共1页/10条首页上一页1下一页尾页
回复:10 阅读:3449
尿道外口肿物

小鬼难缠 离线

帖子:393
粉蓝豆:510
经验:2502
注册时间:2009-01-24
加关注  |  发消息
楼主 发表于 2011-11-04 15:37|举报|关注(0)
浏览排序[ 顺序 逆序 楼主 支持 精彩 ]  快捷回复

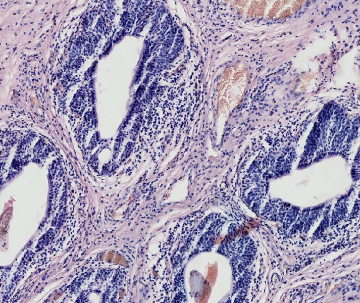
 女57岁发现尿道外口息肉二周

  • 尿道外口肿物图1
    图1
  • 尿道外口肿物图2
    图2
  • 尿道外口肿物图3
    图3
  • 尿道外口肿物图4
    图4
 
标签:
0
添加参考诊断
×参考诊断
  

马卡龙 离线

帖子:393
粉蓝豆:510
经验:2502
注册时间:2009-01-24
加关注  |  发消息
1 楼    发表于2011-11-04 15:50:56举报|引用
返回顶部 | 快捷回复
本帖最后由 小鬼难缠 于 2011-11-04 15:51:49 编辑
  • 图1
  • 图2
  • 图3

在传两个高倍

0
回复

zhouquan 离线

帖子:7752
粉蓝豆:302
经验:8263
注册时间:2008-11-09
加关注  |  发消息
2 楼    发表于2011-11-06 06:02:47举报|引用
返回顶部 | 快捷回复

腺囊性尿道炎

0
回复
signature
成功不是得到多少东西,而是把身上多余的东西的扔掉多少。   

病理020 离线

帖子:1344
粉蓝豆:5610
经验:1814
注册时间:2011-10-02
加关注  |  发消息
3 楼    发表于2011-11-06 09:20:21举报|引用
返回顶部 | 快捷回复

尿道肉阜

1

200406
回复
signature
邓学田

xuchen 离线

帖子:25
粉蓝豆:1
经验:48
注册时间:2009-08-06
加关注  |  发消息
4 楼    发表于2011-11-22 16:29:54举报|引用
返回顶部 | 快捷回复

尿道肉阜

0
回复

病理020 离线

帖子:1344
粉蓝豆:5610
经验:1814
注册时间:2011-10-02
加关注  |  发消息
5 楼    发表于2011-11-23 10:01:12举报|引用
返回顶部 | 快捷回复

尿道肉阜

0
回复
signature
邓学田

759926400 离线

帖子:250
粉蓝豆:137
经验:495
注册时间:2011-08-07
加关注  |  发消息
6 楼    发表于2011-12-14 11:05:29举报|引用
返回顶部 | 快捷回复

尿道肉阜

0
回复

蝴蝶兰dali2003 离线

帖子:12511
粉蓝豆:2448
经验:13080
注册时间:2009-09-06
加关注  |  发消息
7 楼    发表于2011-12-14 21:22:42举报|引用
返回顶部 | 快捷回复

上皮下间质中有淋巴细胞浸润,移行上皮巢团中央有柱状上皮围成的腺样腔隙。诊断:腺囊型尿道炎。

0
回复
signature
相逢是首歌,同行是你和我。

gyy_613 离线

帖子:321
粉蓝豆:1
经验:484
注册时间:2010-09-01
加关注  |  发消息
8 楼    发表于2012-02-28 13:31:09举报|引用
返回顶部 | 快捷回复

支持腺囊型尿道炎

0
回复

山川 离线

帖子:324
粉蓝豆:18
经验:926
注册时间:2010-12-28
加关注  |  发消息
9 楼    发表于2012-02-28 19:49:22举报|引用
返回顶部 | 快捷回复

支持腺囊型尿道炎

0
回复
signature
看图识字

3673566 离线

帖子:1879
粉蓝豆:74
经验:3305
注册时间:2006-10-29
加关注  |  发消息
10 楼    发表于2012-02-28 20:29:28举报|引用
返回顶部 | 快捷回复

尿道肉阜。

0
回复
回复:10 阅读:3449
共1页/10条首页上一页1下一页尾页
【免责声明】讨论内容仅作学术交流之用,不作为诊疗依据,由此而引起的法律问题作者及本站不承担任何责任。
快速回复
进入高级回复
您最多可输入10000个汉字,按 "Ctrl" + "Enter" 直接发送
搜索回复/乘电梯 ×
按内容
按会员
乘电梯
合作伙伴
友情链接