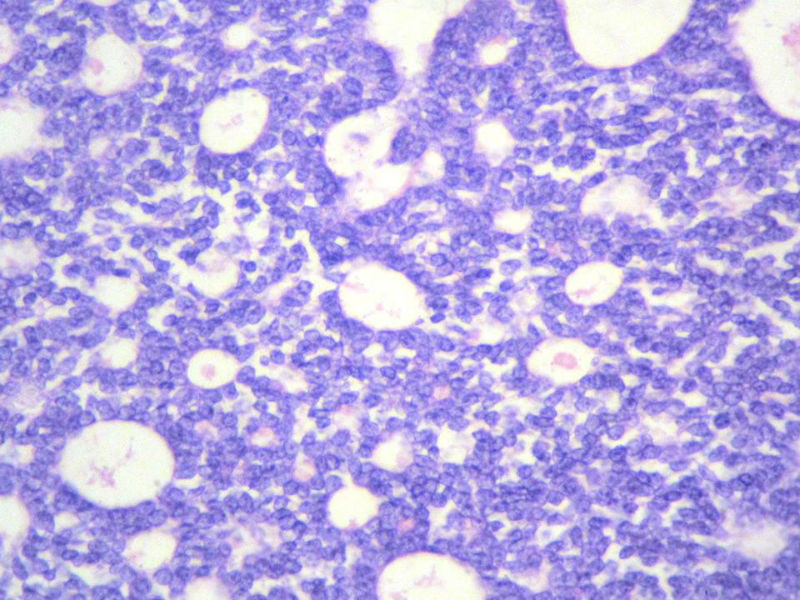
 男,76岁,鼻塞两个月,CT提示左上颌窦占位,局部骨质破坏,口腔硬腭下降,局部活检。

左上颌窦占位图1
名称:图1
描述:幻灯片2
左上颌窦占位图2
名称:图2
描述:幻灯片3
左上颌窦占位图3
名称:图3
描述:幻灯片4
左上颌窦占位图4
名称:图4
描述:幻灯片5
左上颌窦占位图5
名称:图5
描述:幻灯片6
左上颌窦占位图6
名称:图6
描述:幻灯片7
左上颌窦占位图7
名称:图7
描述:幻灯片8
左上颌窦占位图8
名称:图8
描述:幻灯片9
左上颌窦占位图9
名称:图9
描述:幻灯片10
左上颌窦占位图10
名称:图10
描述:幻灯片11
左上颌窦占位图11
名称:图11
描述:幻灯片12
左上颌窦占位图12
名称:图12
描述:幻灯片13
左上颌窦占位图13
名称:图13
描述:幻灯片14
左上颌窦占位图14
名称:图14
描述:幻灯片15

标签:
0
signature
许春雷
添加参考诊断
×参考诊断
  

binghongcha 离线

帖子:311
粉蓝豆:452
经验:334
注册时间:2011-08-02
加关注  |  发消息
1 楼    发表于2011-11-08 20:55:35举报|引用
返回顶部 | 快捷回复

腺样囊性癌

3

laowon

贝贝

rddlr
回复

山菜 离线

帖子:91
粉蓝豆:9
经验:311
注册时间:2007-11-22
加关注  |  发消息
2 楼    发表于2011-11-08 21:25:51举报|引用
返回顶部 | 快捷回复

腺样囊性癌

0
回复
signature
路为纸,地成册,行作笔,心当墨

浪漫主义 离线

帖子:918
粉蓝豆:270
经验:1563
注册时间:2007-01-15
加关注  |  发消息
3 楼    发表于2011-11-08 21:53:06举报|引用
返回顶部 | 快捷回复

腺样囊性癌

0
回复
signature
风雨兼程

老陈酒 离线

帖子:220
粉蓝豆:1673
经验:945
注册时间:2010-07-06
加关注  |  发消息
4 楼    发表于2011-11-08 21:53:41举报|引用
返回顶部 | 快捷回复

同意楼上意见

0
回复
signature
老陈酒

秋月明珠 离线

帖子:148
粉蓝豆:22
经验:431
注册时间:2009-09-13
加关注  |  发消息
5 楼    发表于2011-11-12 13:21:03举报|引用
返回顶部 | 快捷回复

腺样囊性癌

0
回复
signature
华夏,你的成长造就了新一代病理学界大家的进步!

心雨 离线

帖子:419
粉蓝豆:1
经验:687
注册时间:2011-04-17
加关注  |  发消息
6 楼    发表于2011-11-12 15:52:34举报|引用
返回顶部 | 快捷回复

腺样囊性癌,图像很典型的

0
回复

lsm0075 离线

帖子:535
粉蓝豆:2591
经验:1947
注册时间:2011-10-16
加关注  |  发消息
7 楼    发表于2012-02-29 14:33:17举报|引用
返回顶部 | 快捷回复

腺样囊性癌

0
回复
signature
远离外界的浮躁与喧嚣,享受镜下的平和与宁静
回复:7 阅读:2278
共1页/7条首页上一页1下一页尾页
【免责声明】讨论内容仅作学术交流之用,不作为诊疗依据,由此而引起的法律问题作者及本站不承担任何责任。
快速回复
进入高级回复
您最多可输入10000个汉字,按 "Ctrl" + "Enter" 直接发送
搜索回复/乘电梯 ×
按内容
按会员
乘电梯
合作伙伴
友情链接