共1页/7条首页上一页1下一页尾页
回复:7 阅读:2356
脑左颞部占位

xclbljys 离线

帖子:5253
粉蓝豆:224
经验:7005
注册时间:2008-11-21
加关注  |  发消息
楼主 发表于 2011-11-07 22:17|举报|关注(0)
浏览排序[ 顺序 逆序 楼主 支持 精彩 ]  快捷回复

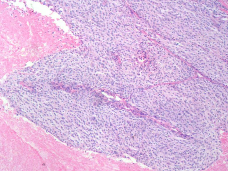
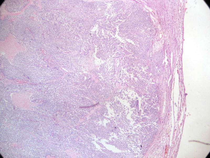
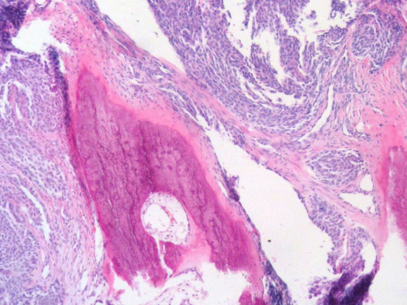
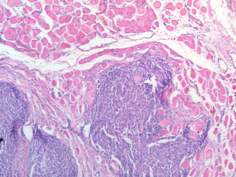
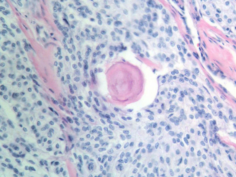
