共1页/4条首页上一页1下一页尾页
回复:4 阅读:2014
宫颈病变

小鬼难缠 离线

帖子:393
粉蓝豆:510
经验:2502
注册时间:2009-01-24
加关注  |  发消息
楼主 发表于 2011-11-04 16:08|举报|关注(0)
浏览排序[ 顺序 逆序 楼主 支持 精彩 ]  快捷回复

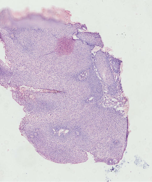
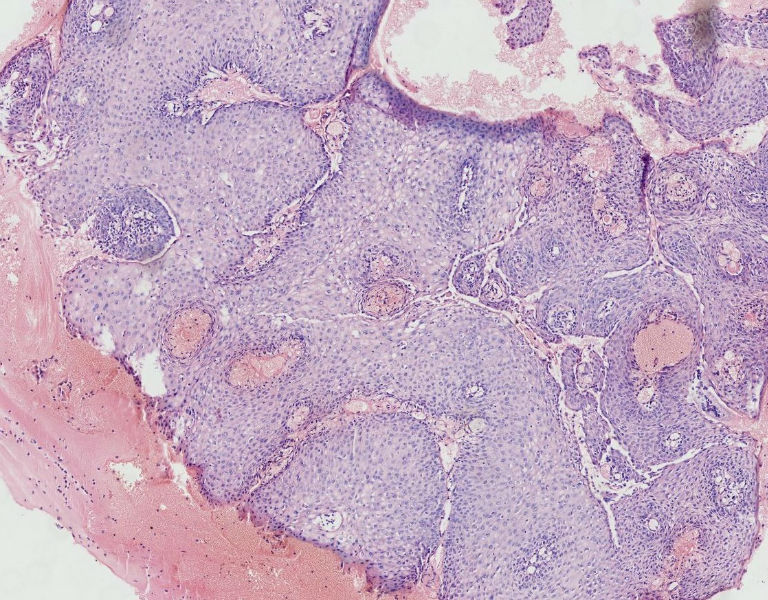
 女45岁,宫颈口可见一突出物直径约0.5菜花状质脆

  • 宫颈病变图1
    图1
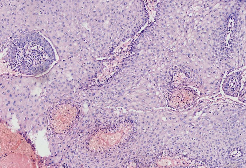
  • 宫颈病变图2
    图2
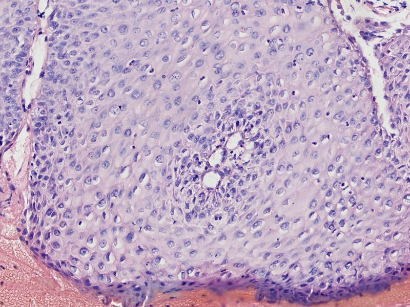
  • 宫颈病变图3
    图3
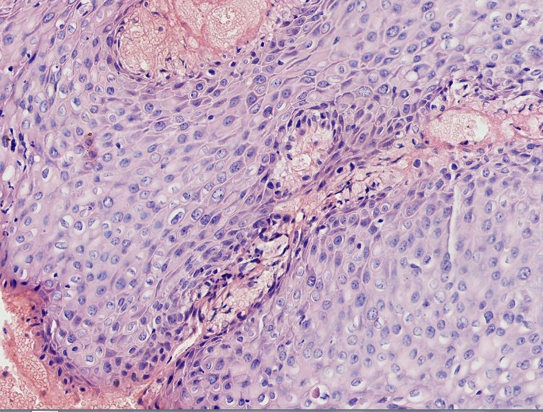
  • 宫颈病变图4
    图4
  • 宫颈病变图5
    图5
 
标签:
0
添加参考诊断
×参考诊断
  

wangqiupeng 离线

帖子:148
粉蓝豆:1
经验:492
注册时间:2010-05-05
加关注  |  发消息
4 楼    发表于2011-11-06 11:20:15举报|引用
返回顶部 | 快捷回复

细胞异型性不太大,考虑湿疣样增生

0
回复

yangpeng 离线

帖子:280
粉蓝豆:9
经验:329
注册时间:2008-11-10
加关注  |  发消息
3 楼    发表于2011-11-06 11:10:42举报|引用
返回顶部 | 快捷回复

CIN3,伴湿疣感染

 

0
回复

yangzhijun 离线

帖子:84
粉蓝豆:2
经验:86
注册时间:2010-05-13
加关注  |  发消息
2 楼    发表于2011-11-05 20:36:24举报|引用
返回顶部 | 快捷回复

细胞异型不大,乳头状瘤。

0
回复

城北 离线

帖子:2459
粉蓝豆:232
经验:18853
注册时间:2006-09-12
加关注  |  发消息
1 楼    发表于2011-11-04 21:52:58举报|引用
返回顶部 | 快捷回复

乳头状的CIN,有平切,似乎有高级别的CIN,需除外癌。

0
回复
signature

知之者不如好之者,好之者不如乐之者。(语出幽梦影)

回复:4 阅读:2014
共1页/4条首页上一页1下一页尾页
【免责声明】讨论内容仅作学术交流之用,不作为诊疗依据,由此而引起的法律问题作者及本站不承担任何责任。
快速回复
进入高级回复
您最多可输入10000个汉字,按 "Ctrl" + "Enter" 直接发送
搜索回复/乘电梯 ×
按内容
按会员
乘电梯
合作伙伴
友情链接