共1页/1条首页上一页1下一页尾页
回复:1 阅读:1359
右侧甲状腺肿物

xclbljys 离线

帖子:5253
粉蓝豆:224
经验:7005
注册时间:2008-11-21
加关注  |  发消息
楼主 发表于 2011-11-07 16:05|举报|关注(0)
浏览排序[ 顺序 逆序 楼主 支持 精彩 ]  快捷回复

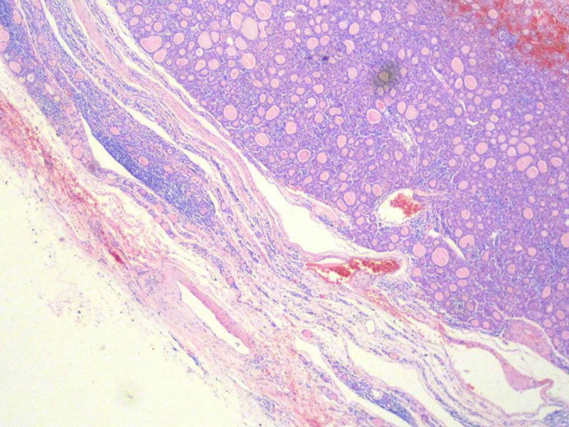
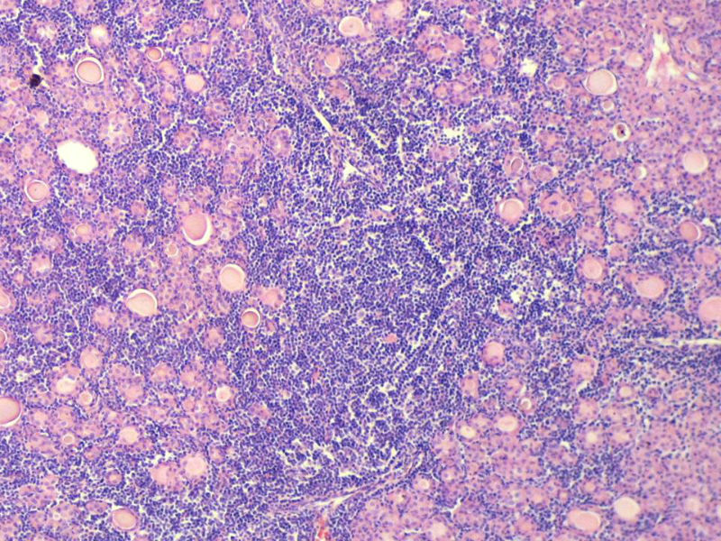
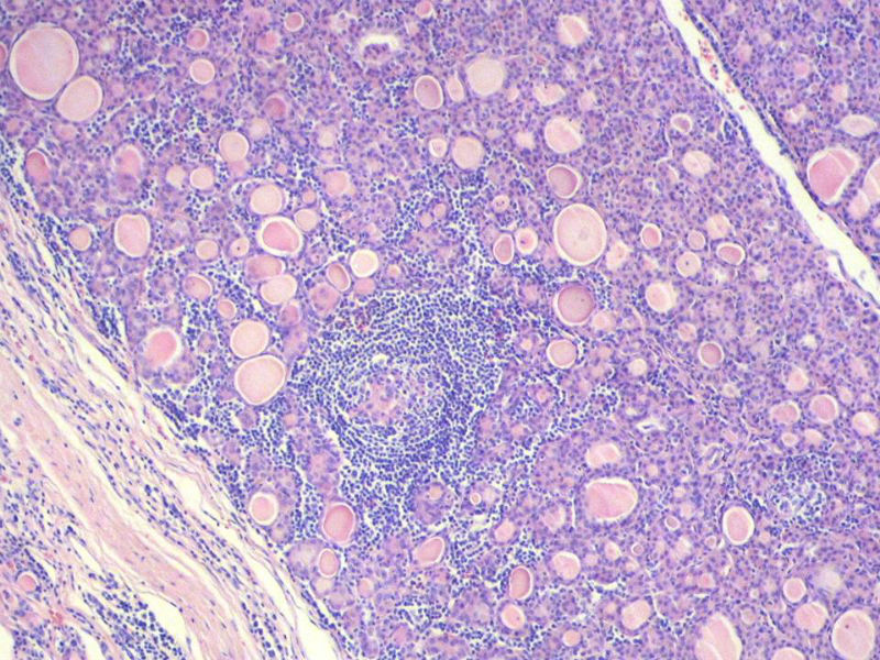
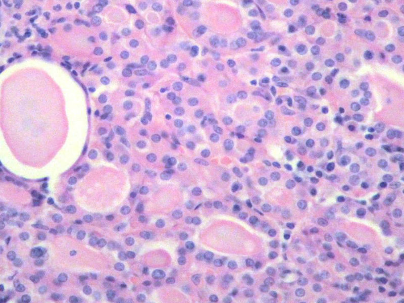
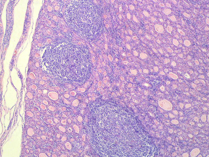
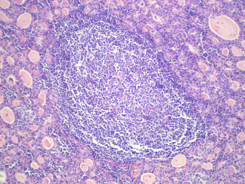
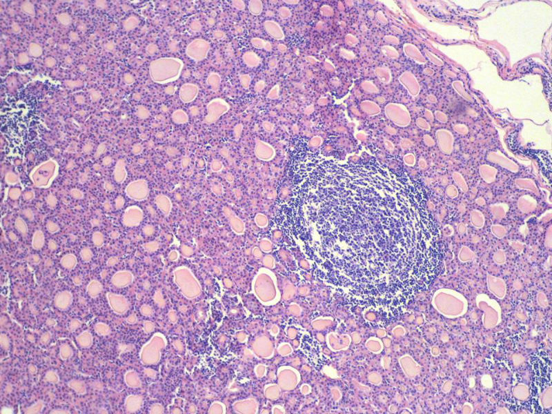
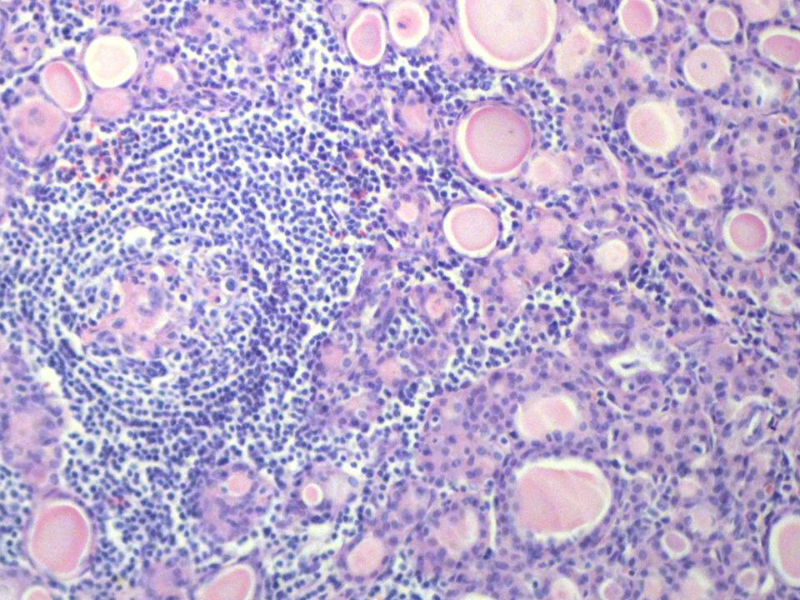
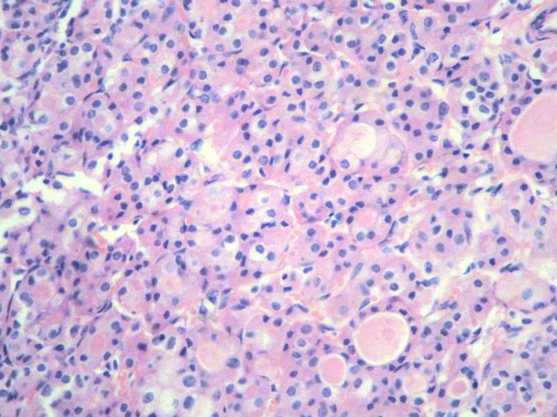
 女,60岁,右侧甲状腺肿物两个月,术中见肿块与周围组织无粘连,肉眼,灰红色组织,3X2X2厘米,切面见一直径2.5厘米肿物,包膜完整,灰黄色,质软。


