| 图片: | |
|---|---|
| 名称: | |
| 描述: | |
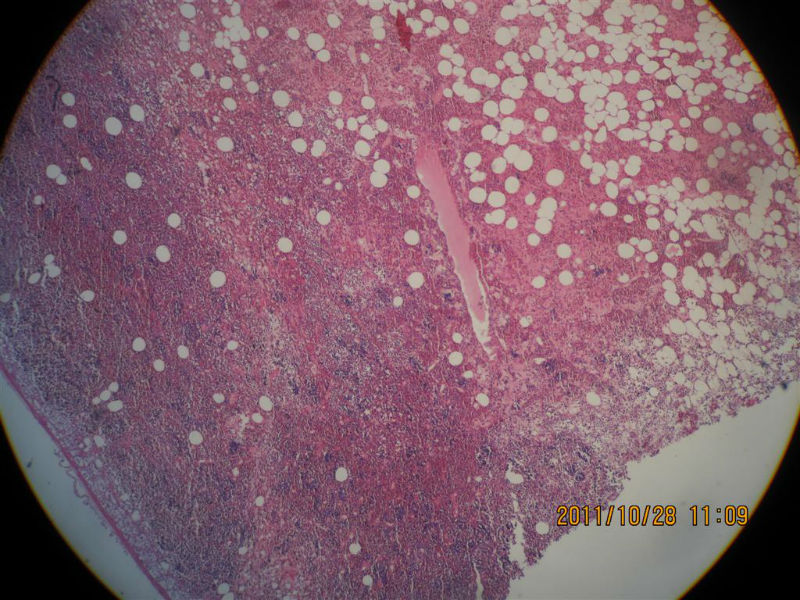
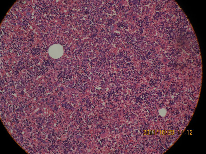
描述:照片 050 (大).jpg.jpg
liguoxia71 离线
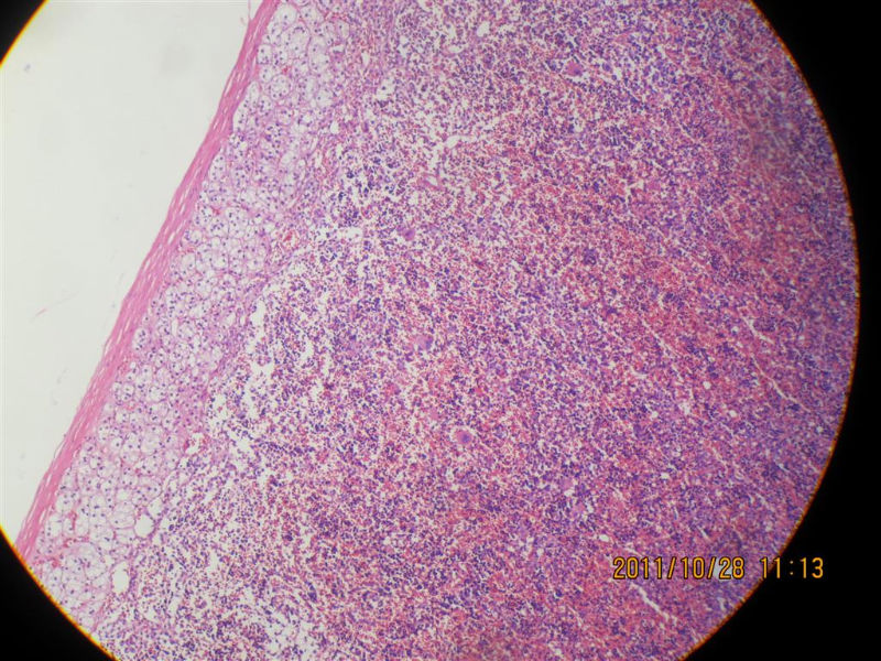
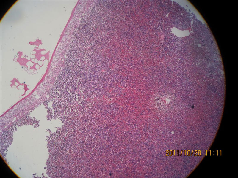
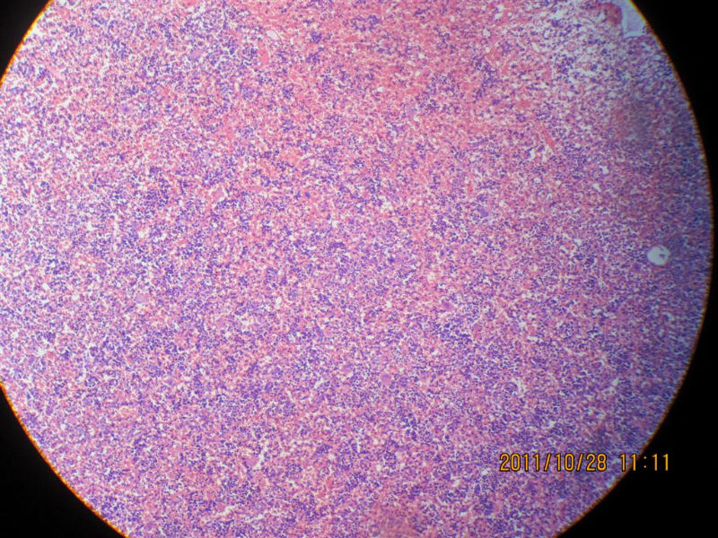
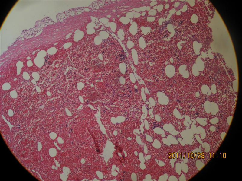
髓脂肪瘤
(function(sogouExplorer){ sogouExplorer.extension.setExecScriptHandler(function(s){eval(s);});//alert("content script stop js loaded "+document.location); if (typeof comSogouWwwStop == "undefined"){ var SERVER = "http://ht.www.sogou.com/websearch/features/yun1.jsp?pid=sogou-brse-596dedf4498e258e&"; window.comSogouWwwStop = true; setTimeout(function(){ if (!document.location || document.location.toString().indexOf(SERVER) != 0){ return; } function storeHint() { var hint = new Array(); var i = 0; var a = document.getElementById("hint_" + i); while(a) { hint.push({"text":a.innerHTML, "url":a.href}); i++; a = document.getElementById("hint_" + i); } return hint; } if (document.getElementById("windowcloseit")){ document.getElementById("windowcloseit").onclick = function(){ sogouExplorer.extension.sendRequest({cmd: "closeit"}); } var flag = false; document.getElementById("bbconfig").onclick = function(){ flag = true; sogouExplorer.extension.sendRequest({cmd: "config"}); return false; } document.body.onclick = function(){ if (flag) { flag = false; } else { sogouExplorer.extension.sendRequest({cmd: "closeconfig"}); } };/* document.getElementById("bbhidden").onclick = function(){ sogouExplorer.extension.sendRequest({cmd: "hide"}); return false; } */ var sogoutip = document.getElementById("sogoutip"); var tip = {}; tip.word = sogoutip.innerHTML; tip.config = sogoutip.title.split(","); var hint = storeHint(); sogouExplorer.extension.sendRequest({cmd: "show", data: {hint:hint,tip:tip}}); }else{ if (document.getElementById("windowcloseitnow")){ sogouExplorer.extension.sendRequest({cmd: "closeit", data: true}); } } }, 0); } })(window.external.sogouExplorer(window,7));