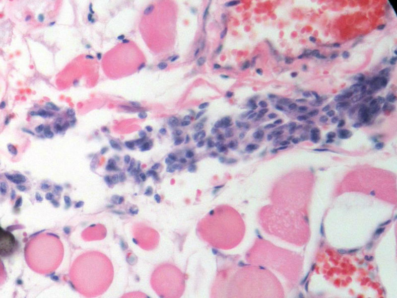
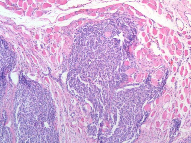
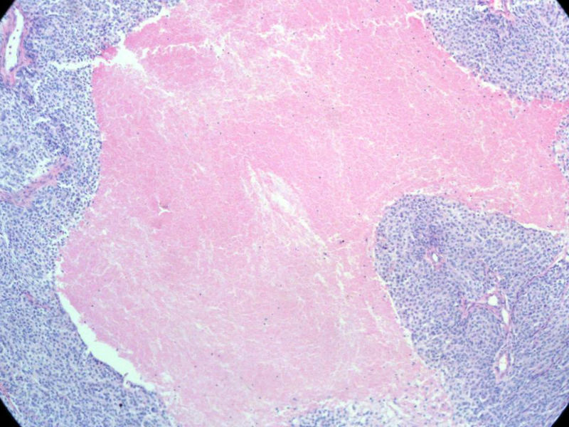
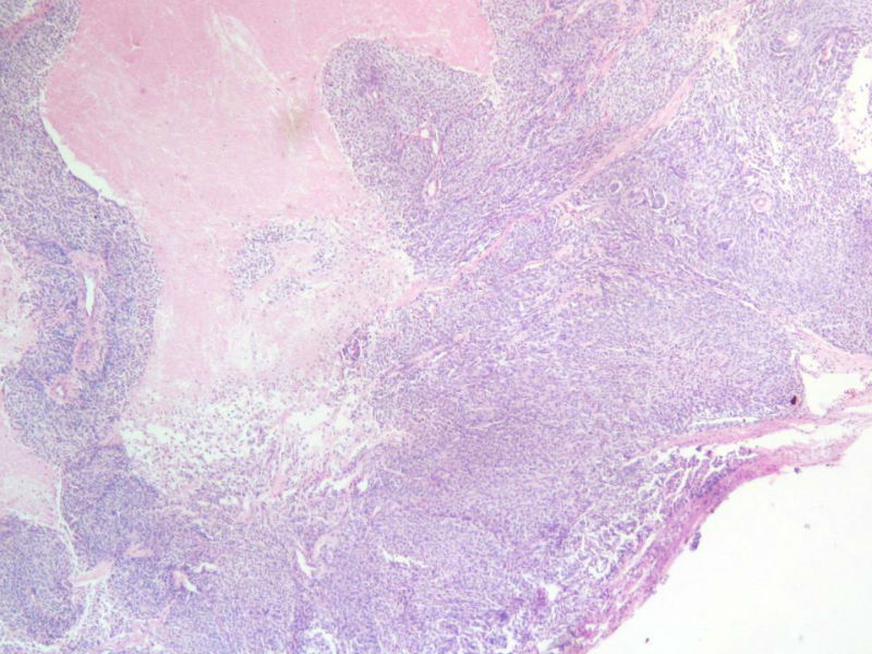
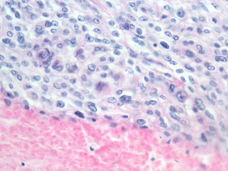
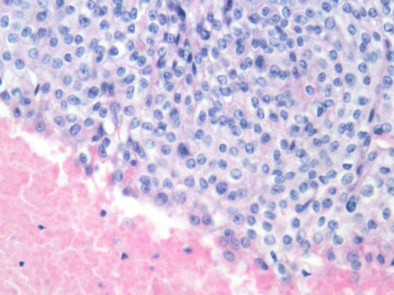
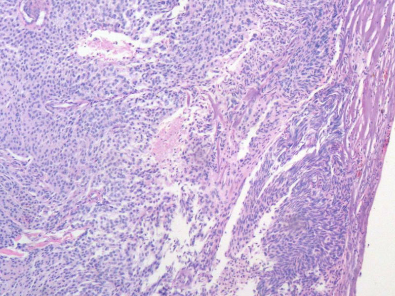
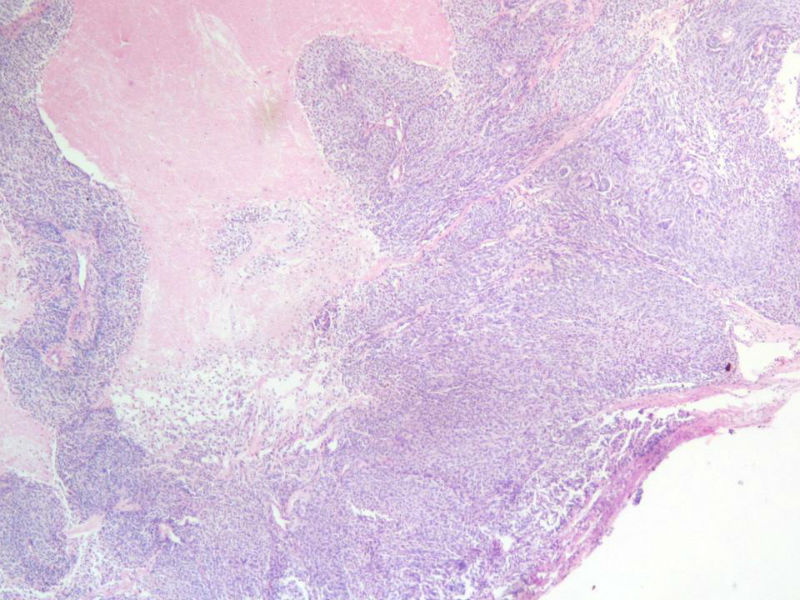
