| 图片: | |
|---|---|
| 名称: | |
| 描述: | |
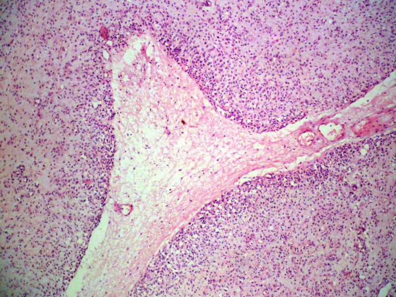
男,27岁,右股骨上段皮下肿物1年余,无明显疼痛,检查肿物明显隆起于皮下,边界清楚,手术完整切除肿物。肉眼,肿物6X6X5厘米,外观多结节状,似有包膜,切面灰白色,质韧。
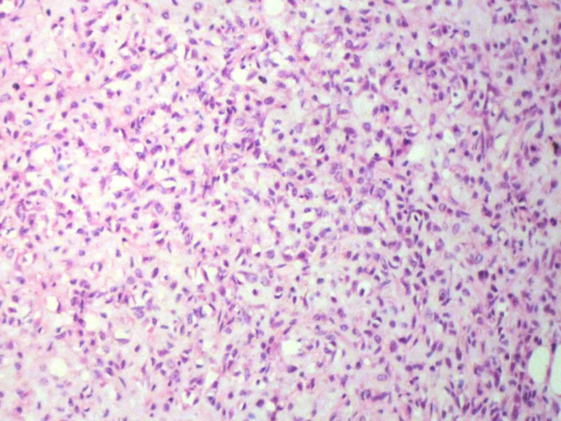
特别提示:镜下核分裂3-4/HP.

回答chenliu0552 网友提问:
1. 本例没有做KI-67,但我在前面特别提示:镜下核分裂3-4/HP.
2.临床资料如前所示。
3. 本例组织学改变与粘液性脂肪肉瘤,粘液样纤维肉瘤,纤维粘液样肉瘤,骨外粘液样软骨肉瘤都有重叠之处,且镜下并未见典型结构。由此,免疫组化结果就尤显重要。特别是专业书籍提到,突触素或嗜铬素阳性,对鉴别诊断有重要意义。我用CGA,也是在以上几个肿瘤中举棋不定而为。NSE和CK没用,其实我想用更多的抗体来证实更多的东西,但患者的经济条件不太好,遗憾!
看看我们病理科的特色出来了吧?呵呵,多凄凉啊,科室针对好的病例,是不是应该支持自费染色证实一下呢?仅仅是为了学习这个钱也是值得的吧,老师您说呢?
哈哈!自费这样类似的事情已经发生多次,引起科室技术员的强烈不满!毕竟科室要搞核算,本来病理科收入就少.......。现在不是讲和谐吗?真是无奈!

epithelial 在线
回答chenliu0552 网友提问:
1. 本例没有做KI-67,但我在前面特别提示:镜下核分裂3-4/HP.
2.临床资料如前所示。
3. 本例组织学改变与粘液性脂肪肉瘤,粘液样纤维肉瘤,纤维粘液样肉瘤,骨外粘液样软骨肉瘤都有重叠之处,且镜下并未见典型结构。由此,免疫组化结果就尤显重要。特别是专业书籍提到,突触素或嗜铬素阳性,对鉴别诊断有重要意义。我用CGA,也是在以上几个肿瘤中举棋不定而为。NSE和CK没用,其实我想用更多的抗体来证实更多的东西,但患者的经济条件不太好,遗憾!
看看我们病理科的特色出来了吧?呵呵,多凄凉啊,科室针对好的病例,是不是应该支持自费染色证实一下呢?仅仅是为了学习这个钱也是值得的吧,老师您说呢?
binghongcha 离线
chenliu0552 离线
chenliu0552 离线
感谢xclbljys 老师一如既往提供好病例!本例CD34、S100、CGA结果用血管或脂肪源性肿瘤解释有一定困难。xclbljys 老师的考虑很有道理,首先能考虑到标记CGA就很厉害了。但我个人尚有一些不明白之处,还请多指点:
1.一定是恶性吗?Ki67或其它标记?
2.临床资料支持吗?如年龄,肿瘤位置深浅,切面,放射学检查等。
3.HE: 1)肿瘤细胞的形态、排列方式;2)间质和血管特点等?
4.组化:1)其它的神经内分泌标记如Syn, NSE? CK?
2)CGA的结果是排除脂肪源性肿瘤或其它肿瘤的有力证据吗?
binghongcha 离线
chenliu0552 离线