共1页/17条首页上一页1下一页尾页
回复:17 阅读:3447
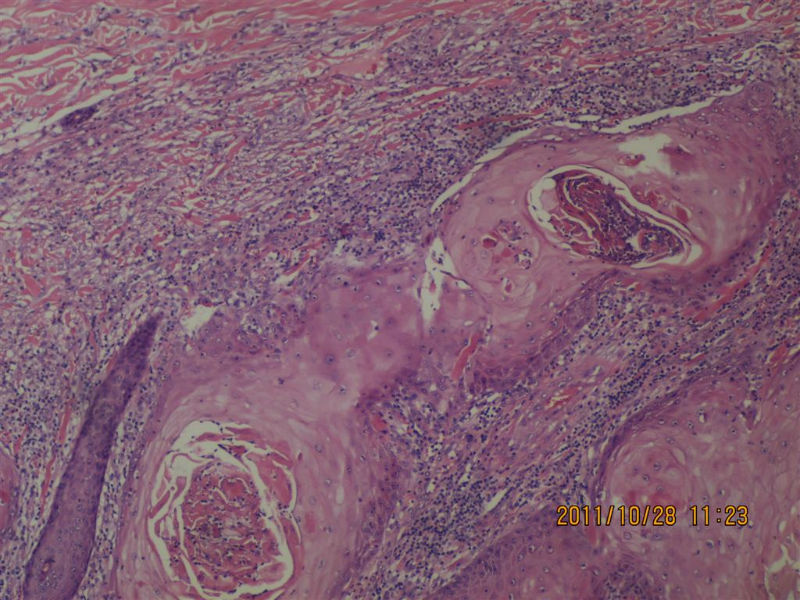
女性,71岁,右前臂肿物。角化棘皮瘤还是高分化鳞癌?

stone5300 离线

帖子:87
粉蓝豆:43
经验:127
注册时间:2008-11-04
加关注  |  发消息
楼主 发表于 2011-11-07 21:30|举报|关注(0)
浏览排序[ 顺序 逆序 楼主 支持 精彩 ]  快捷回复
  • 女性,71岁,右前臂肿物。角化棘皮瘤还是高分化鳞癌?图1
    图1
  • 女性,71岁,右前臂肿物。角化棘皮瘤还是高分化鳞癌?图2
    图2
  • 女性,71岁,右前臂肿物。角化棘皮瘤还是高分化鳞癌?图3
    图3
  • 女性,71岁,右前臂肿物。角化棘皮瘤还是高分化鳞癌?图4
    图4
  • 女性,71岁,右前臂肿物。角化棘皮瘤还是高分化鳞癌?图5
    图5
  • 女性,71岁,右前臂肿物。角化棘皮瘤还是高分化鳞癌?图6
    图6
  • 女性,71岁,右前臂肿物。角化棘皮瘤还是高分化鳞癌?图7
    图7
  • 女性,71岁,右前臂肿物。角化棘皮瘤还是高分化鳞癌?图8
    图8

 

标签:
0
添加参考诊断
×参考诊断
  

徐伟莉 离线

帖子:54
粉蓝豆:236
经验:714
注册时间:2008-08-01
加关注  |  发消息
1 楼    发表于2011-11-07 22:05:33举报|引用
返回顶部 | 快捷回复

高分化鳞癌

0
回复

羽珩 离线

帖子:797
粉蓝豆:25
经验:1208
注册时间:2010-11-24
加关注  |  发消息
2 楼    发表于2011-11-07 22:07:49举报|引用
返回顶部 | 快捷回复

角化棘皮瘤。

0
回复
signature

炎相羽珹

不知道 离线

帖子:37
粉蓝豆:15
经验:152
注册时间:2011-10-26
加关注  |  发消息
3 楼    发表于2011-11-07 22:08:21举报|引用
返回顶部 | 快捷回复

倾向于角化棘皮瘤

0
回复
signature
干好自己的事

一棵小草 离线

帖子:5101
粉蓝豆:12
经验:7184
注册时间:2008-07-07
加关注  |  发消息
4 楼    发表于2011-11-07 22:11:57举报|引用
返回顶部 | 快捷回复

考虑角化棘皮瘤。

2

cissy

whwwhw
回复

wcq321 离线

帖子:667
粉蓝豆:36
经验:1163
注册时间:2008-06-27
加关注  |  发消息
5 楼    发表于2011-11-07 22:24:30举报|引用
返回顶部 | 快捷回复

角化棘皮瘤。

0
回复

亡羊补牢 离线

帖子:1304
粉蓝豆:2
经验:2118
注册时间:2010-09-29
加关注  |  发消息
6 楼    发表于2011-11-07 23:08:37举报|引用
返回顶部 | 快捷回复

肿物长了多长时间? 角化棘皮瘤病史较短,鳞癌病史较长,而且角化棘皮瘤与鳞癌属同一病谱,角化棘皮瘤易发展为高分化鳞癌,没有明确界限,临床处理也是一样的吧????

