共1页/18条首页上一页1下一页尾页
回复:18 阅读:5573
已解决:宫颈有明确的HPV感染,CIN等级是否可以降一级

robot2009 离线

帖子:1160
粉蓝豆:41
经验:1576
注册时间:2009-05-10
加关注  |  发消息
楼主 发表于 2011-11-04 20:40|举报|关注(0)
浏览排序[ 顺序 逆序 楼主 支持 精彩 ]  快捷回复
最终这个病理报告了CIN II级伴HPV感染,咨询了多人不认同伴有HPV可以降级CIN!CIN I II III从病因学上讲都是HPV引起的,所以镜下见不见HPV的挖空样改变没有意义,病原体是肯定看不到的!在此谢谢大家的回帖!
宫颈有明确的HPV感染,CIN等级是否可以降一级?
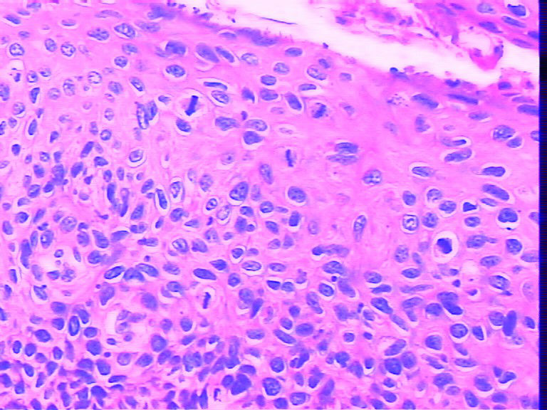
请问有没有这种说法?就拿下面那副图看看,可以打到cin II ,但听说套用这种说法,打CIN I 比较好,是不是真的这样?
已解决:宫颈有明确的HPV感染,CIN等级是否可以降一级图1
名称:全层宫颈
描述:1
已解决:宫颈有明确的HPV感染,CIN等级是否可以降一级图2
名称:病变超过2/3,够II级
描述:2
已解决:宫颈有明确的HPV感染,CIN等级是否可以降一级图3



已解决:宫颈有明确的HPV感染,CIN等级是否可以降一级图4



已解决:宫颈有明确的HPV感染,CIN等级是否可以降一级图5

标签:
本帖最后由 robot2009 于 2011-11-16 15:54:20 编辑
0
添加参考诊断
×参考诊断
  

城北 离线

帖子:2459
粉蓝豆:232
经验:18853
注册时间:2006-09-12
加关注  |  发消息
1 楼    发表于2011-11-04 21:46:30举报|引用
返回顶部 | 快捷回复

没听说过这种说法,没有这个道理,难道CIN2不是HPV感染造成的?

0
回复
signature

知之者不如好之者,好之者不如乐之者。(语出幽梦影)

水中央 离线

帖子:2698
粉蓝豆:1119
经验:7190
注册时间:2009-10-07
加关注  |  发消息
2 楼    发表于2011-11-04 23:20:24举报|引用
返回顶部 | 快捷回复

这个理论好像是没有听到。

不过我倒是听到一个妇产病例的专家说过,有的时候就是HPV感染,并不是CIN

0
回复
signature
刀锋上的蚂蚁

yangzhijun 离线

帖子:84
粉蓝豆:2
经验:86
注册时间:2010-05-13
加关注  |  发消息
3 楼    发表于2011-11-05 20:10:03举报|引用
返回顶部 | 快捷回复

有这个说法,好像在宫颈细胞专区听说的。HPV阳性病例,要报轻一点。

 

0
回复

zhouquan 离线

帖子:7752
粉蓝豆:302
经验:8263
注册时间:2008-11-09
加关注  |  发消息
4 楼    发表于2011-11-06 06:04:10举报|引用
返回顶部 | 快捷回复
引用 3 楼 yangzhijun 在 2011-11-05 20:10:03 的发言:

有这个说法,好像在宫颈细胞专区听说的。HPV阳性病例,要报轻一点。

 


0
回复
signature
成功不是得到多少东西,而是把身上多余的东西的扔掉多少。   

xiaogang 离线

帖子:5664
粉蓝豆:48
经验:6068
注册时间:2008-12-18
加关注  |  发消息
5 楼    发表于2011-11-06 08:44:42举报|引用
返回顶部 | 快捷回复

楼上网友说的只是代表了某些“专家”的个人见解或者是他们在日常病理片会诊中针对CIN的分级有扩大化的趋势而言的。我们要“区别对待”,不要误解。

就本例而言可以报CIN 2。

0
回复

水中央 离线

帖子:2698
粉蓝豆:1119
经验:7190
注册时间:2009-10-07
加关注  |  发消息
6 楼    发表于2011-11-06 09:56:24举报|引用
返回顶部 | 快捷回复