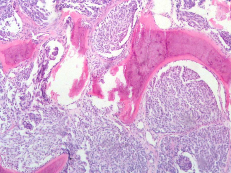
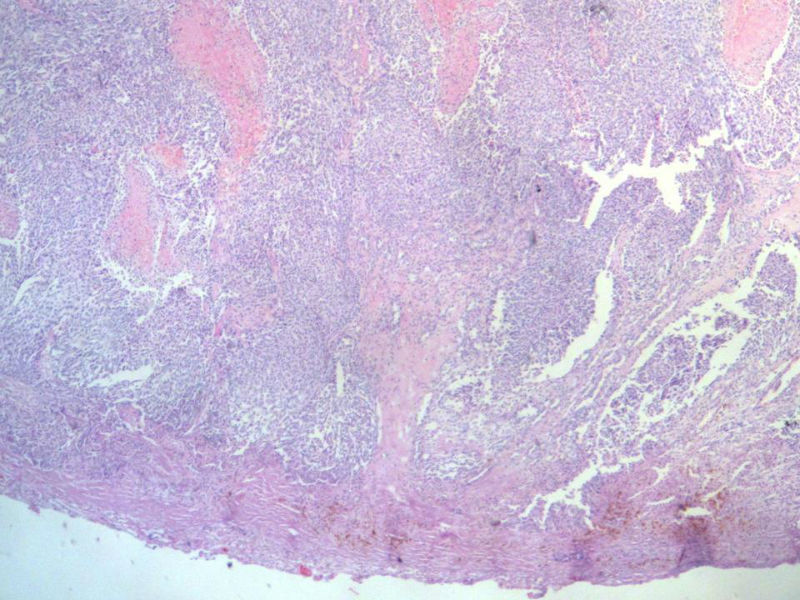
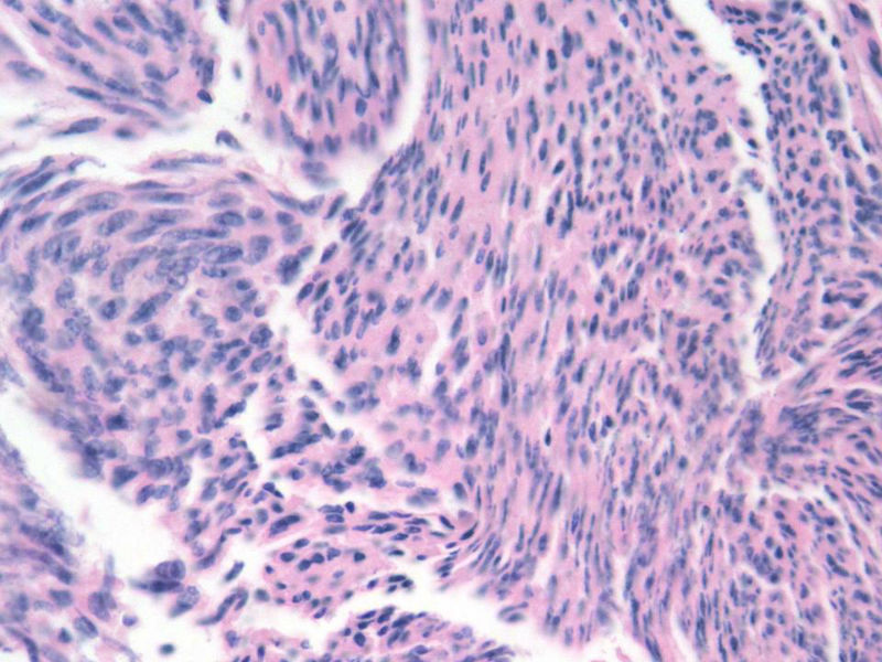
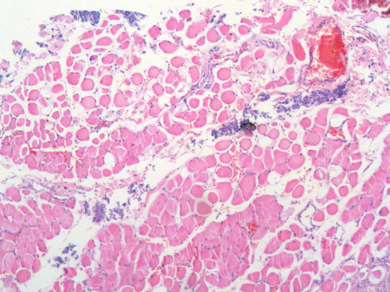
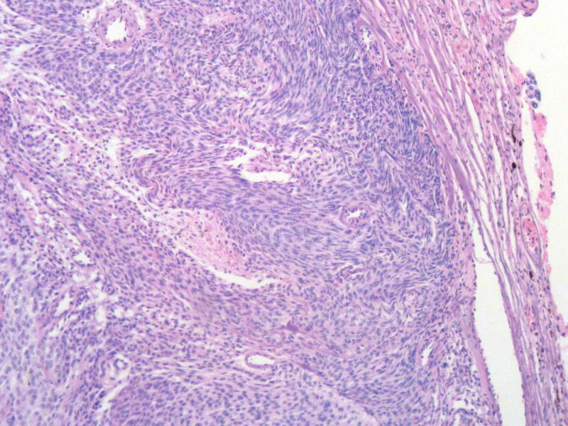
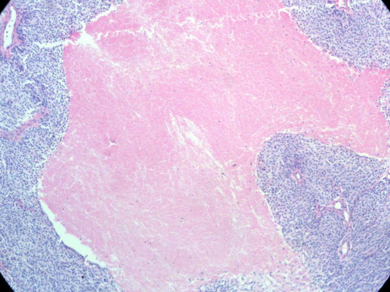
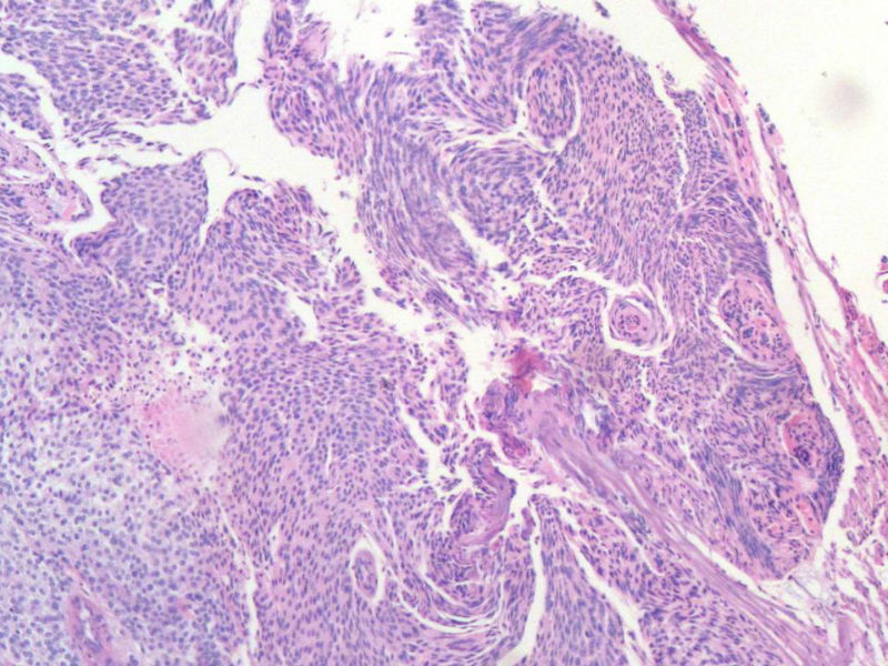
 女,64岁,头晕半月,CT检查颅内左颞叶占位,侵犯颅骨和颞肌,手术切除肿物。肉眼,灰白色结节状肿物,3X3X2厘米,边界不清,切面灰黄色,质软。

