共1页/10条首页上一页1下一页尾页
回复:10 阅读:3295
支气管刷片

huhuu 离线

帖子:193
粉蓝豆:41
经验:1459
注册时间:2011-08-25
加关注  |  发消息
楼主 发表于 2011-11-02 16:40|举报|关注(1)
浏览排序[ 顺序 逆序 楼主 支持 精彩 ]  快捷回复

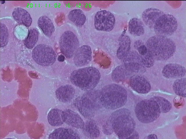
 男65岁支气管刷片

  • 支气管刷片图1
    图1
  • 支气管刷片图2
    图2
  • 支气管刷片图3
    图3
  • 支气管刷片图4
    图4
  • 支气管刷片图5
    图5
  • 支气管刷片图6
    图6
  • 支气管刷片图7
    图7
  • 支气管刷片图8
    图8
  • 支气管刷片图9
    图9
标签:
0
添加参考诊断
×参考诊断
  

病理020 离线

帖子:1344
粉蓝豆:5580
经验:1814
注册时间:2011-10-02
加关注  |  发消息
10 楼    发表于2011-11-30 09:31:05举报|引用
返回顶部 | 快捷回复

鳞癌细胞

0
回复
signature
邓学田

生命起源 离线

帖子:149
粉蓝豆:2
经验:181
注册时间:2011-03-09
加关注  |  发消息
9 楼    发表于2011-11-23 16:23:01举报|引用
返回顶部 | 快捷回复
引用 2 楼 xb3263 在 2011-11-02 18:52:57 的发言:

非小细胞肺癌,倾向为鳞癌可能性大。


0
回复

huhuu 离线

帖子:193
粉蓝豆:41
经验:1459
注册时间:2011-08-25
加关注  |  发消息
8 楼    发表于2011-11-22 10:13:09举报|引用
返回顶部 | 快捷回复

活检:鳞癌。

0
回复

jani 离线

帖子:1707
粉蓝豆:46
经验:1808
注册时间:2009-03-21
加关注  |  发消息
7 楼    发表于2011-11-08 21:47:13举报|引用
返回顶部 | 快捷回复

非小细胞癌  倾向于腺癌

0
回复
signature
只有做你不会做的事 才能做会所有的事

abc666 离线

帖子:295
粉蓝豆:5
经验:304
注册时间:2008-04-06
加关注  |  发消息
6 楼    发表于2011-11-02 20:20:12举报|引用
返回顶部 | 快捷回复
引用 5 楼 gwls0008 在 2011-11-02 20:16:12 的发言:

打癌没有问题,鳞腺的区分有时候非常困难。非小细胞癌。确实要分的话,打腺癌。好像癌有腺样趋势。


支持!

0
回复

gwls0008 离线

帖子:1365
粉蓝豆:5
经验:1465
注册时间:2008-08-24
加关注  |  发消息
5 楼    发表于2011-11-02 20:16:12举报|引用
返回顶部 | 快捷回复

打癌没有问题,鳞腺的区分有时候非常困难。非小细胞癌。确实要分的话,打腺癌。好像癌有腺样趋势。

0
回复

linyguo 离线

帖子:2365
粉蓝豆:43
经验:2514
注册时间:2009-08-09
加关注  |  发消息
4 楼    发表于2011-11-02 19:24:00举报|引用
返回顶部 | 快捷回复

非小细胞癌

0
回复

liguoxia71 离线

帖子:4174
粉蓝豆:3122
经验:4677
注册时间:2007-04-01
加关注  |  发消息
3 楼    发表于2011-11-02 19:17:32举报|引用
返回顶部 | 快捷回复
本帖最后由 liguoxia71 于 2011-11-02 19:17:51 编辑

非小细胞癌。

0
回复
signature
三人行,必有我师焉,择其善者而从之,其不善者而改之。

xb3263 离线

帖子:510
粉蓝豆:3
经验:605
注册时间:2009-01-05
加关注  |  发消息
2 楼    发表于2011-11-02 18:52:57举报|引用
返回顶部 | 快捷回复

非小细胞肺癌,倾向为鳞癌可能性大。

2

病理芯片

生命起源
回复

百度 离线

帖子:226
粉蓝豆:338
经验:740
注册时间:2009-11-12
加关注  |  发消息
1 楼    发表于2011-11-02 18:18:28举报|引用
返回顶部 | 快捷回复

查见恶性肿瘤细胞,首先考虑为大细胞性未分化癌。

0
回复
signature
人生三为:和为贵,善为本,诚为先。
回复:10 阅读:3295
共1页/10条首页上一页1下一页尾页
【免责声明】讨论内容仅作学术交流之用,不作为诊疗依据,由此而引起的法律问题作者及本站不承担任何责任。
快速回复
进入高级回复
您最多可输入10000个汉字,按 "Ctrl" + "Enter" 直接发送
搜索回复/乘电梯 ×
按内容
按会员
乘电梯
合作伙伴
友情链接