右侧甲状腺肿物图1
名称:图1
描述:幻灯片2
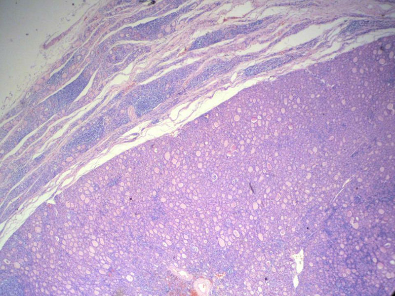
右侧甲状腺肿物图2
名称:图2
描述:幻灯片3
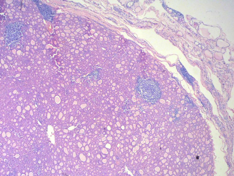
右侧甲状腺肿物图3
名称:图3
描述:幻灯片4
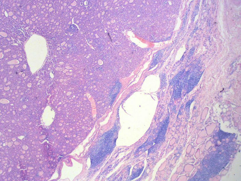
右侧甲状腺肿物图4
名称:图4
描述:幻灯片5
右侧甲状腺肿物图5
名称:图5
描述:幻灯片6
右侧甲状腺肿物图6
名称:图6
描述:幻灯片7
右侧甲状腺肿物图7
名称:图7
描述:幻灯片8
右侧甲状腺肿物图8
名称:图8
描述:幻灯片9
右侧甲状腺肿物图9
名称:图9
描述:幻灯片10
右侧甲状腺肿物图10
名称:图10
描述:幻灯片11
右侧甲状腺肿物图11
名称:图11
描述:幻灯片12
右侧甲状腺肿物图12
名称:图12
描述:幻灯片13

标签:
0
signature
许春雷
添加参考诊断
×参考诊断
  

kint123 离线

帖子:1620
粉蓝豆:240
经验:2095
注册时间:2009-01-31
加关注  |  发消息
1 楼    发表于2011-11-07 20:14:54举报|引用
返回顶部 | 快捷回复

具有桥本氏病的大部分特征,有结节形成,此情况有称之为“结节性桥本甲状腺炎”

0
回复
signature
The More We See, The Less We Know!
回复:1 阅读:1359
共1页/1条首页上一页1下一页尾页
【免责声明】讨论内容仅作学术交流之用,不作为诊疗依据,由此而引起的法律问题作者及本站不承担任何责任。
快速回复
进入高级回复
您最多可输入10000个汉字,按 "Ctrl" + "Enter" 直接发送
搜索回复/乘电梯 ×
按内容
按会员
乘电梯
合作伙伴
友情链接