特别提示:手术前曾做过介入肿瘤栓塞。镜下核分裂15/HP。脑左颞部占位图1

名称:图1
描述:幻灯片2
脑左颞部占位图2
名称:图2
描述:幻灯片3
脑左颞部占位图3
名称:图3
描述:幻灯片4
脑左颞部占位图4
名称:图4
描述:幻灯片5
脑左颞部占位图5
名称:图5
描述:幻灯片6
脑左颞部占位图6
名称:图6
描述:幻灯片7
脑左颞部占位图7
名称:图7
描述:幻灯片8
脑左颞部占位图8
名称:图8
描述:幻灯片9
脑左颞部占位图9
名称:图9
描述:幻灯片10
脑左颞部占位图10
名称:图10
描述:幻灯片11
脑左颞部占位图11
名称:图11
描述:幻灯片12
脑左颞部占位图12
名称:图12
描述:幻灯片13
脑左颞部占位图13
名称:图13
描述:幻灯片14
脑左颞部占位图14
名称:图14
描述:幻灯片15
脑左颞部占位图15
名称:图15
描述:幻灯片16
脑左颞部占位图16
名称:图16
描述:幻灯片17
脑左颞部占位图17
名称:图17
描述:幻灯片18
脑左颞部占位图18
名称:图18
描述:幻灯片19
脑左颞部占位图19
名称:图19
描述:幻灯片20