关于楼主这例病例的报告见到了明显核分裂,要在高度病变了。

0
回复
signature
刀锋上的蚂蚁

yangpeng 离线

帖子:280
粉蓝豆:9
经验:329
注册时间:2008-11-10
加关注  |  发消息
7 楼    发表于2011-11-06 11:01:03举报|引用
返回顶部 | 快捷回复

我看是CIN3

 

 

0
回复

wangqiupeng 离线

帖子:148
粉蓝豆:1
经验:492
注册时间:2010-05-05
加关注  |  发消息
8 楼    发表于2011-11-06 11:23:25举报|引用
返回顶部 | 快捷回复

听过这种说法,本例要报CIN2吧

0
回复

一了 离线

帖子:2138
粉蓝豆:64
经验:2288
注册时间:2009-03-31
加关注  |  发消息
9 楼    发表于2011-11-06 15:31:43举报|引用
返回顶部 | 快捷回复

CIN2

0
回复

1394361892 离线

帖子:655
粉蓝豆:12
经验:1275
注册时间:2011-09-04
加关注  |  发消息
10 楼    发表于2011-11-06 19:17:42举报|引用
返回顶部 | 快捷回复
引用 7 楼 yangpeng 在 2011-11-06 11:01:03 的发言:

我看是CIN3

 

 


1

阿斌
回复

duhua 离线

帖子:1206
粉蓝豆:152
经验:1738
注册时间:2008-08-19
加关注  |  发消息
11 楼    发表于2011-11-06 20:21:04举报|引用
返回顶部 | 快捷回复

CIN2-3

0
回复

美人鱼2003 离线

帖子:375
粉蓝豆:374
经验:503
注册时间:2011-08-09
加关注  |  发消息
12 楼    发表于2011-11-06 21:43:27举报|引用
返回顶部 | 快捷回复

听过这种说法,本例要报CIN2吧

0
回复

cqzhao 离线

帖子:5518
粉蓝豆:1071
经验:5755
注册时间:2008-09-29
加关注  |  发消息
13 楼    发表于2011-11-07 13:54:45举报|引用
返回顶部 | 快捷回复
引用 1 楼 城北 在 2011-11-04 21:46:30 的发言:

没听说过这种说法,没有这个道理,难道CIN2不是HPV感染造成的?

Agree

0
回复

cqzhao 离线

帖子:5518
粉蓝豆:1071
经验:5755
注册时间:2008-09-29
加关注  |  发消息
14 楼    发表于2011-11-07 13:56:05举报|引用
返回顶部 | 快捷回复

 CIN2

0
回复

xiaoxihao 离线

帖子:123
粉蓝豆:22
经验:230
注册时间:2008-07-17
加关注  |  发消息
15 楼    发表于2011-11-07 20:34:47举报|引用
返回顶部 | 快捷回复

CIN2

0
回复

tukangmei 离线

帖子:77
粉蓝豆:6
经验:123
注册时间:2007-02-06
加关注  |  发消息
16 楼    发表于2011-11-08 10:41:50举报|引用
返回顶部 | 快捷回复

CIN-2

0
回复
signature
tukangmei

hyl76 离线

帖子:781
粉蓝豆:656
经验:3771
注册时间:2007-06-05
加关注  |  发消息
17 楼    发表于2011-11-08 11:25:19举报|引用
返回顶部 | 快捷回复

CIN-2

0
回复
signature
学无止境,不进则退!

robot2009 离线

帖子:1160
粉蓝豆:41
经验:1576
注册时间:2009-05-10
加关注  |  发消息
18 楼    发表于2011-11-16 15:53:11举报|引用
返回顶部 | 快捷回复

 最终这个病理报告了CIN II级伴HPV感染,咨询了多人不认同伴有HPV可以降级CIN!CIN I II III从病因学上讲都是HPV引起的,所以镜下见不见HPV的挖空样改变没有意义,病原体是肯定看不到的!在此谢谢大家的回帖!

0
回复
回复:18 阅读:5573
共1页/18条首页上一页1下一页尾页
【免责声明】讨论内容仅作学术交流之用,不作为诊疗依据,由此而引起的法律问题作者及本站不承担任何责任。
快速回复
进入高级回复
您最多可输入10000个汉字,按 "Ctrl" + "Enter" 直接发送
搜索回复/乘电梯 ×
按内容
按会员
乘电梯
合作伙伴
友情链接