共1页/8条首页上一页1下一页尾页
回复:8 阅读:2116
67岁胸水,有风湿病

陈奕君 离线

帖子:124
粉蓝豆:39
经验:364
注册时间:2009-11-10
加关注  |  发消息
楼主 发表于 2011-11-05 19:18|举报|关注(0)
浏览排序[ 顺序 逆序 楼主 支持 精彩 ]  快捷回复

 

  • 67岁胸水,有风湿病图1
    图1
  • 67岁胸水,有风湿病图2
    图2
  • 67岁胸水,有风湿病图3
    图3
  • 67岁胸水,有风湿病图4
    图4
  • 67岁胸水,有风湿病图5
    图5
  • 67岁胸水,有风湿病图6
    图6
  • 67岁胸水,有风湿病图7
    图7
  • 67岁胸水,有风湿病图8
    图8
  • 67岁胸水,有风湿病图9
    图9
  • 67岁胸水,有风湿病图10
    图10
  • 67岁胸水,有风湿病图11
    图11
  • 67岁胸水,有风湿病图12
    图12
  • 67岁胸水,有风湿病图13
    图13
  • 67岁胸水,有风湿病图14
    图14
  • 67岁胸水,有风湿病图15
    图15
  • 67岁胸水,有风湿病图16
    图16
  • 67岁胸水,有风湿病图17
    图17
  • 67岁胸水,有风湿病图18
    图18
  • 67岁胸水,有风湿病图19
    图19
  • 67岁胸水,有风湿病图20
    图20
  • 67岁胸水,有风湿病图21
    图21
标签:
0
添加参考诊断
×参考诊断
  

jani 离线

帖子:1707
粉蓝豆:46
经验:1808
注册时间:2009-03-21
加关注  |  发消息
8 楼    发表于2011-11-07 22:03:05举报|引用
返回顶部 | 快捷回复

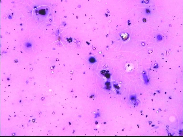
没看出有设么异常细胞   图20好像有霉菌菌丝

0
回复
signature
只有做你不会做的事 才能做会所有的事

Danrs 离线

帖子:1445
粉蓝豆:176
经验:3050
注册时间:2008-12-09
加关注  |  发消息
7 楼    发表于2011-11-07 20:48:32举报|引用
返回顶部 | 快捷回复

如果怀疑深染的东西里有细胞,那就加热加盖片的位置,取去盖玻片,在二甲苯里溶去封固胶,从高浓度到低浓度的酒精去掉二甲苯,直至水洗,再进入盐酸酒精里,再分化一会儿,看颜色退去些后,能不能看见有细胞结构。目前确实什么都看不见,也说不了什么。

0
回复

七色阳光 离线

帖子:238
粉蓝豆:9
经验:333
注册时间:2011-05-16
加关注  |  发消息
6 楼    发表于2011-11-07 20:06:08举报|引用
返回顶部 | 快捷回复

深的可能是染料渣子

0
回复

亡羊补牢 离线

帖子:1304
粉蓝豆:2
经验:2118
注册时间:2010-09-29
加关注  |  发消息
5 楼    发表于2011-11-07 11:43:51举报|引用
返回顶部 | 快捷回复

深染的东西像杂质

0
回复
signature

一花一世界,一木一浮生

陈奕君 离线

帖子:124
粉蓝豆:39
经验:364
注册时间:2009-11-10
加关注  |  发消息
4 楼    发表于2011-11-05 22:55:17举报|引用
返回顶部 | 快捷回复

 这些深染的是什么东西呢?好奇怪

0
回复

xkj2797xkj 离线

帖子:1087
粉蓝豆:1734
经验:7231
注册时间:2009-07-08
加关注  |  发消息
3 楼    发表于2011-11-05 22:48:00举报|引用
返回顶部 | 快捷回复

制片质量欠佳,直接就看不出是什么了!

0
回复
signature

(本观点纯属本人意见!仅供参考!本人微信:13759416387)

七色阳光 离线

帖子:238
粉蓝豆:9
经验:333
注册时间:2011-05-16
加关注  |  发消息
2 楼    发表于2011-11-05 22:07:40举报|引用
返回顶部 | 快捷回复

看不清,不能诊断

0
回复

病理020 离线

帖子:1344
粉蓝豆:5580
经验:1814
注册时间:2011-10-02
加关注  |  发消息
1 楼    发表于2011-11-05 20:01:50举报|引用
返回顶部 | 快捷回复

深染的不是细胞(就是细胞,看不到结构,也不能诊断)。

0
回复
signature
邓学田
回复:8 阅读:2116
共1页/8条首页上一页1下一页尾页
【免责声明】讨论内容仅作学术交流之用,不作为诊疗依据,由此而引起的法律问题作者及本站不承担任何责任。
快速回复
进入高级回复
您最多可输入10000个汉字,按 "Ctrl" + "Enter" 直接发送
搜索回复/乘电梯 ×
按内容
按会员
乘电梯
合作伙伴
友情链接