标签:
本帖最后由 xclbljys 于 2011-11-08 07:22:07 编辑
0
signature
许春雷
添加参考诊断
×参考诊断
  

wangdingding 离线

帖子:1474
粉蓝豆:98
经验:6042
注册时间:2006-10-19
加关注  |  发消息
1 楼    发表于2011-11-08 09:03:56举报|引用
返回顶部 | 快捷回复

恶性脑膜瘤

0
回复

何官 离线

帖子:61
粉蓝豆:120
经验:87
注册时间:2010-06-11
加关注  |  发消息
2 楼    发表于2011-11-08 11:02:44举报|引用
返回顶部 | 快捷回复

恶性脑膜瘤,有肌肉和骨的侵犯。

0
回复

xclbljys 离线

帖子:5253
粉蓝豆:224
经验:7005
注册时间:2008-11-21
加关注  |  发消息
3 楼    发表于2011-11-09 21:05:55举报|引用
返回顶部 | 快捷回复
本帖最后由 xclbljys 于 2011-11-09 21:09:39 编辑

 请教:本例患者曾做过介入肿瘤栓塞,图片内的坏死改变应该归为栓塞性梗死,还是肿瘤性坏死?两者形态上有区别吗?



名称:图1
描述:幻灯片4


名称:图1
描述:幻灯片5

0
回复
signature
许春雷

phybee 离线

帖子:184
粉蓝豆:53
经验:217
注册时间:2010-05-25
加关注  |  发消息
4 楼    发表于2011-11-09 22:20:22举报|引用
返回顶部 | 快捷回复

恶性脑膜瘤

1

海上明月
回复
signature
努力!努力!向前辈学习!

海上明月 离线

帖子:9476
粉蓝豆:1172
经验:10007
注册时间:2009-08-29
加关注  |  发消息
5 楼    发表于2011-11-11 20:04:13举报|引用
返回顶部 | 快捷回复

梭形细胞与上皮样漩涡状结构,富于细胞,见个别沙砾体,并见肿瘤性坏死。颅骨及其横纹肌等软组织内见肿瘤呈侵袭性生长。但细胞异型性不是很大。鉴别:

1)恶性脑膜瘤

2)非典型性脑膜瘤

由于非典型性脑膜瘤也可以发生地图状坏死,甚至侵袭性生长。需要计数核分裂数/10HPF,以资鉴别诊断。

 

4

xclbljys

何官

yilian20..

h740925
回复
signature
王军臣

乐乐 离线

帖子:77
粉蓝豆:1306
经验:125
注册时间:2009-02-06
加关注  |  发消息
6 楼    发表于2011-11-15 21:42:13举报|引用
返回顶部 | 快捷回复

倾向诊断非典型脑膜瘤,WHOⅢ级

0
回复

yilian206 离线

帖子:204
粉蓝豆:1119
经验:558
注册时间:2010-07-30
加关注  |  发消息
7 楼    发表于2011-11-16 09:59:23举报|引用
返回顶部 | 快捷回复

非典型脑膜瘤,应该是WHOⅡ级。

0
回复
回复:7 阅读:2356
共1页/7条首页上一页1下一页尾页
【免责声明】讨论内容仅作学术交流之用,不作为诊疗依据,由此而引起的法律问题作者及本站不承担任何责任。
快速回复
进入高级回复
您最多可输入10000个汉字,按 "Ctrl" + "Enter" 直接发送
搜索回复/乘电梯 ×
按内容
按会员
乘电梯
合作伙伴
友情链接