共1页/5条首页上一页1下一页尾页
回复:5 阅读:1706
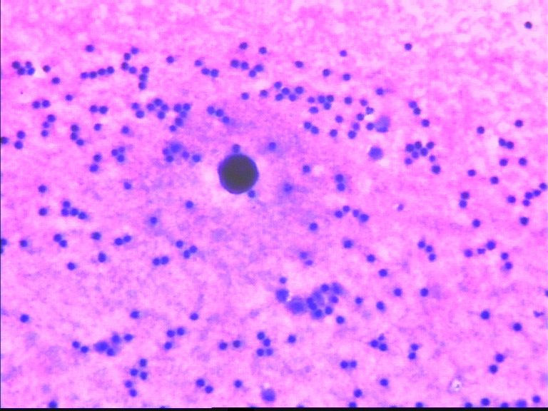
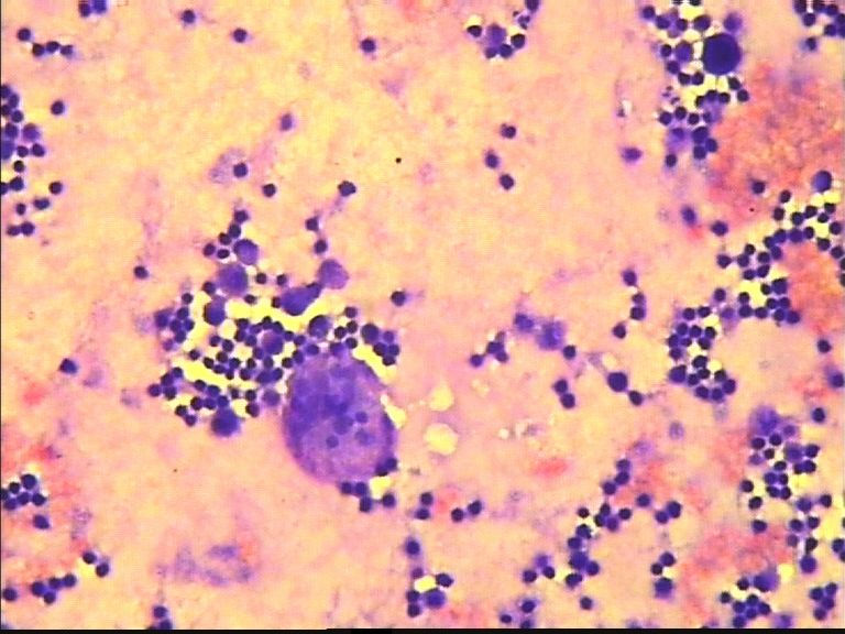
67岁,胸水

陈奕君 离线

帖子:124
粉蓝豆:39
经验:364
注册时间:2009-11-10
加关注  |  发消息
楼主 发表于 2011-11-05 19:11|举报|关注(0)
浏览排序[ 顺序 逆序 楼主 支持 精彩 ]  快捷回复
  • 67岁,胸水图1
    图1
  • 67岁,胸水图2
    图2
  • 67岁,胸水图3
    图3
  • 67岁,胸水图4
    图4
  • 67岁,胸水图5
    图5
  • 67岁,胸水图6
    图6
  • 67岁,胸水图7
    图7
  • 67岁,胸水图8
    图8
  • 67岁,胸水图9
    图9

 

标签:
0
添加参考诊断
×参考诊断
  

七色阳光 离线

帖子:238
粉蓝豆:9
经验:333
注册时间:2011-05-16
加关注  |  发消息
1 楼    发表于2011-11-05 22:10:22举报|引用
返回顶部 | 快捷回复

看不清细胞结构,模糊中感觉淋巴和间皮细胞

0
回复

陈奕君 离线

帖子:124
粉蓝豆:39
经验:364
注册时间:2009-11-10
加关注  |  发消息
2 楼    发表于2011-11-05 22:54:02举报|引用
返回顶部 | 快捷回复

 我就是想知道这个深染的是什么?

0
回复

jani 离线

帖子:1707
粉蓝豆:46
经验:1808
注册时间:2009-03-21
加关注  |  发消息
3 楼    发表于2011-11-07 22:04:12举报|引用
返回顶部 | 快捷回复

图片欠清   深染的是什么?

0
回复
signature
只有做你不会做的事 才能做会所有的事

gwls0008 离线

帖子:1365
粉蓝豆:5
经验:1465
注册时间:2008-08-24
加关注  |  发消息
4 楼    发表于2011-11-08 20:25:21举报|引用
返回顶部 | 快捷回复

染色过深,固定不及时。那个核浆比高的细胞是异物还是细胞啊?不好判断。

0
回复

197 离线

帖子:4781
粉蓝豆:803
经验:5032
注册时间:2006-09-12
加关注  |  发消息
5 楼    发表于2011-11-16 13:00:28举报|引用
返回顶部 | 快捷回复

模糊不清,性质难定。建议,改善制片。

0
回复
signature
“人生没有彩排,每一天都是现场直播”
回复:5 阅读:1706
共1页/5条首页上一页1下一页尾页
【免责声明】讨论内容仅作学术交流之用,不作为诊疗依据,由此而引起的法律问题作者及本站不承担任何责任。
快速回复
进入高级回复
您最多可输入10000个汉字,按 "Ctrl" + "Enter" 直接发送
搜索回复/乘电梯 ×
按内容
按会员
乘电梯
合作伙伴
友情链接