0
回复
signature

一花一世界,一木一浮生

精于本业 离线

帖子:131
粉蓝豆:147
经验:221
注册时间:2011-09-05
加关注  |  发消息
7 楼    发表于2011-11-07 23:31:59举报|引用
返回顶部 | 快捷回复

仅从形态讲,角化棘皮瘤可能性大一些

0
回复

xiaoduoduo 离线

帖子:3
粉蓝豆:1
经验:3
注册时间:2011-11-07
加关注  |  发消息
8 楼    发表于2011-11-07 23:37:53举报|引用
返回顶部 | 快捷回复

我认为是角化棘皮瘤。

0
回复

jyby117 离线

帖子:118
粉蓝豆:1
经验:288
注册时间:2011-09-25
加关注  |  发消息
9 楼    发表于2011-11-07 23:49:29举报|引用
返回顶部 | 快捷回复

角化棘皮瘤可能性大一些

0
回复

杏林散客 离线

帖子:2097
粉蓝豆:87
经验:2406
注册时间:2008-05-18
加关注  |  发消息
10 楼    发表于2011-11-07 23:54:12举报|引用
返回顶部 | 快捷回复

我觉得基底部还是有一些突破的,更倾向高分化鳞癌!

0
回复
signature
皮毛之事,方寸之间,大千世界!

ziranse 离线

帖子:165
粉蓝豆:31
经验:182
注册时间:2010-12-22
加关注  |  发消息
11 楼    发表于2011-11-12 09:15:22举报|引用
返回顶部 | 快捷回复

     角化棘皮瘤

0
回复

何官 离线

帖子:61
粉蓝豆:120
经验:87
注册时间:2010-06-11
加关注  |  发消息
12 楼    发表于2011-11-12 09:54:57举报|引用
返回顶部 | 快捷回复

不知道肿物的生长速度怎样?活动度?低倍看火盆样外观、唇样边缘,底部较平整,无明显突破。更趋向于角化角化棘皮瘤。

0
回复

ketty_wang 离线

帖子:366
粉蓝豆:12
经验:520
注册时间:2007-09-22
加关注  |  发消息
13 楼    发表于2011-11-12 10:00:09举报|引用
返回顶部 | 快捷回复

 角化棘皮瘤

低倍镜见表皮呈火山口样,内充满角质团块,周边上皮增生呈衣领样,底部表皮增生呈假上皮瘤样,上皮角不规则延伸至真皮,真皮大量炎细胞浸润.

0
回复
signature
学无止境

hyl76 离线

帖子:781
粉蓝豆:656
经验:3771
注册时间:2007-06-05
加关注  |  发消息
14 楼    发表于2011-11-12 10:01:28举报|引用
返回顶部 | 快捷回复

低倍镜下看符合角化棘皮瘤

0
回复
signature
学无止境,不进则退!

tlm1976 离线

帖子:336
粉蓝豆:2208
经验:382
注册时间:2007-04-20
加关注  |  发消息
15 楼    发表于2011-11-12 10:54:23举报|引用
返回顶部 | 快捷回复
引用 13 楼 ketty_wang 在 2011-11-12 10:00:09 的发言:

 角化棘皮瘤

低倍镜见表皮呈火山口样,内充满角质团块,周边上皮增生呈衣领样,底部表皮增生呈假上皮瘤样,上皮角不规则延伸至真皮,真皮大量炎细胞浸润.

角化棘皮瘤

1

whwwhw
回复
signature
黎明

防港一员 离线

帖子:410
粉蓝豆:30
经验:1041
注册时间:2010-08-13
加关注  |  发消息
16 楼    发表于2011-11-12 11:28:18举报|引用
返回顶部 | 快捷回复

脂溢性角化病

0
回复
signature
有志者事竟成

秋月明珠 离线

帖子:148
粉蓝豆:22
经验:431
注册时间:2009-09-13
加关注  |  发消息
17 楼    发表于2011-11-12 13:32:36举报|引用
返回顶部 | 快捷回复

角化棘皮瘤

低倍镜见表皮呈火山口样,内充满角质团块,周边上皮增生呈衣领样,底部表皮增生呈假上皮瘤样,上皮角不规则延伸至真皮,真皮大量炎细胞浸润.

0
回复
signature
华夏,你的成长造就了新一代病理学界大家的进步!
回复:17 阅读:3447
共1页/17条首页上一页1下一页尾页
【免责声明】讨论内容仅作学术交流之用,不作为诊疗依据,由此而引起的法律问题作者及本站不承担任何责任。
快速回复
进入高级回复
您最多可输入10000个汉字,按 "Ctrl" + "Enter" 直接发送
搜索回复/乘电梯 ×
按内容
按会员
乘电梯
合作伙伴
友情链接