共1页/9条首页上一页1下一页尾页
回复:9 阅读:3148
一个很有意思的病例

huhuu 离线

帖子:193
粉蓝豆:41
经验:1459
注册时间:2011-08-25
加关注  |  发消息
楼主 发表于 2011-11-05 09:41|举报|关注(0)
浏览排序[ 顺序 逆序 楼主 支持 精彩 ]  快捷回复

  • 一个很有意思的病例图1
    图1
  • 一个很有意思的病例图2
    图2
  • 一个很有意思的病例图3
    图3
  • 一个很有意思的病例图4
    图4
  • 一个很有意思的病例图5
    图5
  • 一个很有意思的病例图6
    图6
  • 一个很有意思的病例图7
    图7
  • 一个很有意思的病例图8
    图8
  • 一个很有意思的病例图9
    图9
  • 一个很有意思的病例图10
    图10
  • 一个很有意思的病例图11
    图11
  • 一个很有意思的病例图12
    图12
  • 一个很有意思的病例图13
    图13
  • 一个很有意思的病例图14
    图14
  • 一个很有意思的病例图15
    图15
  • 一个很有意思的病例图16
    图16
  • 一个很有意思的病例图17
    图17
  • 一个很有意思的病例图18
    图18
  • 一个很有意思的病例图19
    图19
  • 一个很有意思的病例图20
    图20
  • 一个很有意思的病例图21
    图21
  • 一个很有意思的病例图22
    图22
  • 一个很有意思的病例图23
    图23

标签:
0
添加参考诊断
×参考诊断
  

gaorl 离线

帖子:67
粉蓝豆:4266
经验:85
注册时间:2008-01-07
加关注  |  发消息
4 楼    发表于2011-11-06 13:33:03举报|引用
返回顶部 | 快捷回复
本帖最后由 gaorl 于 2011-11-06 13:34:58 编辑

在图中有明确浸润吗?好像看不出来,但是网膜显示非侵袭性。宫腔图片没有显示浸润。请多上边缘处图像。

请临床查有无阑尾病变,排除阑尾肿瘤转移后,如果没有明确浸润,倾向粘液性*交界性肿瘤伴腹膜种植,肠型。

总之先排除阑尾来源,再看有无浸润,有浸润才打癌。

2

亡羊补牢

yuchenzh..
回复

huhuu 离线

帖子:193
粉蓝豆:41
经验:1459
注册时间:2011-08-25
加关注  |  发消息
1 楼    发表于2011-11-05 09:50:01举报|引用
返回顶部 | 快捷回复

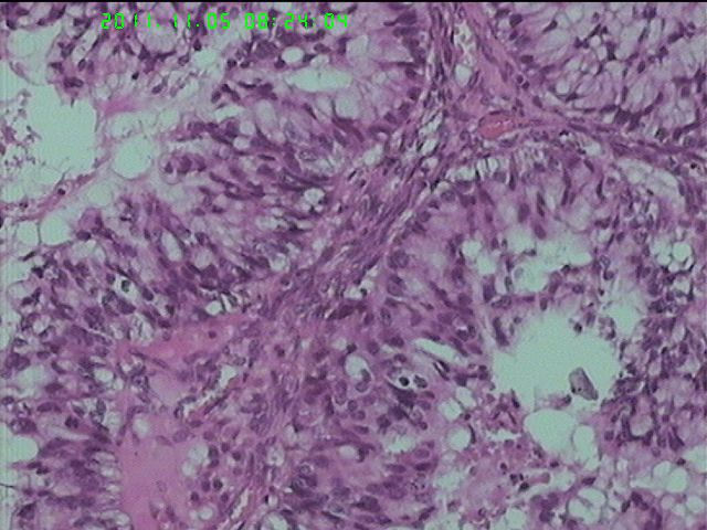
 37岁女性患者,左卵巢肿块术中快速:恶性。术后左卵巢囊实性肿块14*9*5CM,灰黄色,部分乳头状,粘液样外观;子宫内膜厚1.5CM;网膜见多个小结节。图1--14左卵巢  15-19网膜  20--23宫腔

1

gzh9469
回复

tukangmei 离线

帖子:77
粉蓝豆:6
经验:123
注册时间:2007-02-06
加关注  |  发消息
9 楼    发表于2011-11-08 11:41:54举报|引用
返回顶部 | 快捷回复

左卵巢黏液性腺癌伴内膜网膜转移.

0
回复
signature
tukangmei

huhuu 离线

帖子:193
粉蓝豆:41
经验:1459
注册时间:2011-08-25
加关注  |  发消息
2 楼    发表于2011-11-05 09:51:12举报|引用
返回顶部 | 快捷回复

 第一次传的文字 把图片传完就没了 只好放在2楼了 

0
回复

xiaoxihao 离线

帖子:123
粉蓝豆:22
经验:230
注册时间:2008-07-17
加关注  |  发消息
8 楼    发表于2011-11-07 21:17:56举报|引用
返回顶部 | 快捷回复

同意4楼

0
回复

yangpeng 离线

帖子:280
粉蓝豆:9
经验:329
注册时间:2008-11-10
加关注  |  发消息
3 楼    发表于2011-11-06 11:36:27举报|引用
返回顶部 | 快捷回复

粘液腺癌(部分呈低分化)

0
回复

一了 离线

帖子:2138
粉蓝豆:64
经验:2288
注册时间:2009-03-31
加关注  |  发消息
5 楼    发表于2011-11-06 15:26:33举报|引用
返回顶部 | 快捷回复

卵巢粘液性囊腺癌伴内膜及网膜转移。

0
回复

不会游泳 离线

帖子:19
粉蓝豆:2
经验:88
注册时间:2009-11-26
加关注  |  发消息
6 楼    发表于2011-11-07 09:01:31举报|引用
返回顶部 | 快捷回复

图1、4、5、6、11中可见疏松组织,网状结构,并见可疑透明小体,加上患者年纪较年轻,卵黄囊瘤不能除外,粘液腺结构可能是卵黄囊中的内胚层成分。且形态上与网膜结节相似。

0
回复

黄果树 离线

帖子:143
粉蓝豆:335
经验:262
注册时间:2009-02-15
加关注  |  发消息
7 楼    发表于2011-11-07 10:47:18举报|引用
返回顶部 | 快捷回复

同意4楼意见

0
回复
回复:9 阅读:3148
共1页/9条首页上一页1下一页尾页
【免责声明】讨论内容仅作学术交流之用,不作为诊疗依据,由此而引起的法律问题作者及本站不承担任何责任。
快速回复
进入高级回复
您最多可输入10000个汉字,按 "Ctrl" + "Enter" 直接发送
搜索回复/乘电梯 ×
按内容
按会员
乘电梯
合作伙伴
友情链接